Suppr超能文献

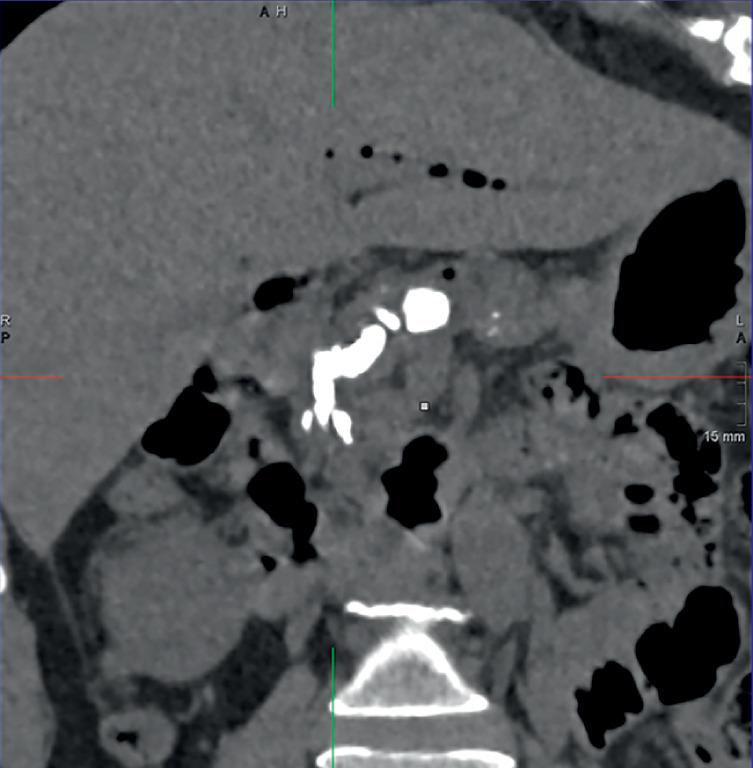
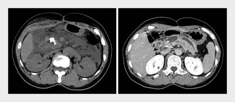
Multiple pancreaticobiliary fistulas combined with acute necrotizing pancreatitis: a rare complication of pancreatic extracorporeal shock wave lithotripsy.

作者信息

Li Guangchao, Wang Peng, Wang Limei, Li Zhen, Ji Rui, Ren Hongbo, Zhong Ning

机构信息

Department of Gastroenterology, Qilu Hospital of Shandong University, Jinan, China.

出版信息

Endoscopy. 2024 Dec;56(S 01):E720-E721. doi: 10.1055/a-2361-1299. Epub 2024 Aug 8.

Abstract
摘要
https://cdn.ncbi.nlm.nih.gov/pmc/blobs/ac11/11309848/061a33c9cfca/10-1055-a-2361-1299_23612334.jpg

相似文献

4
Pancreaticobiliary fistula: an unusual complication of necrotising pancreatitis.
Eur J Surg. 2001 Feb;167(2):151-3. doi: 10.1080/110241501750070655.
5
Pancreaticobiliary fistula evident after ESWL treatment of pancreatolithiasis.
Intern Med. 2009;48(7):545-9. doi: 10.2169/internalmedicine.48.1788. Epub 2009 Apr 1.
7
Cholangioscopy and electrohydraulic lithotripsy in the management of fistulated pancreatic duct stones.
Endoscopy. 2018 Jul;50(7):E163-E164. doi: 10.1055/a-0599-0280. Epub 2018 May 9.
8
Endoscopic Retrograde Cholangiopancreatography for the Management of Pancreatic Duct Leaks and Fistulas.
Gastrointest Endosc Clin N Am. 2024 Jul;34(3):405-416. doi: 10.1016/j.giec.2024.02.001. Epub 2024 Mar 19.
10
Management of Pancreatic Duct Stones.
Curr Gastroenterol Rep. 2019 Dec 4;21(11):63. doi: 10.1007/s11894-019-0727-0.

本文引用的文献

1
Pancreaticobiliary maljunction and congenital biliary dilatation.
Lancet Gastroenterol Hepatol. 2017 Aug;2(8):610-618. doi: 10.1016/S2468-1253(17)30002-X.
2
Risk factors for complications of pancreatic extracorporeal shock wave lithotripsy.
Endoscopy. 2014 Dec;46(12):1092-100. doi: 10.1055/s-0034-1377753. Epub 2014 Sep 24.

文献AI研究员

20分钟写一篇综述,助力文献阅读效率提升50倍。

立即体验

用中文搜PubMed

大模型驱动的PubMed中文搜索引擎

马上搜索

文档翻译

学术文献翻译模型,支持多种主流文档格式。

立即体验