Suppr超能文献

Joubert综合征的放射学特征及临床病例报告。

Radiological features of Joubert syndrome and clinical case presentation.

作者信息

Montero Torres Jorge Ariel, Flores Escobar Bruno, Guzman Martinez Julian, Barrera Martínez Ricardo Alfonso, Hernández Cortez Frida Priscila

机构信息

Departamento de Radiología e Imagen, Hospital de Especialidades, Centro Medico Nacional del Bajío, Instituto Mexicano del Seguro Social, León, Guanajuato, México.

Departamento de Pediatria, SSA Hospital de Especialidades Pediatricas, Tuxtla Gutierrez, Chiapas. Mexico.

出版信息

Radiol Case Rep. 2024 Jul 18;19(10):4167-4172. doi: 10.1016/j.radcr.2024.06.065. eCollection 2024 Oct.

Abstract

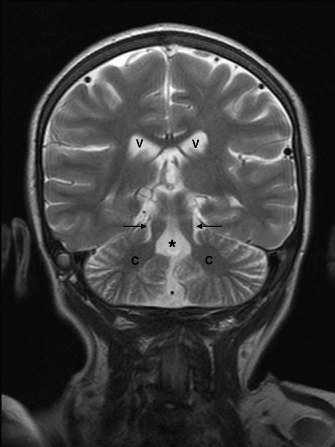
Joubert Syndrome, manifests in a spectrum of neurological symptoms. This case describes a 7-year-old girl with perinatal complications, and subsequent neurodevelopmental challenges. An MRI confirmed the diagnosis of Joubert syndrome, with the distinctive "molar tooth sign" being a key imaging characteristic. Approximately 25% of cases exhibit nephronophthisis, impacting kidney function, further complicating the clinical picture. Diagnosis relies on imaging and management necessitates a multidisciplinary approach, addressing symptoms and complications, with prognosis linked to the presence of organic disease. The case emphasizes the significance of a multidisciplinary strategy, including genetic counseling, and underscores the diverse manifestations of this syndrome. Prenatal identification through ultrasound and MRI plays a crucial role in diagnosing and treating this rare condition.

摘要

乔伯特综合征表现为一系列神经症状。本病例描述了一名7岁女孩,有围产期并发症及随后的神经发育挑战。磁共振成像(MRI)确诊为乔伯特综合征,其独特的“磨牙征”是关键的影像学特征。约25%的病例出现肾单位肾痨,影响肾功能,使临床情况更加复杂。诊断依靠影像学检查,治疗需要多学科方法,处理症状和并发症,预后与器质性疾病的存在有关。该病例强调了包括遗传咨询在内的多学科策略的重要性,并突出了该综合征的多样表现。通过超声和MRI进行产前识别在诊断和治疗这种罕见疾病中起着关键作用。

https://cdn.ncbi.nlm.nih.gov/pmc/blobs/7508/11293500/2cf2a0347ffc/gr1.jpg

相似文献

1
Radiological features of Joubert syndrome and clinical case presentation.
Radiol Case Rep. 2024 Jul 18;19(10):4167-4172. doi: 10.1016/j.radcr.2024.06.065. eCollection 2024 Oct.
2
Non-classic splicing mutation in the CPLANE1 (C5orf42) gene cause Joubert syndrome in a fetus with severe craniocerebral dysplasia.
Eur J Med Genet. 2021 Jun;64(6):104212. doi: 10.1016/j.ejmg.2021.104212. Epub 2021 Mar 30.
4
Clinical nosologic and genetic aspects of Joubert and related syndromes.
J Child Neurol. 1999 Oct;14(10):660-6; discussion 669-72. doi: 10.1177/088307389901401007.
5
The 'molar tooth sign' in Joubert syndrome.
J Pak Med Assoc. 2009 Dec;59(12):851-3.
6
Prenatal diagnosis of Joubert syndrome: A case report and literature review.
Medicine (Baltimore). 2017 Dec;96(51):e8626. doi: 10.1097/MD.0000000000008626.
7
Joubert syndrome: the molar tooth sign of the mid-brain.
Ann Med Health Sci Res. 2013 Apr;3(2):291-4. doi: 10.4103/2141-9248.113686.
8
Molar tooth sign in Joubert syndrome: clinical, radiologic, and pathologic significance.
J Child Neurol. 1999 Jun;14(6):368-76. doi: 10.1177/088307389901400605.
9
A case report of Joubert syndrome with renal involvement and seizures in a neonate.
Radiol Case Rep. 2021 Feb 24;16(5):1075-1079. doi: 10.1016/j.radcr.2021.02.031. eCollection 2021 May.
10
A report of Joubert syndrome in an infant, with literature review.
J Pediatr Neurosci. 2011 Jan;6(1):44-7. doi: 10.4103/1817-1745.84407.

本文引用的文献

1
The Shepherd's Crook Sign: A New Neuroimaging Pareidolia in Joubert Syndrome.
J Neuroimaging. 2015 May-Jun;25(3):510-2. doi: 10.1111/jon.12159. Epub 2014 Sep 18.
2
Joubert Syndrome and related disorders.
Orphanet J Rare Dis. 2010 Jul 8;5:20. doi: 10.1186/1750-1172-5-20.
3
Joubert syndrome (and related disorders) (OMIM 213300).
Eur J Hum Genet. 2007 May;15(5):511-21. doi: 10.1038/sj.ejhg.5201648. Epub 2007 Mar 21.
4
The molar tooth sign.
Radiology. 2003 Dec;229(3):671-2. doi: 10.1148/radiol.2293020764.

文献AI研究员

20分钟写一篇综述,助力文献阅读效率提升50倍。

立即体验

用中文搜PubMed

大模型驱动的PubMed中文搜索引擎

马上搜索

文档翻译

学术文献翻译模型,支持多种主流文档格式。

立即体验