• 文献检索
  • 文档翻译
  • 深度研究
  • 学术资讯
  • Suppr Zotero 插件Zotero 插件
  • 邀请有礼
  • 套餐&价格
  • 历史记录
应用&插件
Suppr Zotero 插件Zotero 插件浏览器插件Mac 客户端Windows 客户端微信小程序
定价
高级版会员购买积分包购买API积分包
服务
文献检索文档翻译深度研究API 文档MCP 服务
关于我们
关于 Suppr公司介绍联系我们用户协议隐私条款
关注我们

Suppr 超能文献

核心技术专利:CN118964589B侵权必究
粤ICP备2023148730 号-1Suppr @ 2026

文献检索

告别复杂PubMed语法,用中文像聊天一样搜索,搜遍4000万医学文献。AI智能推荐,让科研检索更轻松。

立即免费搜索

文件翻译

保留排版,准确专业,支持PDF/Word/PPT等文件格式,支持 12+语言互译。

免费翻译文档

深度研究

AI帮你快速写综述,25分钟生成高质量综述,智能提取关键信息,辅助科研写作。

立即免费体验

一名患有左心发育不全综合征的晚期早产儿痉挛性双瘫型脑瘫病例报告。

A case report of spastic diplegic cerebral palsy in a late preterm child with hypoplastic left heart syndrome.

作者信息

Escapita Alexa C, Thomas Julienne G, Johnson Tara L

机构信息

Department of Neurobiology and Developmental Sciences, Graduate School, University of Arkansas for Medical Sciences, Little Rock, AR, USA.

Department of Pediatrics, College of Medicine, University of Arkansas for Medical Sciences, Little Rock, AR, USA.

出版信息

Transl Pediatr. 2024 Jul 31;13(7):1258-1265. doi: 10.21037/tp-24-57. Epub 2024 Jul 29.

DOI:10.21037/tp-24-57
PMID:39144425
原文链接:https://pmc.ncbi.nlm.nih.gov/articles/PMC11320016/
Abstract

BACKGROUND

Congenital heart disease (CHD) is the most common birth defect, affecting 1% of children who are born in the United States each year. Children with hypoplastic left heart syndrome, a type of critical CHD, are at high risk for neurodevelopmental disabilities, which are conditions that can affect motor, language, and cognitive development. In children with critical CHD, the severity and prevalence of their motor delays is most pronounced in infancy.

CASE DESCRIPTION

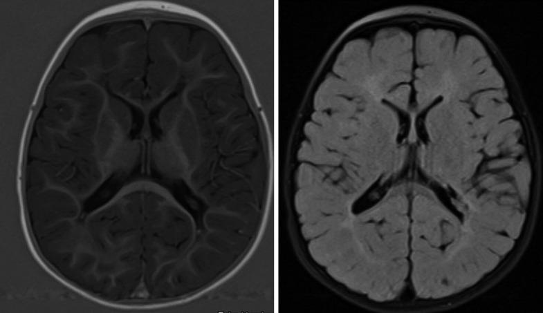
We present a case of a former late preterm male with hypoplastic left heart syndrome and history of hypoxic ischemic encephalopathy, who was diagnosed with spastic diplegic cerebral palsy in the setting of periventricular leukomalacia. Like many children with critical CHD, this child had gross motor delays and tone abnormalities in infancy. However, unlike many children with CHD, he continued to have neurologic differences that prompted additional evaluation through a Cardiac Neurodevelopmental Program. He was diagnosed with spastic diplegic cerebral palsy based upon clinical history and physical examination. Ancillary testing showed periventricular leukomalacia on brain magnetic resonance imaging (MRI); this finding was consistent with his clinical diagnosis.

CONCLUSIONS

This is an interesting case report of spastic diplegic cerebral palsy in a late preterm infant with critical CHD. When making a diagnosis of cerebral palsy, it is important to consider the etiology of the motor impairment. Selective vulnerability may have played a factor in this child's condition. The most vulnerable part of the neonatal brain is the periventricular white matter; cerebral hypoxia can lead to periventricular leukomalacia. Children with CHD have brain dysmaturity beginning in-utero. Thus, it is possible that this child's brain dysmaturity may have increased his susceptibility to periventricular leukomalacia. Because most children with CHD have gross motor delays in infancy, it may be challenging to make a definitive diagnosis of cerebral palsy in an infant with critical CHD. Children with cerebral palsy have early motor delays that persist throughout life. It is the identification of persistent motor impairments through repeat evaluations that enabled this child's cerebral palsy diagnosis. This illustrates the importance of developmental surveillance in children with critical CHD.

摘要

背景

先天性心脏病(CHD)是最常见的出生缺陷,每年影响美国1%的新生儿。患有左心发育不全综合征(一种严重的CHD)的儿童有患神经发育障碍的高风险,这些疾病会影响运动、语言和认知发展。在患有严重CHD的儿童中,运动发育迟缓的严重程度和患病率在婴儿期最为明显。

病例描述

我们报告一例 former late preterm 男性患儿,患有左心发育不全综合征且有缺氧缺血性脑病病史,在脑室周围白质软化的情况下被诊断为痉挛性双瘫型脑瘫。和许多患有严重CHD的儿童一样,该患儿在婴儿期有粗大运动发育迟缓及肌张力异常。然而,与许多CHD患儿不同的是,他持续存在神经方面的差异,促使通过心脏神经发育项目进行进一步评估。根据临床病史和体格检查,他被诊断为痉挛性双瘫型脑瘫。辅助检查显示脑磁共振成像(MRI)有脑室周围白质软化;这一发现与他的临床诊断相符。

结论

这是一例关于患有严重CHD的晚期早产儿痉挛性双瘫型脑瘫的有趣病例报告。在诊断脑瘫时,考虑运动障碍的病因很重要。选择性易损性可能在该患儿病情中起了作用。新生儿脑最易受损的部分是脑室周围白质;脑缺氧可导致脑室周围白质软化。患有CHD的儿童在子宫内就开始出现脑发育不成熟。因此,该患儿脑发育不成熟可能增加了他对脑室周围白质软化的易感性。由于大多数患有CHD的儿童在婴儿期有粗大运动发育迟缓,在患有严重CHD的婴儿中明确诊断脑瘫可能具有挑战性。患有脑瘫的儿童早期运动发育迟缓会持续一生。正是通过重复评估识别出持续的运动障碍才得以诊断该患儿的脑瘫。这说明了对患有严重CHD的儿童进行发育监测的重要性。

https://cdn.ncbi.nlm.nih.gov/pmc/blobs/5260/11320016/61086a7298a4/tp-13-07-1258-f2.jpg
https://cdn.ncbi.nlm.nih.gov/pmc/blobs/5260/11320016/4932e890bd13/tp-13-07-1258-f1.jpg
https://cdn.ncbi.nlm.nih.gov/pmc/blobs/5260/11320016/61086a7298a4/tp-13-07-1258-f2.jpg
https://cdn.ncbi.nlm.nih.gov/pmc/blobs/5260/11320016/4932e890bd13/tp-13-07-1258-f1.jpg
https://cdn.ncbi.nlm.nih.gov/pmc/blobs/5260/11320016/61086a7298a4/tp-13-07-1258-f2.jpg

相似文献

1
A case report of spastic diplegic cerebral palsy in a late preterm child with hypoplastic left heart syndrome.一名患有左心发育不全综合征的晚期早产儿痉挛性双瘫型脑瘫病例报告。
Transl Pediatr. 2024 Jul 31;13(7):1258-1265. doi: 10.21037/tp-24-57. Epub 2024 Jul 29.
2
The Neurological Outcome of Isolated PVL and Severe IVH in Preterm Infants: Is It Fair to Compare?早产儿孤立性脑室周围白质软化症和重度脑室内出血的神经学转归:进行比较是否合理?
Pediatr Neurol. 2015 Nov;53(5):427-33. doi: 10.1016/j.pediatrneurol.2015.04.004. Epub 2015 May 22.
3
Cognitive profiles and visuoperceptual abilities in preterm and term spastic diplegic children with periventricular leukomalacia.患有脑室周围白质软化症的早产和足月痉挛性双瘫儿童的认知特征和视觉感知能力
J Child Neurol. 2007 Mar;22(3):282-8. doi: 10.1177/0883073807300529.
4
MRI features of cerebral lesions and cognitive functions in preterm spastic diplegic children.早产痉挛性双瘫患儿脑损伤的MRI特征及认知功能
Pediatr Neurol. 1996 Oct;15(3):207-12. doi: 10.1016/s0887-8994(96)00174-9.
5
A comparison of spastic diplegic and tetraplegic cerebral palsy.痉挛性双瘫与四肢瘫型脑瘫的比较。
Pediatr Neurol. 2005 May;32(5):311-7. doi: 10.1016/j.pediatrneurol.2005.01.006.
6
Cross-sectional comparison of periventricular leukomalacia in preterm and term children.早产儿与足月儿脑室内出血性脑白质软化症的对比研究。
Neurology. 2010 Apr 27;74(17):1386-91. doi: 10.1212/WNL.0b013e3181dad62d.
7
Regional vulnerability of longitudinal cortical association connectivity: Associated with structural network topology alterations in preterm children with cerebral palsy.纵向皮质联合连接的区域易损性:与脑瘫早产儿的结构网络拓扑改变相关。
Neuroimage Clin. 2015 Sep 6;9:322-37. doi: 10.1016/j.nicl.2015.08.021. eCollection 2015.
8
Spastic cerebral palsy: clinical magnetic resonance imaging correlation of 129 children.痉挛型脑瘫:129例儿童的临床与磁共振成像相关性研究
J Child Neurol. 2007 Jan;22(1):8-14. doi: 10.1177/0883073807299953.
9
Early prediction of cerebral palsy after neonatal intensive care using motor development trajectories in infancy.使用婴儿期的运动发育轨迹对新生儿重症监护后的脑瘫进行早期预测。
Early Hum Dev. 2013 Oct;89(10):781-6. doi: 10.1016/j.earlhumdev.2013.06.004. Epub 2013 Jul 12.
10
Cerebral palsy in children: A clinical practice review.儿童脑瘫:临床实践综述。
Curr Probl Pediatr Adolesc Health Care. 2024 Nov;54(11):101673. doi: 10.1016/j.cppeds.2024.101673. Epub 2024 Aug 20.

引用本文的文献

1
The relationship between functional status and hematological parameters in children with spastic cerebral palsy: a retrospective cross-sectional study.痉挛型脑瘫患儿功能状态与血液学参数的关系:一项回顾性横断面研究。
Transl Pediatr. 2025 Jun 27;14(6):1087-1102. doi: 10.21037/tp-2024-564. Epub 2025 Jun 18.

本文引用的文献

1
Association of congenital heart disease and neurodevelopmental disorders: an observational and Mendelian randomization study.先天性心脏病与神经发育障碍的相关性:一项观察性和孟德尔随机化研究。
Ital J Pediatr. 2024 Apr 8;50(1):63. doi: 10.1186/s13052-024-01610-3.
2
Effects of Sociodemographic Factors on Access to and Outcomes in Congenital Heart Disease in the United States.社会人口因素对美国先天性心脏病就医机会及治疗结果的影响
J Cardiovasc Dev Dis. 2024 Feb 19;11(2):67. doi: 10.3390/jcdd11020067.
3
Neurodevelopmental Outcomes for Individuals With Congenital Heart Disease: Updates in Neuroprotection, Risk-Stratification, Evaluation, and Management: A Scientific Statement From the American Heart Association.
先天性心脏病患者的神经发育结局:神经保护、风险分层、评估和管理的最新进展:美国心脏协会的科学声明。
Circulation. 2024 Mar 26;149(13):e997-e1022. doi: 10.1161/CIR.0000000000001211. Epub 2024 Feb 22.
4
Neurodevelopmental Treatment in Children With Cerebral Palsy: A Review of the Literature.脑瘫患儿的神经发育治疗:文献综述
Cureus. 2023 Dec 12;15(12):e50389. doi: 10.7759/cureus.50389. eCollection 2023 Dec.
5
Neurodevelopmental outcome of low-risk moderate to late preterm infants at 18 months.低风险中晚期早产儿18个月时的神经发育结局
Front Pediatr. 2023 Nov 30;11:1256872. doi: 10.3389/fped.2023.1256872. eCollection 2023.
6
Perioperative Brain Injury in Relation to Early Neurodevelopment Among Children with Severe Congenital Heart Disease: Results from a European Collaboration.严重先天性心脏病儿童围手术期脑损伤与早期神经发育的关系:来自欧洲合作的结果。
J Pediatr. 2024 Mar;266:113838. doi: 10.1016/j.jpeds.2023.113838. Epub 2023 Nov 22.
7
Hypoplastic Left Heart Syndrome: Signaling & Molecular Perspectives, and the Road Ahead.左心发育不良综合征:信号与分子视角,以及未来之路。
Int J Mol Sci. 2023 Oct 17;24(20):15249. doi: 10.3390/ijms242015249.
8
Incidence and types of congenital heart disease at a referral hospital in Jordan: retrospective study from a tertiary center.约旦一家转诊医院先天性心脏病的发病率及类型:来自三级医疗中心的回顾性研究
Front Pediatr. 2023 Sep 15;11:1261130. doi: 10.3389/fped.2023.1261130. eCollection 2023.
9
A systematic review of early motor interventions for infants with congenital heart disease and open-heart surgery.先天性心脏病及心脏直视手术后婴儿早期运动干预的系统评价。
Syst Rev. 2023 Aug 25;12(1):149. doi: 10.1186/s13643-023-02320-3.
10
Clinical characteristics and long-term neurodevelopmental outcomes of leukomalacia in preterm infants and term infants: a cohort study.早产儿和足月儿脑白质软化的临床特征及长期神经发育结局:一项队列研究。
J Neurodev Disord. 2023 Aug 7;15(1):24. doi: 10.1186/s11689-023-09489-7.