Suppr超能文献

经面部入路同期切除并重建磨牙后三角区肿瘤的初步研究

The Trans-facial Approach for Simultaneous Resection and Reconstruction of Retromolar Trigone Tumors: A Pilot Study.

作者信息

Singh Arjun Gurmeet, Bavaskar Manasi, Sharin Florida, Singhavi Hitesh, Shetty Rathan, Joshi Poonam, Nair Sudhir

机构信息

Head and Neck Surgery, ACTREC, Tata Memorial Centre, Homi Bhabha National Institute, Mumbai, Maharashtra India.

Head and Neck Surgery, University Hospital of Leicester, Leicester, UK.

出版信息

J Maxillofac Oral Surg. 2024 Aug;23(4):909-913. doi: 10.1007/s12663-024-02226-0. Epub 2024 Jun 15.

Abstract

INTRODUCTION

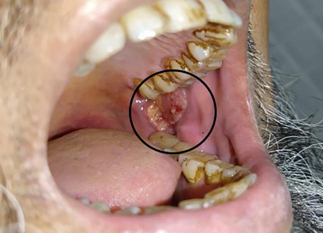
Early retromolar trigone (RMT) lesions are difficult to access and free tissue transfer is often an overkill for such small lesions. The aim was to devise a novel surgical approach that would aid the resection without raising a cheek flap and simultaneously provide a local reconstructive option for small lesions in the RMT.

METHODOLOGY

This study was to demonstrate the outcomes of the "trans-facial" approach used to simultaneously access and reconstruct small RMT tumors through an islanded nasolabial flap. Patients with histologically proven squamous cell carcinoma of RMT requiring surgery were included from January 2021 to September 2022. Case selection was done based on the location of the disease and its size (cT1/T2). All needed bone and soft tissue resection via per oral trans-facial approach, along with an ipsilateral neck dissection. The technique is described along with their post-operative and pathologic outcomes.

RESULTS

Out of the eight patients included in this study, six underwent a bi-alveolar marginal resection and reconstructed using the trans-facial approach. No major complications were noted in the post-operative period. 50% were pT1 tumors and 75% were pN0 status. One patient had a close margin; while, the others had adequate resection margins. All patients were followed up for a median of 18 months with a locoregionally controlled status.

CONCLUSION

The trans-facial approach can be a suitable option with a reasonable oncologic outcome to address small RMT lesions.

摘要

引言

早期磨牙后三角(RMT)病变难以触及,对于如此小的病变,游离组织移植往往有些大材小用。本研究旨在设计一种新颖的手术方法,该方法有助于在不掀起颊瓣的情况下进行切除,同时为RMT中的小病变提供局部重建方案。

方法

本研究旨在展示通过岛状鼻唇瓣同时进入并重建小RMT肿瘤的“经面部”手术方法的效果。纳入2021年1月至2022年9月期间需要手术治疗且经组织学证实为RMT鳞状细胞癌的患者。根据疾病的位置及其大小(cT1/T2)进行病例选择。所有患者均通过经口经面部入路进行所需的骨和软组织切除,并同期进行同侧颈清扫术。对该技术及其术后和病理结果进行了描述。

结果

本研究纳入的8例患者中,6例接受了双侧牙槽嵴边缘切除,并采用经面部入路进行重建。术后未发现重大并发症。50%为pT1肿瘤,75%为pN0状态。1例患者切缘接近;其他患者切缘足够。所有患者均接受了中位时间为18个月的随访,局部区域控制良好。

结论

经面部入路对于处理小RMT病变可能是一种合适的选择,具有合理的肿瘤学结果。

https://cdn.ncbi.nlm.nih.gov/pmc/blobs/1ef5/11303610/3e63721de562/12663_2024_2226_Fig1_HTML.jpg

相似文献

1
The Trans-facial Approach for Simultaneous Resection and Reconstruction of Retromolar Trigone Tumors: A Pilot Study.
J Maxillofac Oral Surg. 2024 Aug;23(4):909-913. doi: 10.1007/s12663-024-02226-0. Epub 2024 Jun 15.
2
The medial sural artery perforator flap for retromolar trigone reconstruction: A multicenter case series.
Microsurgery. 2023 Sep;43(6):546-554. doi: 10.1002/micr.31026. Epub 2023 Feb 20.
5
Treatment Outcomes for Primary Retromolar Trigone Carcinoma: A Single Institution Experience.
Turk Arch Otorhinolaryngol. 2020 Jun;58(2):87-92. doi: 10.5152/tao.2020.5153. Epub 2020 Jun 1.
6
Retromolar trigone reconstructive surgery: prospective comparative analysis between free flaps.
Ann Surg Oncol. 2015 Jan;22(1):272-8. doi: 10.1245/s10434-014-3963-4. Epub 2014 Aug 27.
7
Tumor resection from retromolar trigone, posterolateral maxilla, and anterior mandibular ramus using lower cheek flap approach: a case report and review of literature.
J Korean Assoc Oral Maxillofac Surg. 2017 Jun;43(3):186-190. doi: 10.5125/jkaoms.2017.43.3.186. Epub 2017 Jun 28.
8
Reconstruction of buccal mucosa: A minimalist symbiotic approach with local flaps.
Oral Oncol. 2021 Mar;114:105081. doi: 10.1016/j.oraloncology.2020.105081. Epub 2020 Nov 6.
9
The Retromolar Trigone: Anatomy, Cancer Treatment Modalities, Reconstruction, and a Classification System.
J Craniofac Surg. 2016 Jun;27(4):1070-6. doi: 10.1097/SCS.0000000000002625.
10
Aggressive multimodality management of locally advanced retromolar trigone tumors.
Head Neck. 2013 Sep;35(9):1269-73. doi: 10.1002/hed.23113. Epub 2012 Aug 21.

本文引用的文献

1
Tumor resection from retromolar trigone, posterolateral maxilla, and anterior mandibular ramus using lower cheek flap approach: a case report and review of literature.
J Korean Assoc Oral Maxillofac Surg. 2017 Jun;43(3):186-190. doi: 10.5125/jkaoms.2017.43.3.186. Epub 2017 Jun 28.
2
Manson's point: A facial landmark to identify the facial artery.
J Plast Reconstr Aesthet Surg. 2015 Sep;68(9):1221-7. doi: 10.1016/j.bjps.2015.05.007. Epub 2015 May 21.
4
Challenges of the oral cancer burden in India.
J Cancer Epidemiol. 2012;2012:701932. doi: 10.1155/2012/701932. Epub 2012 Oct 4.
5
Management of gingivobuccal complex cancer.
Ann R Coll Surg Engl. 2008 Oct;90(7):546-53. doi: 10.1308/003588408X301136. Epub 2008 Aug 12.
6
Surgical approaches to the oral cavity primary and neck.
Int J Radiat Oncol Biol Phys. 2007;69(2 Suppl):S15-8. doi: 10.1016/j.ijrobp.2007.03.069.
7
Retromolar trigone carcinoma treated by primary radiation therapy: an alternative to the primary surgical approach.
Arch Otolaryngol Head Neck Surg. 2005 Jul;131(7):576-82. doi: 10.1001/archotol.131.7.576.

文献AI研究员

20分钟写一篇综述,助力文献阅读效率提升50倍。

立即体验

用中文搜PubMed

大模型驱动的PubMed中文搜索引擎

马上搜索

文档翻译

学术文献翻译模型,支持多种主流文档格式。

立即体验