Suppr超能文献

在透明矫治器治疗中使用高效附着方案进行远中移动——病例报告

Distalization using efficient attachment protocol in clear aligner therapy-A case report.

作者信息

Sabouni Waddah, Muthuswamy Pandian Srirengalakshmi, Vaid Nikhilesh R, Adel Samar M

机构信息

Private Practice, Invisalign Centre Dubai United Arab Emirates.

Department of Orthodontics Saveetha Dental College, Saveetha Institute of Medical and Technical Sciences Chennai Tamil Nadu India.

出版信息

Clin Case Rep. 2023 Jan 20;11(1):e6854. doi: 10.1002/ccr3.6854. eCollection 2023 Jan.

Abstract

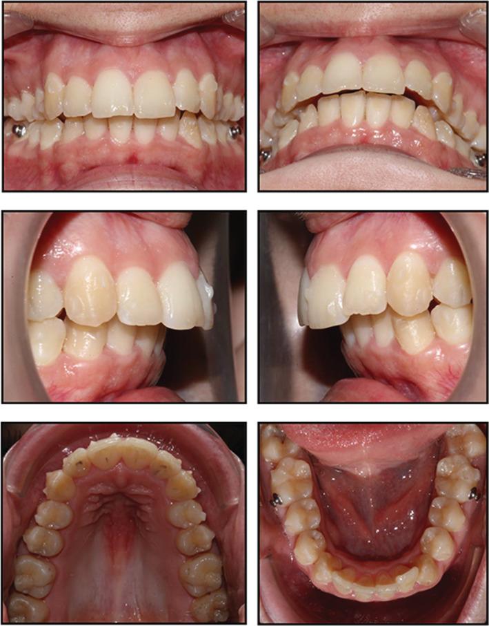
To describe an esthetic orthodontic treatment using aligners in an adult patient with dental class II malocclusion associated with crowding. A 25-year-old female patient with skeletal class I, bilateral class II relation, increased overjet and overbite and crowding in both arches presented for orthodontic treatment. The patient refused conventional fixed multibracket treatment in favor of aligners. Pre- and post-treatment records are presented. Treatment objectives were achieved in 10 months, and the patient was satisfied with the functional and esthetic outcomes. Combining aligners with appropriate attachment location and geometry is an efficacious means of resolving orthodontic issues such as class II malocclusion in a time frame comparable to that of conventional fixed orthodontics. Staging in distalization increases the predictability of movement. Furthermore, this system is associated with optimal oral hygiene and excellent esthetics.

摘要

描述在一名患有伴有牙列拥挤的安氏II类错牙合的成年患者中使用隐形矫治器进行的美学正畸治疗。一名25岁女性患者,骨骼I类,双侧安氏II类关系,覆盖和覆牙合增加,上下牙弓均有拥挤,前来接受正畸治疗。患者拒绝传统的固定多托槽治疗而选择隐形矫治器。展示了治疗前和治疗后的记录。在10个月内实现了治疗目标,患者对功能和美学效果感到满意。将隐形矫治器与合适的附件位置和几何形状相结合,是在与传统固定正畸相当的时间范围内解决诸如安氏II类错牙合等正畸问题的有效方法。远中移动分阶段进行可提高移动的可预测性。此外,该系统有助于保持最佳的口腔卫生并具有出色的美学效果。

https://cdn.ncbi.nlm.nih.gov/pmc/blobs/312f/9860201/1064dded7906/CCR3-11-e6854-g004.jpg

文献AI研究员

20分钟写一篇综述,助力文献阅读效率提升50倍。

立即体验

用中文搜PubMed

大模型驱动的PubMed中文搜索引擎

马上搜索

文档翻译

学术文献翻译模型,支持多种主流文档格式。

立即体验