• 文献检索
  • 文档翻译
  • 深度研究
  • 学术资讯
  • Suppr Zotero 插件Zotero 插件
  • 邀请有礼
  • 套餐&价格
  • 历史记录
应用&插件
Suppr Zotero 插件Zotero 插件浏览器插件Mac 客户端Windows 客户端微信小程序
定价
高级版会员购买积分包购买API积分包
服务
文献检索文档翻译深度研究API 文档MCP 服务
关于我们
关于 Suppr公司介绍联系我们用户协议隐私条款
关注我们

Suppr 超能文献

核心技术专利:CN118964589B侵权必究
粤ICP备2023148730 号-1Suppr @ 2026

文献检索

告别复杂PubMed语法,用中文像聊天一样搜索,搜遍4000万医学文献。AI智能推荐,让科研检索更轻松。

立即免费搜索

文件翻译

保留排版,准确专业,支持PDF/Word/PPT等文件格式,支持 12+语言互译。

免费翻译文档

深度研究

AI帮你快速写综述,25分钟生成高质量综述,智能提取关键信息,辅助科研写作。

立即免费体验

非行走型脑瘫青少年拇囊炎的管理:一项回顾性队列研究

Management of Dorsal Bunion in Nonambulatory Adolescents with Cerebral Palsy: A Retrospective Cohort Study.

作者信息

Van de Velde Samuel K, Graham H Kerr, Ye Ken, Chambers Henry, Rutz Erich

机构信息

Columbia University Medical Center, New York, NY.

The Royal Children's Hospital, Parkville, Victoria, Australia.

出版信息

J Bone Joint Surg Am. 2024 Dec 18;106(24):e49. doi: 10.2106/JBJS.24.00092. Epub 2024 Aug 22.

DOI:10.2106/JBJS.24.00092
PMID:39172874
原文链接:https://pmc.ncbi.nlm.nih.gov/articles/PMC11637575/
Abstract

BACKGROUND

A dorsal bunion may occur in nonambulatory adolescents with cerebral palsy (CP) and a Gross Motor Function Classification System (GMFCS) level of IV or V. The deformity can cause pain, skin breakdown, and difficulty wearing shoes and braces. A consensus on the biomechanics and surgical management of dorsal bunions in persons with severe CP has not been established.

METHODS

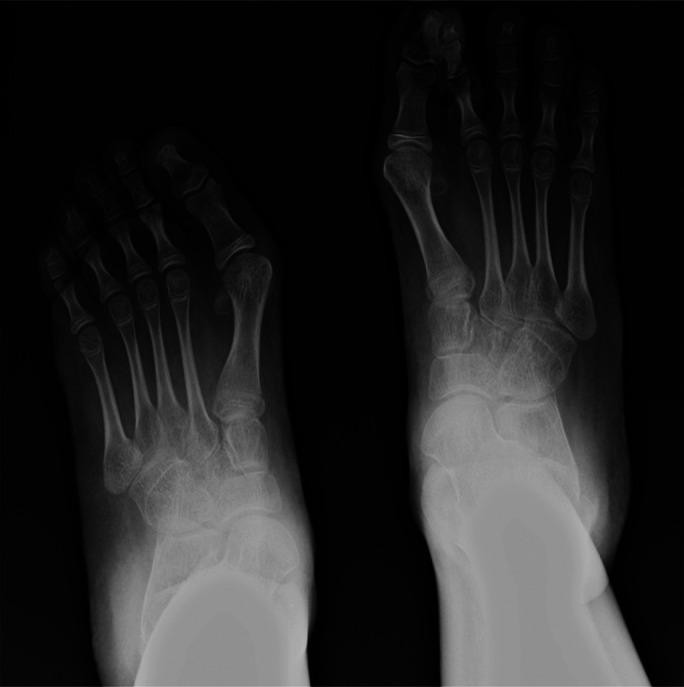
This retrospective cohort study included 23 nonambulatory adolescents with CP, GMFCS level IV or V, and symptomatic dorsal bunions requiring surgery. The median age at surgery was 17 years, and the median follow-up was 56 months. Reconstructive surgery included the excision of a 2 to 3-cm segment of the tibialis anterior tendon to correct the elevation of the first metatarsal. The fixed deformity of the first metatarsophalangeal joint was managed with use of corrective arthrodesis and dorsal plate fixation. Clinical and radiographic outcomes were assessed preoperatively and postoperatively at the transition to adult services.

RESULTS

There were significant improvements in the clinical and radiographic outcome measures (p < 0.001). Pain was relieved, and there were no further episodes of skin breakdown. The elevation of the first metatarsal was corrected from a mean of 3° of dorsiflexion to a mean of 19° of plantar flexion. The deformity of the first metatarsophalangeal joint was corrected from a mean of 55° of plantar flexion to a mean of 21° of dorsiflexion. Six patients had complications, all of which were grade I or II according to the modified Clavien-Dindo system.

CONCLUSIONS

The surgical reconstruction of a dorsal bunion via soft-tissue rebalancing of the first ray and corrective arthrodesis of the first metatarsophalangeal joint resulted in favorable medium-term clinical and radiographic outcomes in nonambulatory adolescents with CP.

LEVEL OF EVIDENCE

Therapeutic Level IV . See Instructions for Authors for a complete description of levels of evidence.

摘要

背景

拇背囊肿可能发生在非行走型脑瘫(CP)青少年中,且其粗大运动功能分类系统(GMFCS)为IV级或V级。该畸形可导致疼痛、皮肤破损以及穿鞋和佩戴支具困难。对于重度CP患者拇背囊肿的生物力学和手术治疗尚未达成共识。

方法

这项回顾性队列研究纳入了23例非行走型CP青少年,GMFCS为IV级或V级,且有症状性拇背囊肿需要手术治疗。手术时的中位年龄为17岁,中位随访时间为56个月。重建手术包括切除2至3厘米长的胫前肌腱段以纠正第一跖骨抬高。第一跖趾关节的固定畸形采用矫正关节融合术和背侧钢板固定进行处理。在向成人服务过渡时,于术前和术后评估临床和影像学结果。

结果

临床和影像学结果指标有显著改善(p < 0.001)。疼痛缓解,且未再出现皮肤破损情况。第一跖骨抬高从平均背屈3°矫正至平均跖屈19°。第一跖趾关节畸形从平均跖屈55°矫正至平均背屈21°。6例患者出现并发症,根据改良Clavien-Dindo系统,所有并发症均为I级或II级。

结论

通过第一跖骨软组织平衡和第一跖趾关节矫正关节融合术对拇背囊肿进行手术重建,在非行走型CP青少年中取得了良好的中期临床和影像学结果。

证据水平

治疗性IV级。有关证据水平的完整描述,请参阅作者须知。

https://cdn.ncbi.nlm.nih.gov/pmc/blobs/9e26/11637575/f5fbcfce9c79/jbjsam-106-e49-g010.jpg
https://cdn.ncbi.nlm.nih.gov/pmc/blobs/9e26/11637575/9265ff7d79e9/jbjsam-106-e49-g001.jpg
https://cdn.ncbi.nlm.nih.gov/pmc/blobs/9e26/11637575/ea92211dbcc9/jbjsam-106-e49-g002.jpg
https://cdn.ncbi.nlm.nih.gov/pmc/blobs/9e26/11637575/5160456db29e/jbjsam-106-e49-g003.jpg
https://cdn.ncbi.nlm.nih.gov/pmc/blobs/9e26/11637575/ad4c1adc53a2/jbjsam-106-e49-g004.jpg
https://cdn.ncbi.nlm.nih.gov/pmc/blobs/9e26/11637575/8de3ab59ec34/jbjsam-106-e49-g005.jpg
https://cdn.ncbi.nlm.nih.gov/pmc/blobs/9e26/11637575/4b4108cd6e4e/jbjsam-106-e49-g006.jpg
https://cdn.ncbi.nlm.nih.gov/pmc/blobs/9e26/11637575/bdf4364a4dd0/jbjsam-106-e49-g007.jpg
https://cdn.ncbi.nlm.nih.gov/pmc/blobs/9e26/11637575/aa1040588779/jbjsam-106-e49-g008.jpg
https://cdn.ncbi.nlm.nih.gov/pmc/blobs/9e26/11637575/ad0e0334c550/jbjsam-106-e49-g009.jpg
https://cdn.ncbi.nlm.nih.gov/pmc/blobs/9e26/11637575/f5fbcfce9c79/jbjsam-106-e49-g010.jpg
https://cdn.ncbi.nlm.nih.gov/pmc/blobs/9e26/11637575/9265ff7d79e9/jbjsam-106-e49-g001.jpg
https://cdn.ncbi.nlm.nih.gov/pmc/blobs/9e26/11637575/ea92211dbcc9/jbjsam-106-e49-g002.jpg
https://cdn.ncbi.nlm.nih.gov/pmc/blobs/9e26/11637575/5160456db29e/jbjsam-106-e49-g003.jpg
https://cdn.ncbi.nlm.nih.gov/pmc/blobs/9e26/11637575/ad4c1adc53a2/jbjsam-106-e49-g004.jpg
https://cdn.ncbi.nlm.nih.gov/pmc/blobs/9e26/11637575/8de3ab59ec34/jbjsam-106-e49-g005.jpg
https://cdn.ncbi.nlm.nih.gov/pmc/blobs/9e26/11637575/4b4108cd6e4e/jbjsam-106-e49-g006.jpg
https://cdn.ncbi.nlm.nih.gov/pmc/blobs/9e26/11637575/bdf4364a4dd0/jbjsam-106-e49-g007.jpg
https://cdn.ncbi.nlm.nih.gov/pmc/blobs/9e26/11637575/aa1040588779/jbjsam-106-e49-g008.jpg
https://cdn.ncbi.nlm.nih.gov/pmc/blobs/9e26/11637575/ad0e0334c550/jbjsam-106-e49-g009.jpg
https://cdn.ncbi.nlm.nih.gov/pmc/blobs/9e26/11637575/f5fbcfce9c79/jbjsam-106-e49-g010.jpg

相似文献

1
Management of Dorsal Bunion in Nonambulatory Adolescents with Cerebral Palsy: A Retrospective Cohort Study.非行走型脑瘫青少年拇囊炎的管理:一项回顾性队列研究
J Bone Joint Surg Am. 2024 Dec 18;106(24):e49. doi: 10.2106/JBJS.24.00092. Epub 2024 Aug 22.
2
Symptomatic hallux valgus and dorsal bunion in adolescents with cerebral palsy: clinical and biomechanical factors.青少年脑瘫患者的拇囊炎和背侧囊炎:临床与生物力学因素
Dev Med Child Neurol. 2018 Jun;60(6):624-628. doi: 10.1111/dmcn.13724. Epub 2018 Mar 8.
3
Arthrodesis of the first metatarsophalangeal joint for severe hallux valgus in adolescents with cerebral palsy: A retrospective comparison study of three surgical techniques.青少年脑瘫患者重度拇外翻的第一跖趾关节融合术:三种手术技术的回顾性比较研究
J Child Orthop. 2023 Oct 5;17(6):607-617. doi: 10.1177/18632521231200060. eCollection 2023 Dec.
4
Dorsal bunion after clubfoot surgery: outcome of reverse Jones procedure.马蹄足手术后的背侧拇囊炎:反向琼斯手术的结果
J Pediatr Orthop. 2007 Oct-Nov;27(7):814-20. doi: 10.1097/BPO.0b013e3181558a37.
5
[Clinical comparative study on resection and non-resection of the fifth metatarsal to rheumatoid forefoot deformity].[第五跖骨切除与非切除治疗类风湿性前足畸形的临床对比研究]
Zhongguo Gu Shang. 2024 Mar 25;37(3):258-64. doi: 10.12200/j.issn.1003-0034.20220154.
6
Surgical correction of hallux valgus deformity in children with cerebral palsy.脑瘫患儿拇外翻畸形的手术矫正
Acta Orthop Traumatol Turc. 2018 May;52(3):174-178. doi: 10.1016/j.aott.2018.01.008. Epub 2018 Feb 22.
7
Operative treatment for hallux valgus in children with cerebral palsy.脑瘫患儿拇外翻的手术治疗
Foot Ankle Int. 1998 Dec;19(12):830-5. doi: 10.1177/107110079801901207.
8
Hallux valgus deformity correction without fusion in children with cerebral palsy.脑瘫患儿拇外翻畸形的非融合矫正术
J Pediatr Orthop B. 2017 Mar;26(2):164-171. doi: 10.1097/BPB.0000000000000419.
9
Surgical technique: Medial column arthrodesis in rigid spastic planovalgus feet.手术技术:僵硬痉挛性足内翻平足的内侧柱融合。
Clin Orthop Relat Res. 2012 May;470(5):1334-43. doi: 10.1007/s11999-011-2185-3.
10
Palliative single-level selective dorsal rhizotomy for children with spastic cerebral palsy Gross Motor Function Classification System level IV and V: a case series and systematic review of the literature.痉挛型脑瘫患儿行姑息性单节段选择性脊神经后根切断术:一项病例系列研究和文献系统评价。
Neurosurg Focus. 2024 Jun;56(6):E6. doi: 10.3171/2024.3.FOCUS2478.

本文引用的文献

1
Arthrodesis of the first metatarsophalangeal joint for severe hallux valgus in adolescents with cerebral palsy: A retrospective comparison study of three surgical techniques.青少年脑瘫患者重度拇外翻的第一跖趾关节融合术:三种手术技术的回顾性比较研究
J Child Orthop. 2023 Oct 5;17(6):607-617. doi: 10.1177/18632521231200060. eCollection 2023 Dec.
2
Mortality after spinal fusion in children with cerebral palsy and cerebral-palsy-like conditions: A 30-year follow-up study.脑瘫和脑瘫样疾病患儿脊柱融合术后的死亡率:30 年随访研究。
Dev Med Child Neurol. 2023 Sep;65(9):1190-1198. doi: 10.1111/dmcn.15568. Epub 2023 Mar 7.
3
Epidemiology of scoliosis in cerebral palsy: A population-based study at skeletal maturity.
脑瘫患者脊柱侧凸的流行病学:骨骼成熟时的基于人群研究。
J Paediatr Child Health. 2022 Feb;58(2):295-301. doi: 10.1111/jpc.15707. Epub 2021 Aug 28.
4
Health-related quality of life and caregiver burden after hip reconstruction and spinal fusion in children with spastic cerebral palsy.痉挛型脑瘫患儿髋关节重建和脊柱融合术后的健康相关生活质量及照顾者负担
Dev Med Child Neurol. 2022 Jan;64(1):80-87. doi: 10.1111/dmcn.14994. Epub 2021 Jul 23.
5
Enhancing validity, reliability and participation in self-reported health outcome measurement for children and young people: a systematic review of recall period, response scale format, and administration modality.提高儿童和青少年自我报告健康结果测量的有效性、可靠性和参与度:对回忆期、反应量表格式和管理方式的系统回顾。
Qual Life Res. 2021 Jul;30(7):1803-1832. doi: 10.1007/s11136-021-02814-4. Epub 2021 Mar 18.
6
Hip Reconstruction in Nonambulatory Children With Cerebral Palsy: Identifying Risk Factors Associated With Postoperative Complications and Prolonged Length of Stay.脑瘫非卧床儿童髋关节重建术:识别与术后并发症和住院时间延长相关的危险因素。
J Pediatr Orthop. 2020 Nov/Dec;40(10):e972-e977. doi: 10.1097/BPO.0000000000001643.
7
Orthopaedic Surgery in Dystonic Cerebral Palsy.肌张力障碍型脑瘫的矫形外科手术
J Pediatr Orthop. 2019 Apr;39(4):209-216. doi: 10.1097/BPO.0000000000000919.
8
Arthrodesis of the Hallux Metatarsophalangeal Joint.拇趾跖趾关节融合术
JBJS Essent Surg Tech. 2015 Oct 14;5(4):e20. doi: 10.2106/JBJS.ST.O.00009. eCollection 2015 Dec 23.
9
Symptomatic hallux valgus and dorsal bunion in adolescents with cerebral palsy: clinical and biomechanical factors.青少年脑瘫患者的拇囊炎和背侧囊炎:临床与生物力学因素
Dev Med Child Neurol. 2018 Jun;60(6):624-628. doi: 10.1111/dmcn.13724. Epub 2018 Mar 8.
10
First Metatarsophalangeal Joint Arthrodesis in Hallux Valgus Versus Hallux Rigidus Using Cup and Cone Preparation Compression Screw and Dorsal Plate Fixation.采用杯锥准备、加压螺钉和背侧板固定治疗拇外翻与僵硬性拇趾的第一跖趾关节融合术
Cureus. 2017 Oct 19;9(10):e1786. doi: 10.7759/cureus.1786.