Suppr超能文献

外侧股骨髁上楔形截骨术治疗外侧股胫关节骨关节炎的十年最小随访:良好的生存率和高患者满意度

Ten-year minimal follow-up of lateral opening wedge distal femoral osteotomy for lateral femorotibial osteoarthritis: Good survivorship and high patient satisfaction.

作者信息

Cance Nicolas, Batailler Cécile, Lording Timothy, Schmidt Axel, Lustig Sébastien, Servien Elvire

机构信息

Orthopedic Surgery Department, Croix-Rousse Hospital, Lyon, France.

Univ Lyon, Université Claude Bernard Lyon 1, IFSTTAR, Villeurbanne, France.

出版信息

Knee Surg Sports Traumatol Arthrosc. 2025 Feb;33(2):675-685. doi: 10.1002/ksa.12404. Epub 2024 Aug 6.

Abstract

PURPOSE

This study aimed (1) to determine complications and survival rates of lateral opening wedge distal femoral osteotomy (LOW-DFO) in the long term, (2) to assess their clinical outcomes in the long term and (3) to identify risk factors of failure.

METHODS

Between 1991 and 2011, 62 LOW-DFOs were performed in the same department. Inclusion criteria were all isolated LOW-DFO performed for isolated lateral tibiofemoral osteoarthritis and valgus malalignment, with a minimum 10-year follow-up. Thirty-eight patients were included, with a mean age of 48 ± 9 years. All patients had clinical and radiological assessments. The survival curves were calculated based on the following endpoints: unicompartmental or total knee arthroplasty.

RESULTS

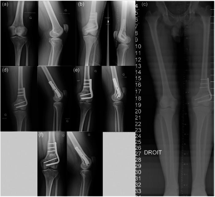
The mean follow-up was 15.2 ± 4.4 [10-29] years. The mean preoperative mechanical FemoroTibial Axis (mFTA) was 188.8° ± 3.2° [184°-197°], primarily due to femur deformity (mean lateral distal femoral axis [LDFA] 83.2° ± 2.8°). Bone union was achieved in 89.5% of patients (n = 34) at a mean delay of 6.5 ± 6.7 months. The complication rate was 26% (five stiffness, one nonunion, three secondary displacements and one deep vein thrombosis). Nine revision surgeries (24%) were recorded. Survival rates at 5 and 10 years were 92.1% and 78.9%, respectively. The mean delay between DFO and total knee arthroplasty (TKA) was 11.6 ± 5.7 [1-27] years. Nineteen patients (50%) were free of TKA at the last follow-up. KSS scores were improved significantly. Return to sports was obtained in 92% of cases (n = 35), with a mean delay of 11 ± 8 months. Seventy-four per cent of patients were satisfied or very satisfied with the surgery. Eighty-four per cent would be willing to undergo the surgery again. Older age (p = 0.032) was a significant risk factor for TKA conversion.

CONCLUSION

LOW-DFO is an efficient procedure to manage lateral knee osteoarthritis in young patients with valgus deformity, with a good survival rate at 10 years and high patient satisfaction.

LEVEL OF EVIDENCE

Level III.

摘要

目的

本研究旨在(1)长期确定股骨远端外侧开放楔形截骨术(LOW-DFO)的并发症和生存率,(2)长期评估其临床结果,以及(3)确定失败的风险因素。

方法

1991年至2011年期间,同一科室共进行了62例LOW-DFO手术。纳入标准为所有因单纯外侧胫股关节炎和外翻畸形而进行的单纯LOW-DFO手术,且随访至少10年。纳入38例患者,平均年龄48±9岁。所有患者均进行了临床和影像学评估。根据以下终点计算生存曲线:单髁或全膝关节置换术。

结果

平均随访时间为15.2±4.4[10-29]年。术前平均机械性股胫轴线(mFTA)为188.8°±3.2°[184°-197°],主要由于股骨畸形(平均股骨远端外侧轴线[LDFA]83.2°±2.8°)。89.5%的患者(n=34)实现了骨愈合,平均延迟时间为6.5±6.7个月。并发症发生率为26%(5例僵硬、1例骨不连、3例二次移位和1例深静脉血栓形成)。记录了9例翻修手术(24%)。5年和10年的生存率分别为92.1%和78.9%。DFO与全膝关节置换术(TKA)之间的平均间隔时间为11.6±5.7[1-27]年。19例患者(50%)在最后一次随访时未进行TKA。膝关节协会(KSS)评分显著改善。92%的病例(n=35)恢复了运动,平均延迟时间为11±8个月。74%的患者对手术满意或非常满意。84%的患者愿意再次接受手术。年龄较大(p=0.032)是TKA转换的一个显著风险因素。

结论

LOW-DFO是治疗外翻畸形年轻患者外侧膝关节骨关节炎的有效方法,10年生存率良好,患者满意度高。

证据水平

III级。

https://cdn.ncbi.nlm.nih.gov/pmc/blobs/6605/11792110/1030072fb6cd/KSA-33-675-g002.jpg

文献检索

告别复杂PubMed语法,用中文像聊天一样搜索,搜遍4000万医学文献。AI智能推荐,让科研检索更轻松。

立即免费搜索

文件翻译

保留排版,准确专业,支持PDF/Word/PPT等文件格式,支持 12+语言互译。

免费翻译文档

深度研究

AI帮你快速写综述,25分钟生成高质量综述,智能提取关键信息,辅助科研写作。

立即免费体验