• 文献检索
  • 文档翻译
  • 深度研究
  • 学术资讯
  • Suppr Zotero 插件Zotero 插件
  • 邀请有礼
  • 套餐&价格
  • 历史记录
应用&插件
Suppr Zotero 插件Zotero 插件浏览器插件Mac 客户端Windows 客户端微信小程序
定价
高级版会员购买积分包购买API积分包
服务
文献检索文档翻译深度研究API 文档MCP 服务
关于我们
关于 Suppr公司介绍联系我们用户协议隐私条款
关注我们

Suppr 超能文献

核心技术专利:CN118964589B侵权必究
粤ICP备2023148730 号-1Suppr @ 2026

文献检索

告别复杂PubMed语法,用中文像聊天一样搜索,搜遍4000万医学文献。AI智能推荐,让科研检索更轻松。

立即免费搜索

文件翻译

保留排版,准确专业,支持PDF/Word/PPT等文件格式,支持 12+语言互译。

免费翻译文档

深度研究

AI帮你快速写综述,25分钟生成高质量综述,智能提取关键信息,辅助科研写作。

立即免费体验

头皮原发性腺样囊性癌:一例报告、免疫组化及文献复习

Primary cutaneous adenoid cystic carcinoma of the scalp: A case report, immunohistochemistry and review of the literature.

作者信息

Temnithikul Bhakinai, Rungrunanghiranya Suthat, Limtanyakul Piyakan, Jerasuthat Suthep, Paige David G

机构信息

Department of Internal Medicine, Faculty of Medicine Srinakharinwirot University Bangkok Thailand.

Department of Dermatology Chulabhorn Royal Academy Bangkok Thailand.

出版信息

Skin Health Dis. 2022 Apr 28;2(2):e118. doi: 10.1002/ski2.118. eCollection 2022 Jun.

DOI:10.1002/ski2.118
PMID:35677929
原文链接:https://pmc.ncbi.nlm.nih.gov/articles/PMC9168016/
Abstract

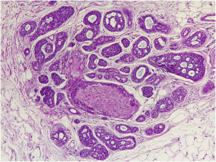
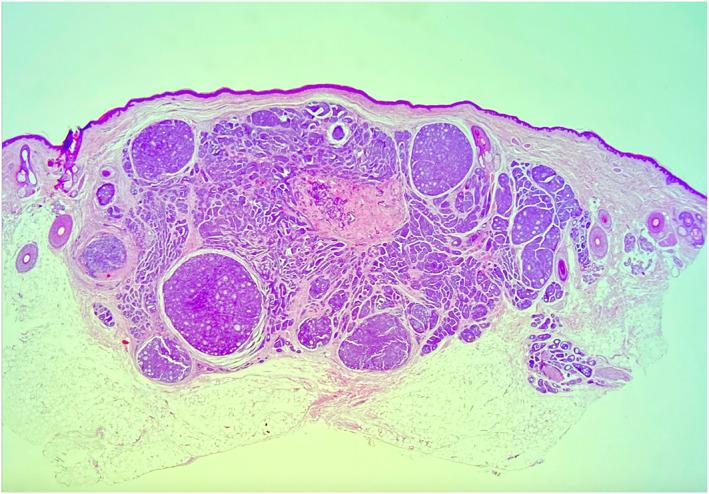
Primary cutaneous adenoid cystic carcinoma (PCACC) is an uncommon adnexal skin tumour with fewer than 200 cases studied in detail in the English literature. We describe the diagnosis and treatment of a few Southeast Asian cases of PCACC on the scalp of a 70-year-old Thai female. She presented with a slow-growing, painless, solid to cystic, skin-coloured tumour on her scalp. When excisional biopsy was done, histopathological findings showed dermal tumour that had a classic histologic appearance composed of basaloid cells arranged in a cribriform pattern with 'punched-out' pseudocysts filled with mucin (swiss cheese pattern) and had perineural invasion. The clinical and histopathological findings, and complete investigations confirmed the diagnosis of PCACC. Our case illustrates that PCACC, is an important histopathological differential diagnosis to bear in mind due to its locally aggressive nature and tendency to recur due to perineural invasion. A wide local excision with at least 2 cm of tumour-free margins was performed, which revealed no residual carcinoma. The patient remained disease-free for 16 months after diagnosis. PCACC is usually located on the head or neck of people in their sixth decade of life, with a female predominance. The aetiology of PCACC is unclear. The majority of PCACCs have the fusion gene or show overexpression of by immunohistochemistry. Diagnosis of PCACC is primarily based on the characteristic histological appearance, as there are no distinguishing clinical features. The diagnosis of PCACC requires careful exclusion of infiltration or metastasis from other primary lesions. Treatment of this rare tumour is wide surgical excision with at least 2 cm of tumour-free margins to reduce the risk of local recurrence, and long-term follow-up for possible recurrence of PCACC is recommended. This case emphasizes the importance of careful inspection for the diagnosis of PCACC after initial surgery and pathological evaluation of the mass lesion for appropriate diagnosis and therapy.

摘要

原发性皮肤腺样囊性癌(PCACC)是一种罕见的皮肤附属器肿瘤,英文文献中详细研究的病例不足200例。我们描述了一名70岁泰国女性头皮上几例东南亚PCACC病例的诊断和治疗情况。她头皮上出现了一个生长缓慢、无痛、实性至囊性、肤色的肿瘤。进行切除活检时,组织病理学检查结果显示真皮肿瘤具有典型的组织学表现,由呈筛状排列的基底样细胞组成,有充满黏液的“筛孔状”假囊肿(瑞士奶酪样),并伴有神经周围浸润。临床和组织病理学检查结果以及全面的检查证实了PCACC的诊断。我们的病例表明,由于PCACC具有局部侵袭性且因神经周围浸润有复发倾向,因此是一个需要牢记的重要组织病理学鉴别诊断。进行了至少2厘米切缘无瘤的广泛局部切除,未发现残留癌。患者诊断后16个月无疾病复发。PCACC通常位于60岁左右人群的头颈部,女性居多。PCACC的病因尚不清楚。大多数PCACC有融合基因或通过免疫组织化学显示其过表达。PCACC的诊断主要基于特征性的组织学表现,因为没有明显的临床特征。PCACC的诊断需要仔细排除其他原发性病变的浸润或转移。治疗这种罕见肿瘤需进行至少2厘米切缘无瘤的广泛手术切除以降低局部复发风险,建议对PCACC可能的复发进行长期随访。该病例强调了初次手术后仔细检查对PCACC诊断的重要性,以及对肿块病变进行病理评估以进行恰当诊断和治疗的重要性。

https://cdn.ncbi.nlm.nih.gov/pmc/blobs/9b4c/9168016/78f1bedea83f/SKI2-2-e118-g002.jpg
https://cdn.ncbi.nlm.nih.gov/pmc/blobs/9b4c/9168016/5073c138f33e/SKI2-2-e118-g003.jpg
https://cdn.ncbi.nlm.nih.gov/pmc/blobs/9b4c/9168016/756dc0c42c4f/SKI2-2-e118-g004.jpg
https://cdn.ncbi.nlm.nih.gov/pmc/blobs/9b4c/9168016/7250c5165259/SKI2-2-e118-g005.jpg
https://cdn.ncbi.nlm.nih.gov/pmc/blobs/9b4c/9168016/78f1bedea83f/SKI2-2-e118-g002.jpg
https://cdn.ncbi.nlm.nih.gov/pmc/blobs/9b4c/9168016/5073c138f33e/SKI2-2-e118-g003.jpg
https://cdn.ncbi.nlm.nih.gov/pmc/blobs/9b4c/9168016/756dc0c42c4f/SKI2-2-e118-g004.jpg
https://cdn.ncbi.nlm.nih.gov/pmc/blobs/9b4c/9168016/7250c5165259/SKI2-2-e118-g005.jpg
https://cdn.ncbi.nlm.nih.gov/pmc/blobs/9b4c/9168016/78f1bedea83f/SKI2-2-e118-g002.jpg

相似文献

1
Primary cutaneous adenoid cystic carcinoma of the scalp: A case report, immunohistochemistry and review of the literature.头皮原发性腺样囊性癌:一例报告、免疫组化及文献复习
Skin Health Dis. 2022 Apr 28;2(2):e118. doi: 10.1002/ski2.118. eCollection 2022 Jun.
2
A Unique Case of Primary Cutaneous Adenoid Cystic Carcinoma Associated with Aplasia Cutis Congenita in a Four-Year-Old Female: A Case Report.一名四岁女性原发性皮肤腺样囊性癌合并先天性皮肤发育不全的罕见病例:病例报告
Children (Basel). 2022 Feb 21;9(2):292. doi: 10.3390/children9020292.
3
A primary cutaneous adenoid-cystic carcinoma in a young woman. Differential diagnosis and clinical implications.一名年轻女性的原发性皮肤腺样囊性癌。鉴别诊断及临床意义。
Rare Tumors. 2011 Mar 30;3(1):e3. doi: 10.4081/rt.2011.e3.
4
Primary Cutaneous Adenoid Cystic Carcinoma: A Misdiagnosed Tumor.原发性皮肤腺样囊性癌:一种误诊的肿瘤。
Cureus. 2024 Jul 11;16(7):e64318. doi: 10.7759/cureus.64318. eCollection 2024 Jul.
5
Primary cutaneous adenoid cystic carcinoma with MYB aberrations: report of three cases and comprehensive review of the literature.伴有MYB畸变的原发性皮肤腺样囊性癌:三例报告及文献综合复习
J Cutan Pathol. 2017 Feb;44(2):201-209. doi: 10.1111/cup.12856. Epub 2016 Dec 2.
6
Primary cutaneous adenoid cystic carcinoma: a clinicopathologic, immunohistochemical, and fluorescence in-situ hybridisation study of 13 cases.原发性皮肤腺样囊性癌:13例临床病理、免疫组织化学及荧光原位杂交研究
Histopathology. 2022 Jan;80(2):407-419. doi: 10.1111/his.14565. Epub 2021 Nov 11.
7
Primary cutaneous adenoid cystic carcinoma of the eyelid and literature review.眼睑原发性皮肤腺样囊性癌及文献综述
Arq Bras Oftalmol. 2015 Sep-Oct;78(5):323-5. doi: 10.5935/0004-2749.20150085.
8
Primary cutaneous adenoid cystic carcinoma with regional lymph node metastasis.原发性皮肤腺样囊性癌伴区域淋巴结转移。
J Laryngol Otol. 2001 Aug;115(8):673-5. doi: 10.1258/0022215011908595.
9
Primary cutaneous adenoid cystic carcinoma: an unusual case.原发性皮肤腺样囊性癌:1例罕见病例。
Dermatol Online J. 2013 Jan 15;19(1):5.
10
Immediate Umbilical Reconstruction after a Mohs Micrographic Surgery for Primary Cutaneous Adenoid Cystic Carcinoma Arising in the Umbilicus.脐部原发性皮肤腺样囊性癌Mohs显微外科手术后立即进行脐部重建
Ann Dermatol. 2019 Dec;31(6):669-672. doi: 10.5021/ad.2019.31.6.669. Epub 2019 Oct 31.

引用本文的文献

1
Surgical outcomes of Adenoid cystic carcinoma treated with Mohs Micrographic Surgery and excision: a systematic review.采用莫氏显微外科手术和切除术治疗腺样囊性癌的手术结果:一项系统评价。
Arch Dermatol Res. 2025 Feb 1;317(1):335. doi: 10.1007/s00403-025-03842-7.
2
Cutaneous Adenoid Cystic Carcinoma Presenting as Proliferative Nodules - A Case Report.表现为增殖性结节的皮肤腺样囊性癌——病例报告
Indian Dermatol Online J. 2024 Oct 11;15(6):1033-1035. doi: 10.4103/idoj.idoj_743_23. eCollection 2024 Nov-Dec.
3
Primary Cutaneous Adenoid Cystic Carcinoma: A Misdiagnosed Tumor.

本文引用的文献

1
Primary cutaneous adenoid cystic carcinoma mimicking dermal cylindroma: histology of the complete surgical excision as the key to diagnosis.酷似皮肤圆柱瘤的原发性皮肤腺样囊性癌:完整手术切除标本的组织学检查是诊断的关键
J Dtsch Dermatol Ges. 2018 Aug;16(8):1016-1018. doi: 10.1111/ddg.13600.
2
Detection of MYB Alterations and Other Immunohistochemical Markers in Primary Cutaneous Adenoid Cystic Carcinoma.原发性皮肤腺样囊性癌中MYB改变及其他免疫组化标志物的检测
Am J Surg Pathol. 2015 Oct;39(10):1347-56. doi: 10.1097/PAS.0000000000000463.
3
Primary cutaneous adenoid cystic carcinoma: a clinicopathologic and immunohistochemical study of 27 cases.
原发性皮肤腺样囊性癌:一种误诊的肿瘤。
Cureus. 2024 Jul 11;16(7):e64318. doi: 10.7759/cureus.64318. eCollection 2024 Jul.
原发性皮肤腺样囊性癌:27 例临床病理和免疫组化研究。
Am J Surg Pathol. 2013 Oct;37(10):1603-11. doi: 10.1097/PAS.0b013e318299fcac.
4
Primary cutaneous adenoid cystic carcinoma in the United States: incidence, survival, and associated cancers, 1976 to 2005.美国原发性皮肤腺样囊性癌:1976 年至 2005 年的发病率、生存率和相关癌症。
J Am Acad Dermatol. 2010 Jul;63(1):71-8. doi: 10.1016/j.jaad.2009.07.027. Epub 2010 May 5.
5
Cutaneous adenoid cystic carcinoma with perineural invasion treated by mohs micrographic surgery-a case report with literature review.皮肤腺样囊性癌伴神经周围侵犯的 Mohs 显微外科手术治疗:附病例报告及文献复习。
J Oncol. 2010;2010:469049. doi: 10.1155/2010/469049. Epub 2010 Apr 7.
6
Primary cutaneous adenoid cystic carcinoma.原发性皮肤腺样囊性癌
J Am Acad Dermatol. 2008 Apr;58(4):636-41. doi: 10.1016/j.jaad.2007.12.005.
7
Prognostic factors affecting the clinical outcome of adenoid cystic carcinoma of the head and neck.影响头颈部腺样囊性癌临床结局的预后因素。
Jpn J Clin Oncol. 2007 Nov;37(11):805-11. doi: 10.1093/jjco/hym119.
8
Expression of KIT (CD117) in neoplasms of the head and neck: an ancillary marker for adenoid cystic carcinoma.KIT(CD117)在头颈部肿瘤中的表达:腺样囊性癌的辅助标志物
Mod Pathol. 2003 Dec;16(12):1224-31. doi: 10.1097/01.MP.0000096046.42833.C7.
9
[Eccrine sweat gland carcinoma of the skin].[皮肤小汗腺癌]
Pathologe. 2002 Jan;23(1):79-88. doi: 10.1007/s00292-001-0516-y.
10
Primary cutaneous adenoid cystic carcinoma with lymph node metastasis.原发性皮肤腺样囊性癌伴淋巴结转移。
Am J Dermatopathol. 1998 Dec;20(6):571-7. doi: 10.1097/00000372-199812000-00005.