• 文献检索
  • 文档翻译
  • 深度研究
  • 学术资讯
  • Suppr Zotero 插件Zotero 插件
  • 邀请有礼
  • 套餐&价格
  • 历史记录
应用&插件
Suppr Zotero 插件Zotero 插件浏览器插件Mac 客户端Windows 客户端微信小程序
定价
高级版会员购买积分包购买API积分包
服务
文献检索文档翻译深度研究API 文档MCP 服务
关于我们
关于 Suppr公司介绍联系我们用户协议隐私条款
关注我们

Suppr 超能文献

核心技术专利:CN118964589B侵权必究
粤ICP备2023148730 号-1Suppr @ 2026

文献检索

告别复杂PubMed语法,用中文像聊天一样搜索,搜遍4000万医学文献。AI智能推荐,让科研检索更轻松。

立即免费搜索

文件翻译

保留排版,准确专业,支持PDF/Word/PPT等文件格式,支持 12+语言互译。

免费翻译文档

深度研究

AI帮你快速写综述,25分钟生成高质量综述,智能提取关键信息,辅助科研写作。

立即免费体验

原发性皮肤腺样囊性癌:一种误诊的肿瘤。

Primary Cutaneous Adenoid Cystic Carcinoma: A Misdiagnosed Tumor.

作者信息

Soughi Meryem, Elloudi Sara, Ardigo Marco, Baybay Hanane, Mernissi FatimaZahra

机构信息

Deparment of Dermatology, Centre Hospitalier Universitaire Hassan II, Fez, MAR.

Faculty of Medicine, Pharmacy, and Dental Medicine, Sidi Mohamed Ben Abdellah University, Fez, MAR.

出版信息

Cureus. 2024 Jul 11;16(7):e64318. doi: 10.7759/cureus.64318. eCollection 2024 Jul.

DOI:10.7759/cureus.64318
PMID:39130887
原文链接:https://pmc.ncbi.nlm.nih.gov/articles/PMC11316835/
Abstract

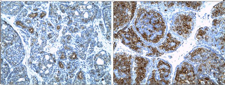
Primary cutaneous adenoid cystic carcinoma (PCACC) is a rare, slow-growing adnexal skin tumor with about 250 documented cases. We present a case involving a 66-year-old woman who was treated with ovulation inductors 30 years ago and underwent surgeries for meningioma 20 years ago and invasive galactophoric adenocarcinoma of the left breast 12 years ago. She presented with a gradually enlarging, solid, skin-colored tumor on her scalp, located along an old surgical scar initially diagnosed as a keloid by her surgeon. Clinical and dermoscopic evaluations suggested basal cell carcinoma or a metastatic tumor. Confocal microscopy showed deep infiltration without specific diagnostic clues. However, histopathological examination, immunohistochemistry, and comprehensive investigations confirmed the diagnosis of PCACC. A wide local excision was performed, with no recurrence noted during the two-year follow-up. This case highlights the challenges of diagnosing PCACC through clinical, dermoscopic, and confocal methods. Histological analysis remains essential, particularly to distinguish it from metastatic lesions, emphasizing the need for a thorough diagnostic approach in such cases.

摘要

原发性皮肤腺样囊性癌(PCACC)是一种罕见的、生长缓慢的附属器皮肤肿瘤,有记录的病例约250例。我们报告一例66岁女性病例,该患者30年前接受过促排卵治疗,20年前接受过脑膜瘤手术,12年前接受过左乳浸润性导管腺癌手术。她头皮上出现一个逐渐增大的实性肤色肿瘤,位于一条旧手术瘢痕处,最初她的外科医生诊断为瘢痕疙瘩。临床和皮肤镜检查提示为基底细胞癌或转移性肿瘤。共聚焦显微镜检查显示深部浸润,但无特异性诊断线索。然而,组织病理学检查、免疫组化和综合检查确诊为PCACC。进行了广泛的局部切除,在两年随访期间未发现复发。该病例突出了通过临床、皮肤镜和共聚焦方法诊断PCACC的挑战。组织学分析仍然至关重要,特别是要将其与转移性病变区分开来,强调在此类病例中需要采取全面的诊断方法。

https://cdn.ncbi.nlm.nih.gov/pmc/blobs/6a28/11316835/e798b40ff40b/cureus-0016-00000064318-i05.jpg
https://cdn.ncbi.nlm.nih.gov/pmc/blobs/6a28/11316835/eb9ce1f183ee/cureus-0016-00000064318-i01.jpg
https://cdn.ncbi.nlm.nih.gov/pmc/blobs/6a28/11316835/5a0a4c882699/cureus-0016-00000064318-i02.jpg
https://cdn.ncbi.nlm.nih.gov/pmc/blobs/6a28/11316835/7bbab5548f9d/cureus-0016-00000064318-i03.jpg
https://cdn.ncbi.nlm.nih.gov/pmc/blobs/6a28/11316835/c5a06ea1ac35/cureus-0016-00000064318-i04.jpg
https://cdn.ncbi.nlm.nih.gov/pmc/blobs/6a28/11316835/e798b40ff40b/cureus-0016-00000064318-i05.jpg
https://cdn.ncbi.nlm.nih.gov/pmc/blobs/6a28/11316835/eb9ce1f183ee/cureus-0016-00000064318-i01.jpg
https://cdn.ncbi.nlm.nih.gov/pmc/blobs/6a28/11316835/5a0a4c882699/cureus-0016-00000064318-i02.jpg
https://cdn.ncbi.nlm.nih.gov/pmc/blobs/6a28/11316835/7bbab5548f9d/cureus-0016-00000064318-i03.jpg
https://cdn.ncbi.nlm.nih.gov/pmc/blobs/6a28/11316835/c5a06ea1ac35/cureus-0016-00000064318-i04.jpg
https://cdn.ncbi.nlm.nih.gov/pmc/blobs/6a28/11316835/e798b40ff40b/cureus-0016-00000064318-i05.jpg

相似文献

1
Primary Cutaneous Adenoid Cystic Carcinoma: A Misdiagnosed Tumor.原发性皮肤腺样囊性癌:一种误诊的肿瘤。
Cureus. 2024 Jul 11;16(7):e64318. doi: 10.7759/cureus.64318. eCollection 2024 Jul.
2
Primary cutaneous adenoid cystic carcinoma of the scalp: A case report, immunohistochemistry and review of the literature.头皮原发性腺样囊性癌:一例报告、免疫组化及文献复习
Skin Health Dis. 2022 Apr 28;2(2):e118. doi: 10.1002/ski2.118. eCollection 2022 Jun.
3
A primary cutaneous adenoid-cystic carcinoma in a young woman. Differential diagnosis and clinical implications.一名年轻女性的原发性皮肤腺样囊性癌。鉴别诊断及临床意义。
Rare Tumors. 2011 Mar 30;3(1):e3. doi: 10.4081/rt.2011.e3.
4
A Unique Case of Primary Cutaneous Adenoid Cystic Carcinoma Associated with Aplasia Cutis Congenita in a Four-Year-Old Female: A Case Report.一名四岁女性原发性皮肤腺样囊性癌合并先天性皮肤发育不全的罕见病例:病例报告
Children (Basel). 2022 Feb 21;9(2):292. doi: 10.3390/children9020292.
5
Metastasis of Primary Cutaneous Adenoid Cystic Carcinoma to the Nasal Septum after 17 years: A Case Report.原发性皮肤腺样囊性癌17年后转移至鼻中隔:一例报告
Case Rep Oncol. 2022 Feb 14;15(1):99-105. doi: 10.1159/000521978. eCollection 2022 Jan-Apr.
6
Primary cutaneous adenoid cystic carcinoma: an unusual case.原发性皮肤腺样囊性癌:1例罕见病例。
Dermatol Online J. 2013 Jan 15;19(1):5.
7
Primary cutaneous adenoid cystic carcinoma - An onerous task for clinicians and pathologists.原发性皮肤腺样囊性癌——临床医生和病理学家的艰巨任务。
Indian J Pathol Microbiol. 2022 Apr-Jun;65(2):459-461. doi: 10.4103/IJPM.IJPM_1162_20.
8
Two Different Cell Populations Is an Important Clue for Diagnosis of Primary Cutaneous Adenoid Cystic Carcinoma: Immunohistochemical Study.两种不同细胞群是原发性皮肤腺样囊性癌诊断的重要线索:免疫组织化学研究
Case Rep Pathol. 2017;2017:7949361. doi: 10.1155/2017/7949361. Epub 2017 Jan 24.
9
Primary Cutaneous Adenoid Cystic Carcinoma Of The Chest Wall With Axillary Lymph Node Metastases And Its Management: A Case Report.原发性胸壁腺样囊性癌伴腋窝淋巴结转移及其治疗:一例报告。
Port J Card Thorac Vasc Surg. 2023 Jul 7;30(2):51-54. doi: 10.48729/pjctvs.293.
10
Primary cutaneous adenoid cystic carcinoma: a clinicopathologic, immunohistochemical, and fluorescence in-situ hybridisation study of 13 cases.原发性皮肤腺样囊性癌:13例临床病理、免疫组织化学及荧光原位杂交研究
Histopathology. 2022 Jan;80(2):407-419. doi: 10.1111/his.14565. Epub 2021 Nov 11.

本文引用的文献

1
Primary Cutaneous Adenoid Cystic Carcinoma of the Back: A Case Report.背部原发性皮肤腺样囊性癌:一例报告
Cureus. 2023 Nov 20;15(11):e49099. doi: 10.7759/cureus.49099. eCollection 2023 Nov.
2
PRIMARY CUTANEOUS ADENOID CYSTIC CARCINOMA IN THE TRUNK: CASE REPORT AND LITERATURE REVIEW.躯干部原发性皮肤腺样囊性癌 1 例报告及文献复习。
Exp Oncol. 2022 Aug;44(2):174-176. doi: 10.32471/exp-oncology.2312-8852.vol-44-no-2.18006.
3
Primary cutaneous adenoid cystic carcinoma of the scalp: A case report, immunohistochemistry and review of the literature.
头皮原发性腺样囊性癌:一例报告、免疫组化及文献复习
Skin Health Dis. 2022 Apr 28;2(2):e118. doi: 10.1002/ski2.118. eCollection 2022 Jun.
4
Primary cutaneous adenoid cystic carcinoma mimicking dermal cylindroma: histology of the complete surgical excision as the key to diagnosis.酷似皮肤圆柱瘤的原发性皮肤腺样囊性癌:完整手术切除标本的组织学检查是诊断的关键
J Dtsch Dermatol Ges. 2018 Aug;16(8):1016-1018. doi: 10.1111/ddg.13600.
5
Primary cutaneous adenoid cystic carcinoma: a clinicopathologic and immunohistochemical study of 27 cases.原发性皮肤腺样囊性癌:27 例临床病理和免疫组化研究。
Am J Surg Pathol. 2013 Oct;37(10):1603-11. doi: 10.1097/PAS.0b013e318299fcac.
6
Primary adenoid cystic carcinoma of the skin metastatic to the lymph nodes: immunohistochemical study of a new case and literature review.皮肤原发性腺样囊性癌转移至淋巴结:1例新病例的免疫组化研究及文献复习
Am J Dermatopathol. 2014 Mar;36(3):223-8. doi: 10.1097/DAD.0b013e31829ae1e7.
7
A primary cutaneous adenoid-cystic carcinoma in a young woman. Differential diagnosis and clinical implications.一名年轻女性的原发性皮肤腺样囊性癌。鉴别诊断及临床意义。
Rare Tumors. 2011 Mar 30;3(1):e3. doi: 10.4081/rt.2011.e3.
8
Primary cutaneous adenoid cystic carcinoma in the United States: incidence, survival, and associated cancers, 1976 to 2005.美国原发性皮肤腺样囊性癌:1976 年至 2005 年的发病率、生存率和相关癌症。
J Am Acad Dermatol. 2010 Jul;63(1):71-8. doi: 10.1016/j.jaad.2009.07.027. Epub 2010 May 5.
9
Cutaneous adenoid cystic carcinoma with perineural invasion treated by mohs micrographic surgery-a case report with literature review.皮肤腺样囊性癌伴神经周围侵犯的 Mohs 显微外科手术治疗:附病例报告及文献复习。
J Oncol. 2010;2010:469049. doi: 10.1155/2010/469049. Epub 2010 Apr 7.
10
Adenoid cystic carcinomas of the breast and salivary glands (or 'The strange case of Dr Jekyll and Mr Hyde' of exocrine gland carcinomas).乳腺和唾液腺的腺样囊性癌(或外分泌腺癌的“化身博士和海德先生的奇案”)。
J Clin Pathol. 2010 Mar;63(3):220-8. doi: 10.1136/jcp.2009.073908.