Suppr超能文献

抗谷氨酸脱羧酶(GAD)自身抗体阳性的僵人综合征

Stiff Person Syndrome With Positive Anti-glutamic Acid Decarboxylase (GAD) Autoantibodies.

作者信息

Maarad Najoua, Rahmani Mounia, Birouk Nazha, Taho Adlaide, Bnouhanna Wadii, Benabdeljlil Maria, Aïdi Saadia

机构信息

Research Team in Neurology, Department of Neurology A and Neuropsychology, Faculty of Medicine and Pharmacy, Specialty Hospital, University Mohammed V, Rabat, MAR.

Department of Clinical Neurophysiology, Faculty of Medicine and Pharmacy, Specialty Hospital, University Mohammed V, Rabat, MAR.

出版信息

Cureus. 2024 Aug 27;16(8):e67887. doi: 10.7759/cureus.67887. eCollection 2024 Aug.

Abstract

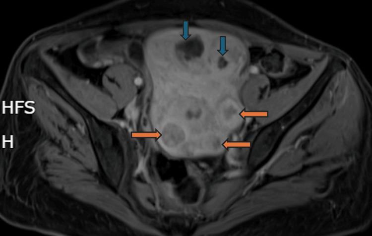
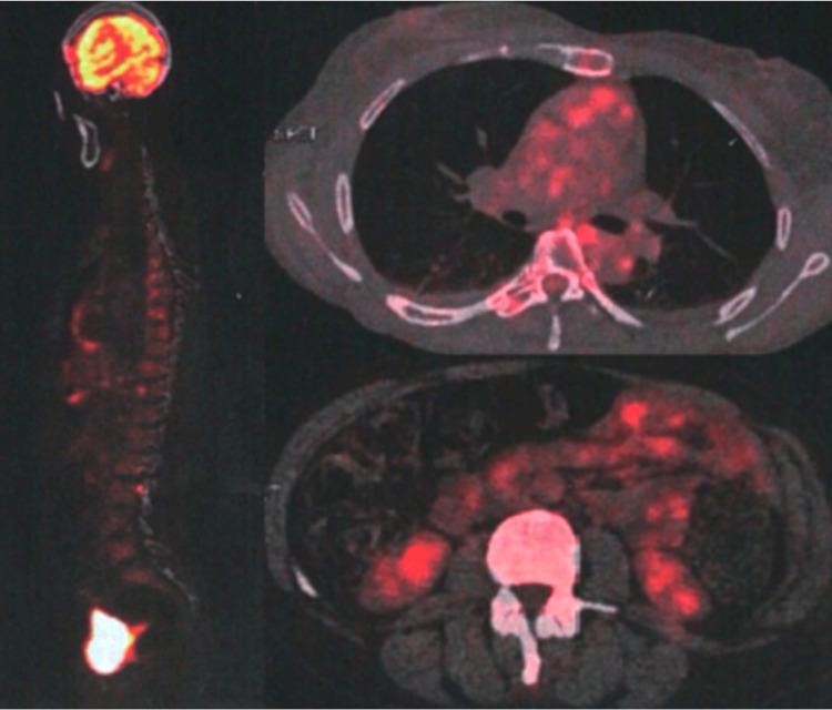
Stiff person syndrome (SPS) is a progressive autoimmune disorder characterized by muscle rigidity, frequent falls, and spasms, affecting primarily women. Recent advances have linked SPS to specific antibodies, such as anti-glutamic acid decarboxylase (GAD)-65, but effective treatments remain elusive. We report the case of a 53-year-old female who developed chronic lower back pain, tingling paresthesias, and progressive rigidity in the lower limbs. Electromyographic examination revealed muscle spasms and co-contractions, along with severe rigidity and reactive spasms upon touch. Imaging studies showed a polymyomatous uterus and no hypermetabolic lesions. She was diagnosed with stiff person syndrome with positive anti-GAD65 autoantibodies. Patient was treated with methylprednisolone, oral corticosteroids, gabapentin, baclofen, alprazolam, immunoglobulins, and rituximab, leading to moderate improvement in her condition. This case report aims to highlight the association between SPS and anti-GAD65 autoantibodies, emphasizing the importance of early diagnosis and comprehensive management.

摘要

僵人综合征(SPS)是一种进行性自身免疫性疾病,其特征为肌肉僵硬、频繁跌倒和痉挛,主要影响女性。最近的研究进展将SPS与特定抗体联系起来,如抗谷氨酸脱羧酶(GAD)-65,但有效的治疗方法仍然难以捉摸。我们报告了一例53岁女性病例,该患者出现慢性下背部疼痛、刺痛感觉异常以及下肢进行性僵硬。肌电图检查显示肌肉痉挛和共同收缩,触摸时伴有严重僵硬和反应性痉挛。影像学研究显示子宫多发肌瘤,无高代谢病变。她被诊断为抗GAD65自身抗体阳性的僵人综合征。患者接受了甲泼尼龙、口服糖皮质激素、加巴喷丁、巴氯芬、阿普唑仑、免疫球蛋白和利妥昔单抗治疗,病情有中度改善。本病例报告旨在强调SPS与抗GAD65自身抗体之间的关联,强调早期诊断和综合管理的重要性。

https://cdn.ncbi.nlm.nih.gov/pmc/blobs/5e8d/11347960/1277fa026f86/cureus-0016-00000067887-i01.jpg

文献检索

告别复杂PubMed语法,用中文像聊天一样搜索,搜遍4000万医学文献。AI智能推荐,让科研检索更轻松。

立即免费搜索

文件翻译

保留排版,准确专业,支持PDF/Word/PPT等文件格式,支持 12+语言互译。

免费翻译文档

深度研究

AI帮你快速写综述,25分钟生成高质量综述,智能提取关键信息,辅助科研写作。

立即免费体验