• 文献检索
  • 文档翻译
  • 深度研究
  • 学术资讯
  • Suppr Zotero 插件Zotero 插件
  • 邀请有礼
  • 套餐&价格
  • 历史记录
应用&插件
Suppr Zotero 插件Zotero 插件浏览器插件Mac 客户端Windows 客户端微信小程序
定价
高级版会员购买积分包购买API积分包
服务
文献检索文档翻译深度研究API 文档MCP 服务
关于我们
关于 Suppr公司介绍联系我们用户协议隐私条款
关注我们

Suppr 超能文献

核心技术专利:CN118964589B侵权必究
粤ICP备2023148730 号-1Suppr @ 2026

文献检索

告别复杂PubMed语法,用中文像聊天一样搜索,搜遍4000万医学文献。AI智能推荐,让科研检索更轻松。

立即免费搜索

文件翻译

保留排版,准确专业,支持PDF/Word/PPT等文件格式,支持 12+语言互译。

免费翻译文档

深度研究

AI帮你快速写综述,25分钟生成高质量综述,智能提取关键信息,辅助科研写作。

立即免费体验

甲型流感病毒感染激活信号转导和转录激活因子3(STAT3),以增强固醇调节元件结合蛋白2(SREBP2)的表达、胆固醇生物合成及病毒复制。

Influenza A virus infection activates STAT3 to enhance SREBP2 expression, cholesterol biosynthesis, and virus replication.

作者信息

Zhang Jingting, Wu Yunhan, Wang Yujie, Liu Penggang, Liu Kaituo, Sun Jing, Zhang Pinghu, Wang Xiaoquan, Liu Xiufan, Xu Xiulong

机构信息

College of Veterinary Medicine, Institute of Comparative Medicine, Yangzhou University, Yangzhou 225009, Jiangsu Province, China.

Joint International Research Laboratory of Agriculture and Agri-Product Safety of Ministry of Education of China, Yangzhou 225009, Jiangsu Province, China.

出版信息

iScience. 2024 Jun 29;27(8):110424. doi: 10.1016/j.isci.2024.110424. eCollection 2024 Aug 16.

DOI:10.1016/j.isci.2024.110424
PMID:39108727
原文链接:https://pmc.ncbi.nlm.nih.gov/articles/PMC11301072/
Abstract

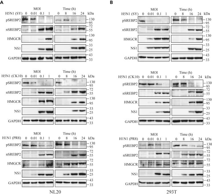
Cellular cholesterol plays an important role in influenza A virus (IAV) endocytosis and replication. However, how IAV infection regulates cholesterol biosynthesis remains poorly understood. Here, we report that IAV infection activates SREBP2 and induces the expression of HMGCR, a rate-limiting enzyme in cholesterol synthesis pathway. SREBP2 deficiency suppresses IAV-induced HMGCR expression and virus replication. Mechanistically, IAV infection activates JAK2 and STAT3, inhibition of JAK2 and STAT3 activity by their inhibitors or by gene knockout downregulates IAV-induced SREBP2 and HMGCR expression and IAV replication, reduces the content of cellular cholesterol and virus binding to host cells. Exogenous cholesterol reverses the inhibitory effect of S3I-201 and STAT3 deficiency on virus replication. STAT3 or JAK2 overexpression increases the expression of SREBP2 and its downstream target genes, leading to increased IAV replication. These observations collectively suggest that STAT3 activation facilitates IAV replication by inducing SREBP2 expression and increasing cholesterol biosynthesis.

摘要

细胞胆固醇在甲型流感病毒(IAV)的内吞作用和复制中起着重要作用。然而,IAV感染如何调节胆固醇生物合成仍知之甚少。在此,我们报告IAV感染激活SREBP2并诱导HMGCR的表达,HMGCR是胆固醇合成途径中的限速酶。SREBP2缺陷抑制IAV诱导的HMGCR表达和病毒复制。机制上,IAV感染激活JAK2和STAT3,用其抑制剂或通过基因敲除抑制JAK2和STAT3活性会下调IAV诱导的SREBP2和HMGCR表达以及IAV复制,降低细胞胆固醇含量和病毒与宿主细胞的结合。外源性胆固醇可逆转S3I-201和STAT3缺陷对病毒复制的抑制作用。STAT3或JAK2过表达增加SREBP2及其下游靶基因的表达,导致IAV复制增加。这些观察结果共同表明,STAT3激活通过诱导SREBP2表达和增加胆固醇生物合成促进IAV复制。

https://cdn.ncbi.nlm.nih.gov/pmc/blobs/00c6/11301072/b05911a29058/gr7.jpg
https://cdn.ncbi.nlm.nih.gov/pmc/blobs/00c6/11301072/44953a87b3b9/fx1.jpg
https://cdn.ncbi.nlm.nih.gov/pmc/blobs/00c6/11301072/3f7643747694/gr1.jpg
https://cdn.ncbi.nlm.nih.gov/pmc/blobs/00c6/11301072/ca8abc29d795/gr2.jpg
https://cdn.ncbi.nlm.nih.gov/pmc/blobs/00c6/11301072/0f81f5f056d9/gr3.jpg
https://cdn.ncbi.nlm.nih.gov/pmc/blobs/00c6/11301072/8e135d6d42f1/gr4.jpg
https://cdn.ncbi.nlm.nih.gov/pmc/blobs/00c6/11301072/5f25f6f86eab/gr5.jpg
https://cdn.ncbi.nlm.nih.gov/pmc/blobs/00c6/11301072/64809b9daaa0/gr6.jpg
https://cdn.ncbi.nlm.nih.gov/pmc/blobs/00c6/11301072/b05911a29058/gr7.jpg
https://cdn.ncbi.nlm.nih.gov/pmc/blobs/00c6/11301072/44953a87b3b9/fx1.jpg
https://cdn.ncbi.nlm.nih.gov/pmc/blobs/00c6/11301072/3f7643747694/gr1.jpg
https://cdn.ncbi.nlm.nih.gov/pmc/blobs/00c6/11301072/ca8abc29d795/gr2.jpg
https://cdn.ncbi.nlm.nih.gov/pmc/blobs/00c6/11301072/0f81f5f056d9/gr3.jpg
https://cdn.ncbi.nlm.nih.gov/pmc/blobs/00c6/11301072/8e135d6d42f1/gr4.jpg
https://cdn.ncbi.nlm.nih.gov/pmc/blobs/00c6/11301072/5f25f6f86eab/gr5.jpg
https://cdn.ncbi.nlm.nih.gov/pmc/blobs/00c6/11301072/64809b9daaa0/gr6.jpg
https://cdn.ncbi.nlm.nih.gov/pmc/blobs/00c6/11301072/b05911a29058/gr7.jpg

相似文献

1
Influenza A virus infection activates STAT3 to enhance SREBP2 expression, cholesterol biosynthesis, and virus replication.甲型流感病毒感染激活信号转导和转录激活因子3(STAT3),以增强固醇调节元件结合蛋白2(SREBP2)的表达、胆固醇生物合成及病毒复制。
iScience. 2024 Jun 29;27(8):110424. doi: 10.1016/j.isci.2024.110424. eCollection 2024 Aug 16.
2
Annexin A6-balanced late endosomal cholesterol controls influenza A replication and propagation. annexin A6 平衡晚期内体胆固醇控制甲型流感病毒的复制和传播。
mBio. 2013 Nov 5;4(6):e00608-13. doi: 10.1128/mBio.00608-13.
3
Influenza A virus-induced degradation of eukaryotic translation initiation factor 4B contributes to viral replication by suppressing IFITM3 protein expression.甲型流感病毒诱导真核翻译起始因子 4B 的降解有助于通过抑制 IFITM3 蛋白表达来促进病毒复制。
J Virol. 2014 Aug;88(15):8375-85. doi: 10.1128/JVI.00126-14. Epub 2014 May 14.
4
Influenza a virus regulates interferon signaling and its associated genes; MxA and STAT3 by cellular miR-141 to ensure viral replication.甲型流感病毒通过细胞 miR-141 调控干扰素信号及其相关基因;MxA 和 STAT3,以确保病毒复制。
Virol J. 2023 Aug 18;20(1):183. doi: 10.1186/s12985-023-02146-4.
5
Autophagy Promotes Replication of Influenza A Virus .自噬促进甲型流感病毒复制。
J Virol. 2019 Feb 5;93(4). doi: 10.1128/JVI.01984-18. Print 2019 Feb 15.
6
A host susceptibility gene, DR1, facilitates influenza A virus replication by suppressing host innate immunity and enhancing viral RNA replication.一种宿主易感性基因DR1,通过抑制宿主先天免疫和增强病毒RNA复制来促进甲型流感病毒的复制。
J Virol. 2015 Apr;89(7):3671-82. doi: 10.1128/JVI.03610-14. Epub 2015 Jan 14.
7
Inducible Guanylate-Binding Protein 7 Facilitates Influenza A Virus Replication by Suppressing Innate Immunity via NF-κB and JAK-STAT Signaling Pathways.诱导型鸟苷酸结合蛋白 7 通过抑制 NF-κB 和 JAK-STAT 信号通路来促进甲型流感病毒复制。
J Virol. 2021 Feb 24;95(6). doi: 10.1128/JVI.02038-20.
8
The G Protein-Coupled Receptor FFAR2 Promotes Internalization during Influenza A Virus Entry.G 蛋白偶联受体 FFAR2 在甲型流感病毒进入过程中促进内化。
J Virol. 2020 Jan 6;94(2). doi: 10.1128/JVI.01707-19.
9
Lnc-ISG20 Inhibits Influenza A Virus Replication by Enhancing ISG20 Expression.Lnc-ISG20 通过增强 ISG20 表达抑制甲型流感病毒复制。
J Virol. 2018 Jul 31;92(16). doi: 10.1128/JVI.00539-18. Print 2018 Aug 15.
10
PARP1 Enhances Influenza A Virus Propagation by Facilitating Degradation of Host Type I Interferon Receptor.PARP1通过促进宿主I型干扰素受体的降解增强甲型流感病毒的增殖。
J Virol. 2020 Mar 17;94(7). doi: 10.1128/JVI.01572-19.

引用本文的文献

1
Impact of Obesity on Immunity to the Influenza Virus: Gut Microbiota, Mechanisms, and Novel Therapeutic Strategies.肥胖对流感病毒免疫的影响:肠道微生物群、机制及新型治疗策略
Diseases. 2025 Aug 19;13(8):267. doi: 10.3390/diseases13080267.
2
The diverse interaction of metabolism, immune response, and viral pathogens.新陈代谢、免疫反应和病毒病原体之间的多样相互作用。
Front Immunol. 2025 Jul 29;16:1619926. doi: 10.3389/fimmu.2025.1619926. eCollection 2025.
3
Hypercapnia Increases Influenza A Virus Infection of Bronchial Epithelial Cells by Augmenting Cellular Cholesterol via mTOR and Akt.

本文引用的文献

1
Usp25-Erlin1/2 activity limits cholesterol flux to restrict virus infection.USP25-Erlin1/2 活性限制胆固醇通量以限制病毒感染。
Dev Cell. 2023 Nov 20;58(22):2495-2509.e6. doi: 10.1016/j.devcel.2023.08.013. Epub 2023 Sep 7.
2
Effect of the JAK/STAT Inhibitor Tofacitinib on Macrophage Cholesterol Metabolism.JAK/STAT 抑制剂托法替尼对巨噬细胞胆固醇代谢的影响。
Int J Mol Sci. 2023 Aug 8;24(16):12571. doi: 10.3390/ijms241612571.
3
STAT3 regulates antiviral immunity by suppressing excessive interferon signaling.STAT3 通过抑制过度的干扰素信号来调节抗病毒免疫。
高碳酸血症通过mTOR和Akt增加细胞胆固醇从而增强甲型流感病毒对支气管上皮细胞的感染。
Int J Mol Sci. 2025 Apr 26;26(9):4133. doi: 10.3390/ijms26094133.
4
STAT3 Increases CVB3 Replication and Acute Pancreatitis and Myocarditis Pathology via Impeding Nuclear Translocation of STAT1 and Interferon-Stimulated Gene Expression.STAT3 通过阻碍 STAT1 的核转位和干扰素刺激基因表达增加 CVB3 复制和急性胰腺炎及心肌炎病理。
Int J Mol Sci. 2024 Aug 19;25(16):9007. doi: 10.3390/ijms25169007.
Cell Rep. 2023 Jul 25;42(7):112806. doi: 10.1016/j.celrep.2023.112806. Epub 2023 Jul 11.
4
Dietary diosgenin transcriptionally down-regulated intestinal NPC1L1 expression to prevent cholesterol gallstone formation in mice.饮食中的薯蓣皂苷元通过转录下调肠道 NPC1L1 的表达来预防小鼠胆固醇结石的形成。
J Biomed Sci. 2023 Jun 27;30(1):44. doi: 10.1186/s12929-023-00933-3.
5
African Swine Fever Virus Envelope Glycoprotein CD2v Interacts with Host CSF2RA to Regulate the JAK2-STAT3 Pathway and Inhibit Apoptosis to Facilitate Virus Replication.非洲猪瘟病毒包膜糖蛋白 CD2v 与宿主 CSF2RA 相互作用,调节 JAK2-STAT3 通路并抑制细胞凋亡,从而促进病毒复制。
J Virol. 2023 Apr 27;97(4):e0188922. doi: 10.1128/jvi.01889-22. Epub 2023 Apr 6.
6
Limb-girdle muscular dystrophy type 2B causes HDL-C abnormalities in patients and statin-resistant muscle wasting in dysferlin-deficient mice.肢带型肌营养不良症 2B 型导致患者高密度脂蛋白胆固醇异常,以及肌营养不良蛋白缺陷型小鼠出现他汀类药物抵抗性肌肉消耗。
Skelet Muscle. 2022 Nov 29;12(1):25. doi: 10.1186/s13395-022-00308-6.
7
Modulating cholesterol-rich lipid rafts to disrupt influenza A virus infection.调节富含胆固醇的脂筏以破坏甲型流感病毒感染。
Front Immunol. 2022 Sep 13;13:982264. doi: 10.3389/fimmu.2022.982264. eCollection 2022.
8
Apolipoprotein E mediates cell resistance to influenza virus infection.载脂蛋白 E 介导细胞对流感病毒感染的抵抗力。
Sci Adv. 2022 Sep 23;8(38):eabm6668. doi: 10.1126/sciadv.abm6668. Epub 2022 Sep 21.
9
SREBP2-dependent lipid gene transcription enhances the infection of human dendritic cells by Zika virus.SREBP2 依赖性脂质基因转录增强寨卡病毒感染人树突状细胞。
Nat Commun. 2022 Sep 12;13(1):5341. doi: 10.1038/s41467-022-33041-1.
10
H1N1 influenza virus dose dependent induction of dysregulated innate immune responses and STAT1/3 activation are associated with pulmonary immunopathological damage.H1N1 流感病毒剂量依赖性诱导失调的固有免疫反应和 STAT1/3 激活与肺部免疫病理损伤有关。
Virulence. 2022 Dec;13(1):1558-1572. doi: 10.1080/21505594.2022.2120951.