Suppr超能文献

另辟蹊径:一例伴有腹腔干狭窄的脾外伤经胰十二指肠动脉弓行脾动脉远端栓塞的病例报告

Taking the Road Less Travelled: A Case Report of Distal Splenic Artery Embolisation via the Pancreaticoduodenal Arcade in Splenic Trauma With Celiac Artery Stenosis.

作者信息

T Harsha M, Singh Mohit, Sharma Pankaj, H Samanvitha

机构信息

Interventional Radiology, All India Institute of Medical Sciences, Rishikesh, Rishikesh, IND.

Radiodiagnosis, Postgraduate Institute of Medical Education and Research, Chandigarh, Chandigarh, IND.

出版信息

Cureus. 2024 Jul 8;16(7):e64094. doi: 10.7759/cureus.64094. eCollection 2024 Jul.

Abstract

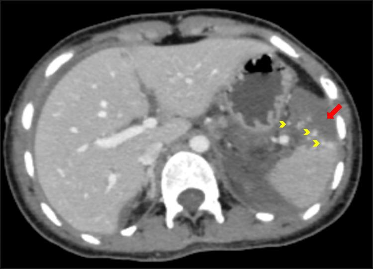
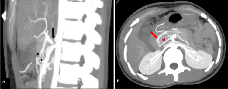
Celiac axis stenosis (CAS) is one of the most prevalent splanchnic arterial pathologies. It seldom results in clinically severe ischemic bowel disease because of the rich collateral circulation from the superior mesenteric artery. Knowledge about the collaterals in celiac artery stenosis guides various interventional procedures. Here, we describe a case of a 19-year-old female with American Association for the Surgery of Trauma (AAST) grade IV splenic injury found to have CAS. Distal splenic artery embolisation was performed via the collateral pathway through the pancreaticoduodenal arcade.

摘要

腹腔干狭窄(CAS)是最常见的内脏动脉病变之一。由于肠系膜上动脉丰富的侧支循环,它很少导致临床上严重的缺血性肠病。了解腹腔干狭窄中的侧支循环有助于指导各种介入手术。在此,我们描述了一例19岁女性,其因美国创伤外科协会(AAST)IV级脾损伤而被发现患有CAS。通过胰十二指肠动脉弓的侧支途径进行了脾动脉远端栓塞。

https://cdn.ncbi.nlm.nih.gov/pmc/blobs/c6b0/11305605/933f13071f03/cureus-0016-00000064094-i01.jpg

文献AI研究员

20分钟写一篇综述,助力文献阅读效率提升50倍。

立即体验

用中文搜PubMed

大模型驱动的PubMed中文搜索引擎

马上搜索

文档翻译

学术文献翻译模型,支持多种主流文档格式。

立即体验