Suppr超能文献

使用内部直接打印的透明矫治器进行II类错颌畸形和牙列拥挤矫治:文献综述与病例报告

Class II Correction and Crowding Treatment Using In-House Direct Printed Clear Aligners: A Literature Review and Case Report.

作者信息

Viet Hoang, Lam Tran Hung, Phuc Nguyen Ngoc, Ngoc Lenh Nguyen, Thao Dang Thi Nhu

机构信息

Orthodontics, Sai Gon Dental Hospital, Ho Chi Minh, VNM.

Prosthodontics, Van Lang University, Ho Chi Minh, VNM.

出版信息

Cureus. 2024 Jul 21;16(7):e65024. doi: 10.7759/cureus.65024. eCollection 2024 Jul.

Abstract

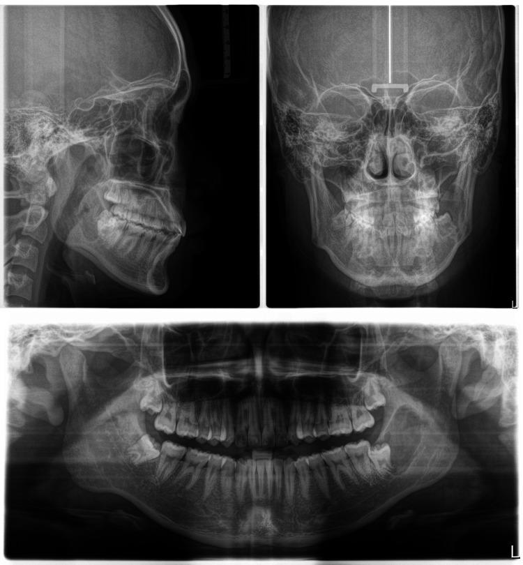
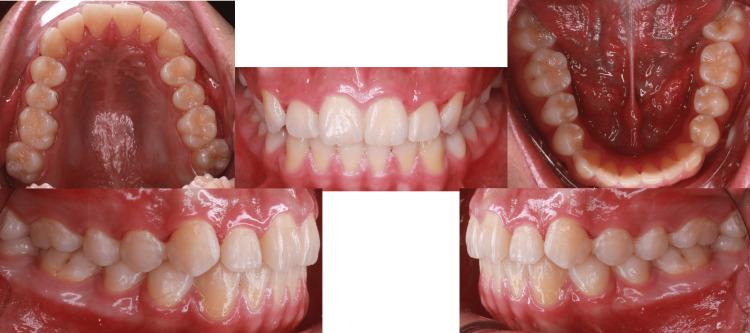
Clear aligner therapy has significantly improved orthodontic treatment by offering patients a more aesthetically pleasing option compared to traditional braces. This literature review and case report specifically focus on the effectiveness of directly printed clear aligners in treating Class II malocclusions and crowding. Class II malocclusions are characterized by excessive overjet, which often results from skeletal or dental discrepancies between the upper and lower jaws. Crowding refers to the lack of space for teeth within the dental arch, leading to misalignment and potential functional issues. The review and case report highlight the increasing importance of directly printed clear aligners in modern orthodontics and provide clinicians with a valuable tool to effectively address complex malocclusions and crowding while also meeting patient needs for discretion and comfort. Further research is necessary to validate the long-term stability and outcomes of directly printed clear aligner therapy in various orthodontic cases. A detailed case report demonstrates the successful treatment of a patient with Class II malocclusion and mild crowding using directly printed clear aligners. Treatment outcomes include improvements in dental alignment, occlusion, and facial aesthetics, showcasing the effectiveness of this innovative approach.

摘要

与传统牙套相比,隐形矫治器疗法为患者提供了更美观的选择,显著改善了正畸治疗。这篇文献综述和病例报告特别关注直接打印的隐形矫治器在治疗II类错颌畸形和牙列拥挤方面的有效性。II类错颌畸形的特征是覆盖过大,这通常是由于上下颌之间的骨骼或牙齿差异所致。牙列拥挤是指牙弓内牙齿缺乏空间,导致牙齿排列不齐和潜在的功能问题。该综述和病例报告强调了直接打印的隐形矫治器在现代正畸学中日益重要的地位,并为临床医生提供了一种有价值的工具,既能有效解决复杂的错颌畸形和牙列拥挤问题,又能满足患者对美观和舒适的需求。有必要进行进一步的研究,以验证直接打印的隐形矫治器疗法在各种正畸病例中的长期稳定性和治疗效果。一份详细的病例报告展示了使用直接打印的隐形矫治器成功治疗一名II类错颌畸形和轻度牙列拥挤患者的过程。治疗结果包括牙齿排列、咬合和面部美观的改善,展示了这种创新方法的有效性。

https://cdn.ncbi.nlm.nih.gov/pmc/blobs/c4c8/11333988/7bfe17b3feab/cureus-0016-00000065024-i01.jpg

文献检索

告别复杂PubMed语法,用中文像聊天一样搜索,搜遍4000万医学文献。AI智能推荐,让科研检索更轻松。

立即免费搜索

文件翻译

保留排版,准确专业,支持PDF/Word/PPT等文件格式,支持 12+语言互译。

免费翻译文档

深度研究

AI帮你快速写综述,25分钟生成高质量综述,智能提取关键信息,辅助科研写作。

立即免费体验