Suppr超能文献

原发性右心房血管肉瘤的快速发展

Rapid Development of Primary Right Atrial Angiosarcoma.

作者信息

Talbot Sophie, Bandaru Vishal, Nguyen Tung, Arif Dauod, Sethi Pooja

机构信息

Cardiology, Texas Tech University Health Sciences Center, Lubbock, USA.

Pathology, Texas Tech University Health Sciences Center, Lubbock, USA.

出版信息

Cureus. 2024 Jul 10;16(7):e64273. doi: 10.7759/cureus.64273. eCollection 2024 Jul.

Abstract

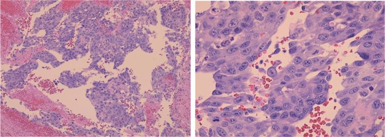
Cardiac angiosarcomas are rare and generally followed by a high level of metastasis with poor median survival outcomes. Echocardiograms, CT scans, and MRIs are the standard methods for finding sites of cardiac tumors; however, immunohistochemical confirmation is necessary for a definitive diagnosis of angiosarcoma. A 58-year-old male presented to the emergency room with one week of dyspnea on moderate exertion accompanied by chest pain and alleviated with rest. A workup done to evaluate mass found a single 5 x 3.5 x 4.8 cm mass heavily vascularized by the right coronary artery and left circumflex involving the free wall of the right atrium with no extension to the tricuspid valve. Surgical resection was performed, and immunohistochemistry was consistent with a primary cardiac angiosarcoma. An exudative fluid analysis on pericardial and pleural fluid analysis may warrant screening for malignancy more frequently in concurrence with a patient's history and presentation. Although the time from onset of symptoms to diagnosis of cardiac angiosarcoma is not well established, further investigation of such correlation may offer insight into survival post-treatment.

摘要

心脏血管肉瘤较为罕见,通常伴有高转移率,中位生存结果较差。超声心动图、CT扫描和MRI是发现心脏肿瘤部位的标准方法;然而,血管肉瘤的明确诊断需要免疫组化确认。一名58岁男性因中度运动时呼吸困难一周伴胸痛且休息后缓解而就诊于急诊室。为评估肿块所做的检查发现一个5×3.5×4.8厘米的肿块,由右冠状动脉和左旋支大量供血,累及右心房游离壁,未延伸至三尖瓣。进行了手术切除,免疫组化结果符合原发性心脏血管肉瘤。根据患者的病史和表现,心包和胸腔积液的渗出液分析可能需要更频繁地筛查恶性肿瘤。尽管从症状出现到诊断心脏血管肉瘤的时间尚不明确,但对这种相关性的进一步研究可能有助于了解治疗后的生存情况。

https://cdn.ncbi.nlm.nih.gov/pmc/blobs/ced6/11315593/93fff308ed5d/cureus-0016-00000064273-i01.jpg

文献检索

告别复杂PubMed语法,用中文像聊天一样搜索,搜遍4000万医学文献。AI智能推荐,让科研检索更轻松。

立即免费搜索

文件翻译

保留排版,准确专业,支持PDF/Word/PPT等文件格式,支持 12+语言互译。

免费翻译文档

深度研究

AI帮你快速写综述,25分钟生成高质量综述,智能提取关键信息,辅助科研写作。

立即免费体验