Suppr超能文献

发现[具体内容]中导致疾病的新突变并使用腺嘌呤碱基编辑器对其进行校正以改善线粒体功能。

Discovery of novel disease-causing mutation in and its correction using adenine base editor to improve mitochondrial function.

作者信息

Cha Ju Hyuen, Lee Seok-Hoon, Yun Yejin, Choi Won Hoon, Koo Hansol, Jung Sung Ho, Chae Ho Byung, Lee Dae Hee, Lee Seok Jae, Jo Dong Hyun, Kim Jeong Hun, Song Jae-Jin, Chae Jong-Hee, Lee Jun Ho, Park Jiho, Kang Jin Young, Bae Sangsu, Lee Sang-Yeon

机构信息

Department of Otorhinolaryngology, Seoul National University College of Medicine, Seoul National University Hospital, Seoul, Republic of Korea.

Department of Biomedical Sciences, Seoul National University College of Medicine, Seoul, Republic of Korea.

出版信息

Mol Ther Nucleic Acids. 2024 Jun 17;35(3):102257. doi: 10.1016/j.omtn.2024.102257. eCollection 2024 Sep 10.

Abstract

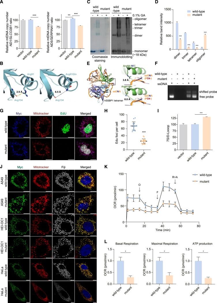
Mutations in nuclear genes regulating mitochondrial DNA (mtDNA) replication are associated with mtDNA depletion syndromes. Using whole-genome sequencing, we identified a heterozygous mutation (c.272G>A:p.Arg91Gln) in single-stranded DNA-binding protein 1 (SSBP1), a crucial protein involved in mtDNA replisome. The proband manifested symptoms including sensorineural deafness, congenital cataract, optic atrophy, macular dystrophy, and myopathy. This mutation impeded multimer formation and DNA-binding affinity, leading to reduced efficiency of mtDNA replication, altered mitochondria dynamics, and compromised mitochondrial function. To correct this mutation, we tested two adenine base editor (ABE) variants on patient-derived fibroblasts. One variant, NG-Cas9-based ABE8e (NG-ABE8e), showed higher editing efficacy (≤30%) and enhanced mitochondrial replication and function, despite off-target editing frequencies; however, risks from bystander editing were limited due to silent mutations and off-target sites in non-translated regions. The other variant, NG-Cas9-based ABE8eWQ (NG-ABE8eWQ), had a safer therapeutic profile with very few off-target effects, but this came at the cost of lower editing efficacy (≤10% editing). Despite this, NG-ABE8eWQ-edited cells still restored replication and improved mtDNA copy number, which in turn recovery of compromised mitochondrial function. Taken together, base editing-based gene therapies may be a promising treatment for mitochondrial diseases, including those associated with mutations.

摘要

调节线粒体DNA(mtDNA)复制的核基因突变与mtDNA耗竭综合征相关。通过全基因组测序,我们在单链DNA结合蛋白1(SSBP1)中鉴定出一个杂合突变(c.272G>A:p.Arg91Gln),SSBP1是参与mtDNA复制体的关键蛋白。先证者表现出感觉神经性耳聋、先天性白内障、视神经萎缩、黄斑营养不良和肌病等症状。该突变阻碍了多聚体形成和DNA结合亲和力,导致mtDNA复制效率降低、线粒体动力学改变以及线粒体功能受损。为了纠正这一突变,我们在患者来源的成纤维细胞上测试了两种腺嘌呤碱基编辑器(ABE)变体。一种变体,基于NG-Cas9的ABE8e(NG-ABE8e),尽管存在脱靶编辑频率,但显示出更高的编辑效率(≤30%),并增强了线粒体复制和功能;然而,由于非翻译区的沉默突变和脱靶位点,旁观者编辑的风险有限。另一种变体,基于NG-Cas9的ABE8eWQ(NG-ABE8eWQ),具有更安全的治疗谱,脱靶效应极少,但代价是编辑效率较低(≤10%编辑)。尽管如此,经NG-ABE8eWQ编辑的细胞仍恢复了复制并改善了mtDNA拷贝数,进而恢复了受损的线粒体功能。综上所述,基于碱基编辑的基因疗法可能是治疗线粒体疾病(包括那些与突变相关的疾病)的一种有前景的治疗方法。

https://cdn.ncbi.nlm.nih.gov/pmc/blobs/4026/11299580/208335e952b8/fx1.jpg

文献检索

告别复杂PubMed语法,用中文像聊天一样搜索,搜遍4000万医学文献。AI智能推荐,让科研检索更轻松。

立即免费搜索

文件翻译

保留排版,准确专业,支持PDF/Word/PPT等文件格式,支持 12+语言互译。

免费翻译文档

深度研究

AI帮你快速写综述,25分钟生成高质量综述,智能提取关键信息,辅助科研写作。

立即免费体验