Suppr超能文献

一种用于恢复有机磷中毒继发中间综合征功能独立性的综合物理治疗方法:病例报告

A Comprehensive Physiotherapy Approach to Regain Functional Independence in Intermediate Syndrome Secondary to Organophosphate Poisoning: A Case Report.

作者信息

Vikhe Chaitali S, Yadav Vaishnavi, Brahmane Neha A

机构信息

Department of Sports Physiotherapy, Ravi Nair Physiotherapy College, Datta Meghe Institute of Higher Education and Research, Wardha, IND.

Department of Physiotherapy, Ravi Nair Physiotherapy College, Datta Meghe Institute of Higher Education and Research, Wardha, IND.

出版信息

Cureus. 2024 Jul 5;16(7):e63929. doi: 10.7759/cureus.63929. eCollection 2024 Jul.

Abstract

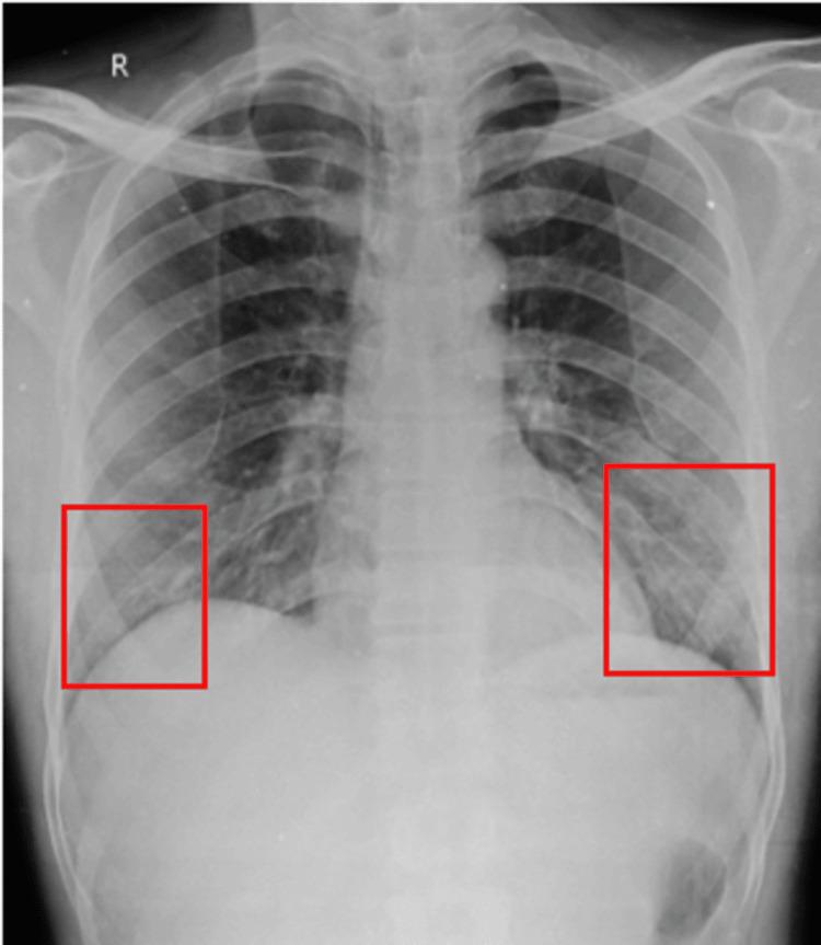
Organophosphate poisoning (OPP) remains a significant public health issue globally, particularly in middle- and low-income countries. This study aimed to assess the effectiveness of physiotherapy interventions in managing patients with OPP, focusing on reducing the severity of intermediate syndrome symptoms and associated complications such as respiratory muscle weakness and bilateral loculated pleural effusions. A 48-year-old male with a history of alcohol consumption was transferred to the medicine intensive care unit due to poison ingestion. The patient exhibited symptoms of respiratory distress and decreased consciousness, necessitating intubation and mechanical ventilation. Physiotherapy interventions included patient education, secretion mobilization, vital capacity improvement, secondary complication prevention, chest expansion exercises, dyspnea-relieving positions, and mobilization. The patient's progress was monitored using various scales, including the Functional Independence Measure Scale, ICU Mobility Scale, and Chelsea Critical Care Physical Assessment Tool. Significant improvements in functional independence, mobility, and psychological well-being were observed throughout the intervention period. This study highlights the importance of physiotherapy in the comprehensive management of OPP, emphasizing its role in mitigating respiratory complications and improving overall functional outcomes.

摘要

有机磷中毒(OPP)在全球范围内仍然是一个重大的公共卫生问题,尤其是在中低收入国家。本研究旨在评估物理治疗干预对OPP患者的管理效果,重点是减轻中间综合征症状的严重程度以及相关并发症,如呼吸肌无力和双侧包裹性胸腔积液。一名有饮酒史的48岁男性因中毒摄入被转入内科重症监护病房。患者出现呼吸窘迫和意识下降症状,需要插管和机械通气。物理治疗干预包括患者教育、分泌物清除、肺活量改善、继发性并发症预防、胸部扩张练习、缓解呼吸困难的体位和活动。使用各种量表监测患者的进展,包括功能独立性测量量表、ICU活动量表和切尔西重症监护物理评估工具。在整个干预期内,观察到功能独立性、活动能力和心理健康有显著改善。本研究强调了物理治疗在OPP综合管理中的重要性,强调了其在减轻呼吸并发症和改善整体功能结局方面的作用。

https://cdn.ncbi.nlm.nih.gov/pmc/blobs/6e86/11299130/3a551c21ddc6/cureus-0016-00000063929-i01.jpg

文献AI研究员

20分钟写一篇综述,助力文献阅读效率提升50倍。

立即体验

用中文搜PubMed

大模型驱动的PubMed中文搜索引擎

马上搜索

文档翻译

学术文献翻译模型,支持多种主流文档格式。

立即体验