Suppr超能文献

超声引导下高强度聚焦超声治疗子宫肌瘤和子宫腺肌病:香港单中心11年经验

Ultrasound-Guided High-Intensity Focused Ultrasound of Uterine Fibroids and Adenomyosis: An 11-Year Experience from a Single Center in Hong Kong.

作者信息

Ng Vivian Wai-Yan, Cheung Vincent Yuk-Tong

机构信息

Department of Obstetrics and Gynaecology, Queen Mary Hospital, University of Hong Kong, Hong Kong, China.

出版信息

J Clin Med. 2024 Aug 14;13(16):4788. doi: 10.3390/jcm13164788.

Abstract

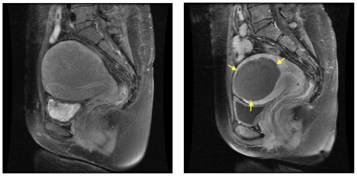
This study evaluated the efficacy and safety of ultrasound-guided high-intensity focused ultrasound (HIFU) in treating symptomatic uterine fibroids and adenomyosis. HIFU treatments performed in premenopausal women with symptomatic uterine fibroids and adenomyosis were analyzed retrospectively. Lesion volume reduction, change in symptoms of menstrual pain, and quality of life were examined. Major and minor complications, together with re-intervention rates, were evaluated. Eighty-one HIFU treatments were performed in seventy-nine premenopausal women. The follow-up period was up to 95 months. A total of 65 women underwent treatment for uterine fibroids and 14 were treated for adenomyosis. For patients with uterine fibroids, the baseline fibroid volume median was 190.1 cm (18.5-1729.4 cm). Fibroid volume was reduced by 50.1% (-26.2-97.8, < 0.0001) at 6 months and 66.9% (-33.7-98.3, < 0.0001) at 12 months after treatment. The modified Uterine Fibroid Symptom and Quality of Life (UFS-QOL) scores had decreased by 43.5% (0-62.5%, < 0.0001) at 6 months and 50% (0-73%, < 0.0001) at 12 months after treatment. In the adenomyosis arm, the median baseline uterine volume was 97.7 cm (43.7-367.4 m3). Uterine volume was reduced by 19.6% (range: 1.2-42.0, = 0.28) at 6 months and 41.9% (18.9-69.2, = 0.04) at 12 months after treatment. UFS-QOL scores were reduced by 38.1% (6-66.7%, < 0.0001) at 6 months and 40% (0-70%, < 0.0001) at 12s month after treatment. Fourteen (21.5%) patients with uterine fibroid and five (35.7%) patients with adenomyosis required subsequent interventions. HIFU provides symptomatic relief to most patients with uterine fibroids and adenomyosis. It is a promising uterus-sparing treatment for patients with these conditions.

摘要

本研究评估了超声引导下高强度聚焦超声(HIFU)治疗有症状子宫肌瘤和子宫腺肌病的疗效及安全性。对绝经前有症状子宫肌瘤和子宫腺肌病的女性进行的HIFU治疗进行回顾性分析。检查病灶体积缩小情况、痛经症状变化及生活质量。评估主要和次要并发症以及再次干预率。79名绝经前女性共接受了81次HIFU治疗。随访期长达95个月。共有65名女性接受子宫肌瘤治疗,14名接受子宫腺肌病治疗。对于子宫肌瘤患者,基线肌瘤体积中位数为190.1 cm³(18.5 - 1729.4 cm³)。治疗后6个月肌瘤体积缩小50.1%(-26.2 - 97.8,P < 0.0001),12个月时缩小66.9%(-33.7 - 98.3,P < 0.0001)。改良的子宫肌瘤症状与生活质量(UFS - QOL)评分在治疗后6个月下降了43.5%(0 - 62.5%,P < 0.0001),12个月时下降了50%(0 - 73%,P < 0.0001)。在子宫腺肌病组,基线子宫体积中位数为97.7 cm³(43.7 - 367.4 cm³)。治疗后6个月子宫体积缩小19.6%(范围:1.2 - 42.0,P = 0.28),12个月时缩小41.9%(18.9 - 69.2,P = 0.04)。UFS - QOL评分在治疗后6个月下降了38.1%(6 - 66.7%,P < 0.0001),12个月时下降了40%(0 - 70%,P < 0.0001)。14名(21.5%)子宫肌瘤患者和5名(35.7%)子宫腺肌病患者需要后续干预。HIFU能使大多数子宫肌瘤和子宫腺肌病患者症状缓解。对于患有这些疾病的患者,它是一种有前景的保留子宫的治疗方法。

https://cdn.ncbi.nlm.nih.gov/pmc/blobs/03e4/11355121/e9ac144436e0/jcm-13-04788-g001.jpg

文献检索

告别复杂PubMed语法,用中文像聊天一样搜索,搜遍4000万医学文献。AI智能推荐,让科研检索更轻松。

立即免费搜索

文件翻译

保留排版,准确专业,支持PDF/Word/PPT等文件格式,支持 12+语言互译。

免费翻译文档

深度研究

AI帮你快速写综述,25分钟生成高质量综述,智能提取关键信息,辅助科研写作。

立即免费体验