Suppr超能文献

间变性淋巴瘤激酶重排相关肾细胞癌:罕见亚组病例报告。

Anaplastic lymphoma kinase rearrangement-associated renal cell carcinoma: Rare subset case report.

作者信息

AlAkrash Hamad S, Ghabbani Hisham M, AlSaleh Faisal A, Nassar Rashad M, AlHumaidan Almaha A, AlHasan Abdullateef M, AlMosa Abdullah M, AlBluwi Abdulaziz A, Eltholoth Hossam S, Ali Nagoud M, AlZahrani Ahmed Y

机构信息

Urology Department, Prince Sultan Military Medical City, Riyadh, Saudi Arabia.

Urology Department, King Khaled University Hospital, Riyadh, Saudi Arabia.

出版信息

Urol Case Rep. 2024 Jul 10;55:102798. doi: 10.1016/j.eucr.2024.102798. eCollection 2024 Jul.

Abstract

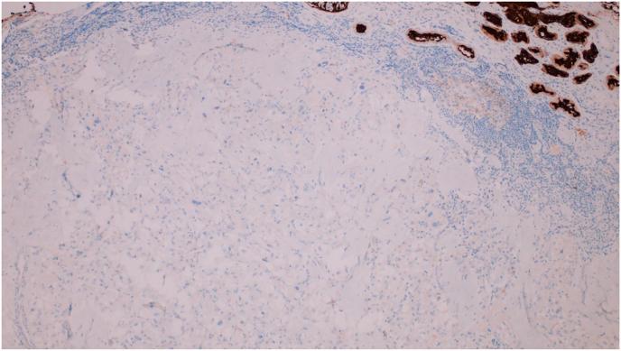
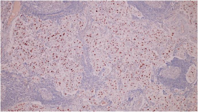
Anaplastic lymphoma kinase rearrangement-associated renal cell carcinoma (ALK-RCC) is a rare subtype of renal cell carcinoma characterized by genetic rearrangements involving the ALK gene. Managing ALK-RCC is challenging due to its rarity and limited treatment options. Targeted therapies directed at the ALK gene have shown promise. ALK-RCC is a rare subtype of renal cell carcinoma with unique clinical and pathological features. ALK inhibitors may hold promise as a targeted therapy for ALK-RCC. Further research is needed to understand the behavior of ALK-RCC and develop effective treatment strategies.

摘要

间变性淋巴瘤激酶重排相关肾细胞癌(ALK-RCC)是肾细胞癌的一种罕见亚型,其特征是涉及ALK基因的基因重排。由于其罕见性和有限的治疗选择,管理ALK-RCC具有挑战性。针对ALK基因的靶向治疗已显示出前景。ALK-RCC是肾细胞癌的一种罕见亚型,具有独特的临床和病理特征。ALK抑制剂有望作为ALK-RCC的靶向治疗方法。需要进一步研究以了解ALK-RCC的行为并制定有效的治疗策略。

https://cdn.ncbi.nlm.nih.gov/pmc/blobs/6768/11298843/f20f192d6e53/gr1.jpg

文献检索

告别复杂PubMed语法,用中文像聊天一样搜索,搜遍4000万医学文献。AI智能推荐,让科研检索更轻松。

立即免费搜索

文件翻译

保留排版,准确专业,支持PDF/Word/PPT等文件格式,支持 12+语言互译。

免费翻译文档

深度研究

AI帮你快速写综述,25分钟生成高质量综述,智能提取关键信息,辅助科研写作。

立即免费体验