Suppr超能文献

白血病起始突变干细胞劫持典型先天免疫机制以在Ptpn11相关幼年型粒单核细胞白血病中获得选择性优势并逃避免疫。

Prototypical innate immune mechanism hijacked by leukemia-initiating mutant stem cells for selective advantage and immune evasion in Ptpn11-associated juvenile myelomonocytic leukemia.

作者信息

Zheng Hong, Zhao Peng, Tan Zhenya, Yu Wen-Mei, Werner Juwita, Stieglitz Elliot, Porter Chris, Chandrakasan Shanmuganathan, Wechsler Daniel, Mendez-Ferrer Simon, Qu Cheng-Kui

机构信息

Department of Pediatrics, Aflac Cancer & Blood Disorders Center, Winship Cancer Institute, Children's Healthcare of Atlanta, Emory University School of Medicine, Atlanta, USA; Department of Pathophysiology, Anhui Medical University, Hefei, China.

Department of Pediatrics, Aflac Cancer & Blood Disorders Center, Winship Cancer Institute, Children's Healthcare of Atlanta, Emory University School of Medicine, Atlanta, USA.

出版信息

Res Sq. 2024 Aug 2:rs.3.rs-4450642. doi: 10.21203/rs.3.rs-4450642/v1.

Abstract

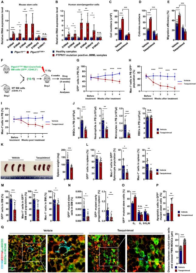
Juvenile myelomonocytic leukemia (JMML), a clonal hematologic malignancy, originates from mutated hematopoietic stem cells (HSCs). The mechanism sustaining the persistence of mutant stem cells, leading to leukemia development, remains elusive. In this study, we conducted comprehensive examination of gene expression profiles, transcriptional factor regulons, and cell compositions/interactions throughout various stages of tumor cell development in Ptpn11 mutation-associated JMML. Our analyses revealed that leukemia-initiating mutant stem cells exhibited activation of the myeloid transcriptional program and aberrant developmental trajectories. These mutant stem cells displayed significantly elevated expression of innate immunity-associated anti-microbial peptides and pro-inflammatory proteins, particularly and . Biological experiments confirmed that S100a9/S100a8 conferred a selective advantage to the leukemia-initiating cells through autocrine effects and facilitated immune evasion by recruiting and promoting immune suppressive myeloid-derived suppressor cells (MDSCs) in the microenvironment. Importantly, pharmacological inhibition of S100a9/S100a8 signaling effectively impeded leukemia development from mutant stem cells. These findings collectively suggest that JMML tumor-initiating cells exploit evolutionarily conserved innate immune and inflammatory mechanisms to establish clonal dominance.

摘要

青少年髓单核细胞白血病(JMML)是一种克隆性血液系统恶性肿瘤,起源于突变的造血干细胞(HSC)。导致白血病发生的突变干细胞持续存在的机制仍不清楚。在本研究中,我们对Ptpn11突变相关JMML肿瘤细胞发育各阶段的基因表达谱、转录因子调控子以及细胞组成/相互作用进行了全面检测。我们的分析表明,白血病起始突变干细胞表现出髓系转录程序的激活和异常的发育轨迹。这些突变干细胞显著上调了与固有免疫相关的抗菌肽和促炎蛋白的表达,尤其是S100a9和S100a8。生物学实验证实,S100a9/S100a8通过自分泌作用赋予白血病起始细胞选择性优势,并通过招募和促进微环境中免疫抑制性髓源性抑制细胞(MDSC)来促进免疫逃逸。重要的是,对S100a9/S100a8信号通路的药理学抑制有效阻碍了突变干细胞引发的白血病发展。这些发现共同表明,JMML肿瘤起始细胞利用进化上保守的固有免疫和炎症机制来建立克隆优势。

https://cdn.ncbi.nlm.nih.gov/pmc/blobs/8a6d/11326406/fc01511f541e/nihpp-rs4450642v1-f0001.jpg

文献检索

告别复杂PubMed语法,用中文像聊天一样搜索,搜遍4000万医学文献。AI智能推荐,让科研检索更轻松。

立即免费搜索

文件翻译

保留排版,准确专业,支持PDF/Word/PPT等文件格式,支持 12+语言互译。

免费翻译文档

深度研究

AI帮你快速写综述,25分钟生成高质量综述,智能提取关键信息,辅助科研写作。

立即免费体验