Suppr超能文献

脂质代谢酶 ECI2 可减少中性粒细胞胞外诱捕网的形成,从而抑制结直肠癌。

The lipid-metabolism enzyme ECI2 reduces neutrophil extracellular traps formation for colorectal cancer suppression.

机构信息

Department of Pathology, Nanfang Hospital, Southern Medical University, Guangzhou, China.

Department of Pathology, School of Basic Medical Sciences, Southern Medical University, Guangzhou, China.

出版信息

Nat Commun. 2024 Aug 21;15(1):7184. doi: 10.1038/s41467-024-51489-1.

Abstract

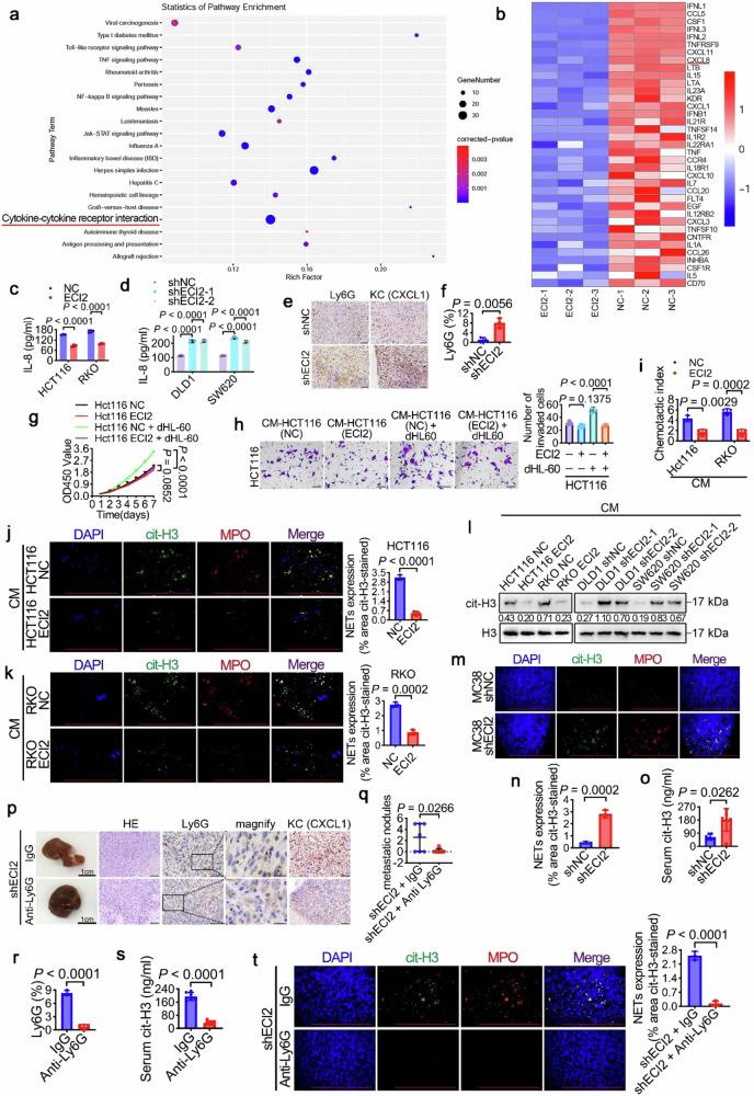
Abnormalities in ether lipid metabolism as well as the formation of neutrophil extracellular traps have recently been recognized as detrimental factors affecting tumorigenesis and progression. However, the role of abnormal ether lipid metabolism in colorectal cancer (CRC) evolution has not been reported. Here we show that the lipid metabolism-related gene enoyl-CoA δ-isomerase 2 (ECI2) plays a tumor-suppressor role in CRC and is negatively associated with poor prognosis in CRC patients. We mechanistically demonstrate that ECI2 reduces ether lipid-mediated Interleukin 8 (IL-8) expression leading to decreased neutrophil recruitment and neutrophil extracellular traps formation for colorectal cancer suppression. In particular, ECI2 inhibits ether lipid production in CRC cells by inhibiting the peroxisomal localization of alkylglycerone phosphate synthase (AGPS), the rate-limiting enzyme for ether lipid synthesis. These findings not only deepen our understanding of the role of metabolic reprogramming and neutrophil interactions in the progression of CRC, but also provide ideas for identifying potential diagnostic markers and therapeutic targets for CRC.

摘要

异常的醚脂代谢以及中性粒细胞胞外诱捕网的形成最近被认为是影响肿瘤发生和进展的有害因素。然而,异常醚脂代谢在结直肠癌(CRC)演变中的作用尚未报道。在这里,我们表明脂质代谢相关基因烯酰基辅酶 A δ-异构酶 2(ECI2)在 CRC 中发挥肿瘤抑制作用,并且与 CRC 患者的预后不良呈负相关。我们从机制上证明,ECI2 通过降低白细胞介素 8(IL-8)的表达来减少醚脂介导的作用,从而减少中性粒细胞的募集和中性粒细胞胞外诱捕网的形成,从而抑制结直肠癌细胞的生长。特别是,ECI2 通过抑制醚脂质合成的限速酶烷基甘油磷酸合酶(AGPS)的过氧化物酶体定位来抑制 CRC 细胞中的醚脂质生成。这些发现不仅加深了我们对代谢重编程和中性粒细胞相互作用在 CRC 进展中的作用的理解,而且为确定 CRC 的潜在诊断标志物和治疗靶点提供了思路。

https://cdn.ncbi.nlm.nih.gov/pmc/blobs/7dde/11339366/d63ed4e57ef2/41467_2024_51489_Fig1_HTML.jpg

文献AI研究员

20分钟写一篇综述,助力文献阅读效率提升50倍。

立即体验

用中文搜PubMed

大模型驱动的PubMed中文搜索引擎

马上搜索

文档翻译

学术文献翻译模型,支持多种主流文档格式。

立即体验