Suppr超能文献

用于处理袖状胃切除术后瘘管和胃束带移位的新型内镜设备及技术

New Endoscopic Devices and Techniques for the Management of Post-Sleeve Gastrectomy Fistula and Gastric Band Migration.

作者信息

Jung Carlo Felix Maria, Binda Cecilia, Tuccillo Luigi, Secco Matteo, Gibiino Giulia, Liverani Elisa, Petraroli Chiara, Coluccio Chiara, Fabbri Carlo

机构信息

Gastroenterology and Digestive Endoscopy Unit, Forli-Cesena Hospitals, AUSL Romagna, 47121 Forlì, Italy.

出版信息

J Clin Med. 2024 Aug 18;13(16):4877. doi: 10.3390/jcm13164877.

Abstract

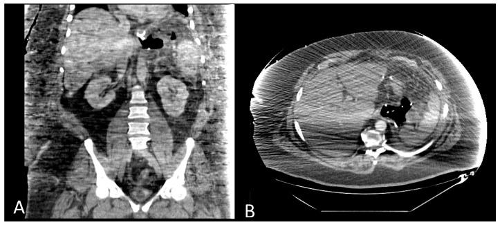
Post-sleeve gastrectomy fistulas are a rare but possibly severe life-threatening complication. Besides early reoperation and drainage, endoscopy is the main treatment option. According to the clinical setting, endoscopic treatment options comprise stent or clip placement. New endoscopic therapies have recently gained attention, including endoscopic vacuum therapy, VacStent therapy, endoscopic internal drainage with pigtail stents, endoscopic suturing and stem cell injection. In this narrative review, we shed light on recent literature, developments, indications and contraindications of these treatments. Intragastric gastric band migration is a rare complication after gastric band positioning. Reoperation can sometimes be difficult, especially when a gastric band has already migrated far into the stomach. Endoscopic retrieval can be a valid, non-invasive therapeutic solution. We reviewed the current literature on this matter.

摘要

袖状胃切除术后瘘是一种罕见但可能严重危及生命的并发症。除了早期再次手术和引流外,内镜检查是主要的治疗选择。根据临床情况,内镜治疗方法包括放置支架或夹子。最近,新的内镜治疗方法受到关注,包括内镜下负压治疗、VacStent治疗、猪尾支架内镜内引流、内镜缝合和干细胞注射。在这篇叙述性综述中,我们阐明了这些治疗方法的最新文献、进展、适应证和禁忌证。胃内胃束带移位是胃束带放置术后的一种罕见并发症。再次手术有时可能很困难,尤其是当胃束带已经深入胃内时。内镜取出可能是一种有效的非侵入性治疗解决方案。我们回顾了关于此事的当前文献。

https://cdn.ncbi.nlm.nih.gov/pmc/blobs/0504/11355382/c6ca32ffd90f/jcm-13-04877-g001.jpg

文献检索

告别复杂PubMed语法,用中文像聊天一样搜索,搜遍4000万医学文献。AI智能推荐,让科研检索更轻松。

立即免费搜索

文件翻译

保留排版,准确专业,支持PDF/Word/PPT等文件格式,支持 12+语言互译。

免费翻译文档

深度研究

AI帮你快速写综述,25分钟生成高质量综述,智能提取关键信息,辅助科研写作。

立即免费体验