Suppr超能文献

神经纤维瘤病 1 型患者眼球摘除术后的病理发现:15 年随访病例报告及文献中 14 例患者的回顾。

Pathological findings in enucleated eyes of patients with neurofibromatosis type 1: report of a case with 15-year follow-up and review of 14 patients in the literature.

机构信息

Graduate School of Interdisciplinary Science and Engineering in Health Systems, Okayama University, Okayama City, 700-8558, Japan.

Department of Ophthalmology, Okayama University Hospital, Okayama City, 700-8558, Japan.

出版信息

BMC Ophthalmol. 2024 Aug 13;24(1):341. doi: 10.1186/s12886-024-03604-5.

Abstract

BACKGROUNDS

Iris nodules are frequently noted as clinical manifestations of neurofibromatosis type 1 but the other intraocular manifestations are rare. The purpose of this study is to present a patient with a phthisic eye who underwent enucleation for a cosmetic reason after 15-year follow-up and also to review 14 patients with enucleation described in the literature.

CASE PRESENTATION

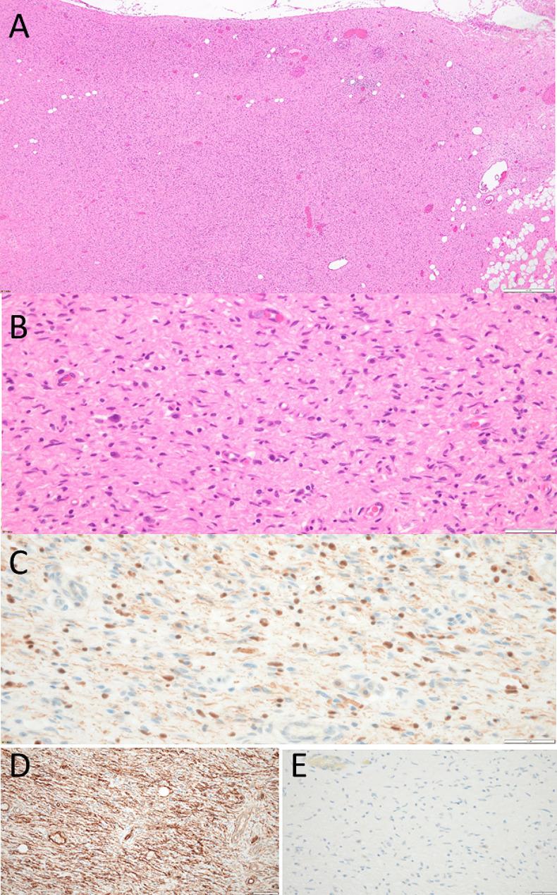
A 17-year-old man with neurofibromatosis type 1 from infancy underwent the enucleation of phthisic left eye and also had the resection of eyelid subcutaneous mass lesions on the left side for a cosmetic reason. He had undergone four-time preceding surgeries for eyelid and orbital mass reduction on the left side in childhood and had developed total retinal detachment 10 years previously. Pathologically, the enucleated eye showed massive retinal gliosis positive for both S-100 and glial fibrillary acidic protein (GFAP) in the area with involvement of the detached retinal neuronal layer, together with a more fibrotic lesion along the choroid which were, in contrast, negative for both S-100 and GFAP. The choroid, ciliary body, and iris did not show apparent neurofibroma while episcleral neurofibroma was present.

LITERATURE REVIEW

In review of enucleated eyes of 14 patients in the literature, buphthalmic eyes with early-onset glaucoma on the unilateral side was clinically diagnosed in 9 patients who frequently showed varying extent of hemifacial neurofibromatosis which involved the eyelid and orbit on the same side. Pathologically, neurofibromas in varying extent were found in the choroid of 12 patients. One patient showed choroidal malignant melanoma on the left side and fusiform enlargement of the optic nerve on the right side suspected of optic nerve glioma. The phthisic eye in another patient showed massive retinal gliosis similar to the present patient.

CONCLUSIONS

In summary of the 15 patients with neurofibromatosis type 1, including the present patient, buphthalmic or phthisic eyes with no vision were enucleated for cosmetic reasons and showed choroidal neurofibroma in most patients and massive retinal gliosis in two patients including the present patient.

摘要

背景

虹膜结节常作为神经纤维瘤病 1 型的临床表现,但其他眼内表现较为罕见。本研究的目的是报告 1 例 15 年随访后因美容原因行眼球摘除术的葡萄膜炎眼患者,并复习文献中描述的 14 例眼球摘除患者。

病例介绍

一名 17 岁男性,自幼患有神经纤维瘤病 1 型,因左眼葡萄膜炎行眼球摘除术,同时因左侧眼睑皮下肿块行切除术以改善外观。他在儿童时期曾因左侧眼睑和眼眶肿块进行了 4 次手术,并在 10 年前发生了全视网膜脱离。病理检查显示,被摘除的眼球在脱离的视网膜神经元层有大量视网膜神经胶质增生,S-100 和胶质纤维酸性蛋白(GFAP)均为阳性,同时沿着脉络膜有一个更纤维化的病变,S-100 和 GFAP 均为阴性。脉络膜、睫状体和虹膜未见明显神经纤维瘤,但存在巩膜神经纤维瘤。

文献复习

复习文献中 14 例眼球摘除患者,9 例单侧先天性青光眼的巨眼患者,常表现为同侧不同程度的半侧面部神经纤维瘤病,累及眼睑和眼眶。病理上,12 例患者的脉络膜有不同程度的神经纤维瘤。1 例患者左眼为脉络膜恶性黑色素瘤,右眼为梭形视神经增大,疑为视神经胶质瘤。另一位患者的患眼表现为与本患者相似的大量视网膜神经胶质增生。

结论

总结 15 例神经纤维瘤病 1 型患者,包括本患者,因美容原因行眼球摘除术的无视力巨眼或患眼,大多数患者有脉络膜神经纤维瘤,2 例患者(包括本患者)有大量视网膜神经胶质增生。

https://cdn.ncbi.nlm.nih.gov/pmc/blobs/8dff/11321082/23712bee56e5/12886_2024_3604_Fig1_HTML.jpg

文献检索

告别复杂PubMed语法,用中文像聊天一样搜索,搜遍4000万医学文献。AI智能推荐,让科研检索更轻松。

立即免费搜索

文件翻译

保留排版,准确专业,支持PDF/Word/PPT等文件格式,支持 12+语言互译。

免费翻译文档

深度研究

AI帮你快速写综述,25分钟生成高质量综述,智能提取关键信息,辅助科研写作。

立即免费体验