• 文献检索
  • 文档翻译
  • 深度研究
  • 学术资讯
  • Suppr Zotero 插件Zotero 插件
  • 邀请有礼
  • 套餐&价格
  • 历史记录
应用&插件
Suppr Zotero 插件Zotero 插件浏览器插件Mac 客户端Windows 客户端微信小程序
定价
高级版会员购买积分包购买API积分包
服务
文献检索文档翻译深度研究API 文档MCP 服务
关于我们
关于 Suppr公司介绍联系我们用户协议隐私条款
关注我们

Suppr 超能文献

核心技术专利:CN118964589B侵权必究
粤ICP备2023148730 号-1Suppr @ 2026

文献检索

告别复杂PubMed语法,用中文像聊天一样搜索,搜遍4000万医学文献。AI智能推荐,让科研检索更轻松。

立即免费搜索

文件翻译

保留排版,准确专业,支持PDF/Word/PPT等文件格式,支持 12+语言互译。

免费翻译文档

深度研究

AI帮你快速写综述,25分钟生成高质量综述,智能提取关键信息,辅助科研写作。

立即免费体验

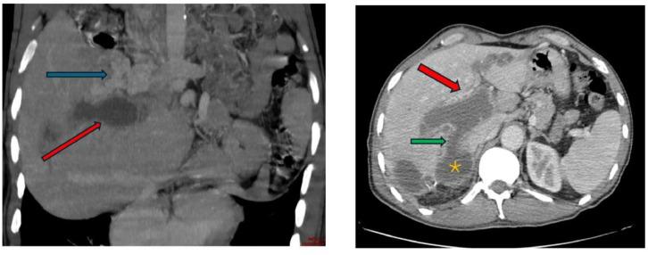
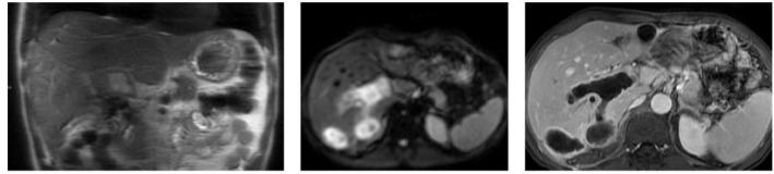
肝包虫囊肿破入门静脉:一种罕见的并发症。

Hydatid cyst of the liver rupturing into the portal vein: A rare complication.

作者信息

Guemmi Ibtissem, Mahjouba Hajar, Ziani Chaimae, Oukrid Khaoula, Nasri Siham, Kamaoui Imane, Skiker Imane

机构信息

Radiology Département, university of Mohammed I, Mohammed VI university hospital, Radiology Department, Oujda, Morocco.

出版信息

Radiol Case Rep. 2024 Jul 11;19(9):4055-4058. doi: 10.1016/j.radcr.2024.05.091. eCollection 2024 Sep.

DOI:10.1016/j.radcr.2024.05.091
PMID:39099726
原文链接:https://pmc.ncbi.nlm.nih.gov/articles/PMC11296023/
Abstract

Hydatid cyst of the liver is a zoonosis caused by parasite , which remains highly prevalent in Morocco. Current medical imaging modalities, particularly ultrasonography (US) and computed tomography (CT), facilitate rapid and accurate diagnosis, enable effective treatment possibilities and allow for easy follow-up. Complications are typically dominated by infection and rupture, especially in the bile ducts, peritoneal cavity, and chest. Dissemination and development within vascular structures, especially the portal vein, are much less common. This underscores the significance of our case, which illustrates this rare complication of hydatid cyst of the liver.

摘要

肝包虫囊肿是一种由寄生虫引起的人畜共患病,在摩洛哥仍然高度流行。当前的医学成像方式,尤其是超声检查(US)和计算机断层扫描(CT),有助于快速准确的诊断,提供有效的治疗可能性并便于随访。并发症通常以感染和破裂为主,尤其是在胆管、腹腔和胸部。在血管结构内,尤其是门静脉内的播散和发展则要少见得多。这凸显了我们病例的重要性,该病例说明了肝包虫囊肿这种罕见的并发症。

https://cdn.ncbi.nlm.nih.gov/pmc/blobs/5fca/11296023/476043ff85bb/gr3.jpg
https://cdn.ncbi.nlm.nih.gov/pmc/blobs/5fca/11296023/8240debf6774/gr1.jpg
https://cdn.ncbi.nlm.nih.gov/pmc/blobs/5fca/11296023/2079f3d2a998/gr2.jpg
https://cdn.ncbi.nlm.nih.gov/pmc/blobs/5fca/11296023/476043ff85bb/gr3.jpg
https://cdn.ncbi.nlm.nih.gov/pmc/blobs/5fca/11296023/8240debf6774/gr1.jpg
https://cdn.ncbi.nlm.nih.gov/pmc/blobs/5fca/11296023/2079f3d2a998/gr2.jpg
https://cdn.ncbi.nlm.nih.gov/pmc/blobs/5fca/11296023/476043ff85bb/gr3.jpg

相似文献

1
Hydatid cyst of the liver rupturing into the portal vein: A rare complication.肝包虫囊肿破入门静脉:一种罕见的并发症。
Radiol Case Rep. 2024 Jul 11;19(9):4055-4058. doi: 10.1016/j.radcr.2024.05.091. eCollection 2024 Sep.
2
Hydatid disease of the liver with portal vein invasion and cavernous transformation: A case report and literature review.肝包虫病伴门静脉侵犯及海绵样变:1例报告并文献复习
IDCases. 2020 Nov 4;23:e01006. doi: 10.1016/j.idcr.2020.e01006. eCollection 2021.
3
Liver hydatidosis disease with portal vein invasion: Report of a rare case and review of literature.肝包虫病伴门静脉侵犯:1例罕见病例报告及文献复习
Radiol Case Rep. 2023 Nov 15;19(1):445-448. doi: 10.1016/j.radcr.2023.10.048. eCollection 2024 Jan.
4
Hydatid disease of the liver with portal vein invasion mimicking portal vein thrombosis.肝包虫病伴门静脉侵犯,酷似门静脉血栓形成。
Arab J Gastroenterol. 2019 Mar;20(1):50-52. doi: 10.1016/j.ajg.2019.01.010. Epub 2019 Mar 8.
5
Rupture of a liver hydatid cyst into the right portal vein leading to right portal vein thrombosis: a case report and literature review.肝包虫囊肿破裂入右门静脉导致右门静脉血栓形成:病例报告及文献复习。
J Int Med Res. 2023 Aug;51(8):3000605231191018. doi: 10.1177/03000605231191018.
6
Hydatid liver cyst causing portal vein thrombosis and cavernous transformation: a case report and literature review.肝包虫囊肿致门静脉血栓形成及海绵样变:1例报告并文献复习
Gastroenterol Hepatol Bed Bench. 2016 Fall;9(4):331-335.
7
Hydatid cyst of the liver invading the inferior vena cava.肝脏包虫囊肿侵犯下腔静脉。
Radiol Case Rep. 2023 Sep 28;18(12):4341-4344. doi: 10.1016/j.radcr.2023.09.007. eCollection 2023 Dec.
8
Peritonitis Secondary to Ruptured Hydatid Liver Cyst in a Young Postpartum Woman: A Rare Case Report.一名年轻产后女性肝包虫囊肿破裂继发腹膜炎:一例罕见病例报告
Clin Med Insights Case Rep. 2024 Aug 14;17:11795476241271561. doi: 10.1177/11795476241271561. eCollection 2024.
9
Acute abdomen due to rupture of a hydatid cyst of the liver: a rare complication - a case report.肝包虫囊肿破裂致急腹症:一种罕见的并发症——病例报告
Ann Med Surg (Lond). 2023 Mar 27;85(4):1172-1176. doi: 10.1097/MS9.0000000000000383. eCollection 2023 Apr.
10
Acute intraperitoneal rupture of hydatid cysts of the liver: Case series.肝包虫囊肿急性腹腔内破裂:病例系列。
Medicine (Baltimore). 2021 Nov 5;100(44):e27552. doi: 10.1097/MD.0000000000027552.

本文引用的文献

1
[Hydatid cyst of the liver].[肝包虫囊肿]
J Chir (Paris). 2004 Nov;141(6):381-9. doi: 10.1016/s0021-7697(04)95364-1.
2
[Portal hypertension as complication of hepatic hydatidosis].[肝包虫病并发症之门静脉高压症]
An Med Interna. 2001 Nov;18(11):608-9.
3
The rupture of hepatic hydatid disease into the right hepatic vein and bile ducts: a case report.
Hepatogastroenterology. 1996 Jul-Aug;43(10):1006-8.
4
Current management of the Budd-Chiari syndrome.布加综合征的当前治疗方法。
Ann Surg. 1990 Aug;212(2):144-9. doi: 10.1097/00000658-199008000-00005.
5
Portal hypertension due to hydatid disease of the liver.肝包虫病所致门静脉高压
J R Soc Med. 1990 Feb;83(2):120-1. doi: 10.1177/014107689008300225.