Suppr超能文献

eEF2激酶的减少减轻了丙烯酰胺引起的学习和记忆损伤。

Reduction of eEF2 kinase alleviates the learning and memory impairment caused by acrylamide.

作者信息

Wang Xiao-Li, Zhang Ru-Nan, Pan Yu-Lin, Li Zhi-Ming, Li Hong-Qiu, Lei Ya-Ting, Zhao Fang-Fang, Hao Xiao-Xiao, Ma Wei-Wei, Yu Cui-Ping, Yao Hong-Wei, Wang Xin-Yu, Lv Jun-Jie, Wu Yong-Hui, Wang Sheng-Yuan

机构信息

Department of Occupational Health, Public Health College, Harbin Medical University, 157 Baojian Road, Nan gang District, 150086, Harbin, People's Republic of China.

Department of Nutrition and Food Hygiene, National Key Discipline, Harbin Medical University, Harbin, People's Republic of China.

出版信息

Cell Biosci. 2024 Aug 23;14(1):106. doi: 10.1186/s13578-024-01285-7.

Abstract

BACKGROUND

The impact of acrylamide (ACR) on learning and memory has garnered considerable attention. However, the targets and mechanisms are still unclear.

RESULTS

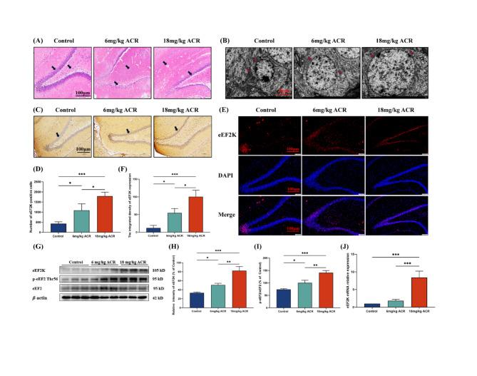
Elongation factor 2 (eEF2) was significantly upregulated in the results of serum proteomics. Results from in vitro and in vivo experiments indicated a notable upregulation of Eukaryotic elongation factor 2 kinase (eEF2K), the sole kinase responsible for eEF2 phosphorylation, following exposure to ACR (P < 0.05). Subsequent in vitro experiments using eEF2K siRNA and in vivo experiments with eEF2K-knockout mice demonstrated significant improvements in abnormal indicators related to ACR-induced learning and memory deficits (P < 0.05). Proteomic analysis of the hippocampus revealed Lpcat1 as a crucial downstream protein regulated by eEF2K. Kyoto Encyclopedia of Genes and Genomes (KEGG) pathway enrichment analyses indicated that eEF2K may play a role in the process of ACR-induced learning and memory impairment by affecting ether lipid metabolism.

CONCLUSIONS

In summary, eEF2K as a pivotal treatment target in the mechanisms underlying ACR-induced learning and memory impairment, and studies have shown that it provides robust evidence for potential clinical interventions targeting ACR-induced impairments.

摘要

背景

丙烯酰胺(ACR)对学习和记忆的影响已引起广泛关注。然而,其作用靶点和机制仍不清楚。

结果

血清蛋白质组学结果显示延伸因子2(eEF2)显著上调。体外和体内实验结果表明,暴露于ACR后,真核延伸因子2激酶(eEF2K)(唯一负责eEF2磷酸化的激酶)显著上调(P < 0.05)。随后使用eEF2K siRNA的体外实验以及使用eEF2K基因敲除小鼠的体内实验表明,与ACR诱导的学习和记忆缺陷相关的异常指标有显著改善(P < 0.05)。海马蛋白质组分析显示Lpcat1是受eEF2K调节的关键下游蛋白。京都基因与基因组百科全书(KEGG)通路富集分析表明,eEF2K可能通过影响醚脂代谢在ACR诱导的学习和记忆损伤过程中发挥作用。

结论

综上所述,eEF2K是ACR诱导的学习和记忆损伤机制中的关键治疗靶点,研究表明这为针对ACR诱导损伤的潜在临床干预提供了有力证据。

https://cdn.ncbi.nlm.nih.gov/pmc/blobs/6c30/11344312/b7d3da8060cc/13578_2024_1285_Fig1_HTML.jpg

文献AI研究员

20分钟写一篇综述,助力文献阅读效率提升50倍。

立即体验

用中文搜PubMed

大模型驱动的PubMed中文搜索引擎

马上搜索

文档翻译

学术文献翻译模型,支持多种主流文档格式。

立即体验