Suppr超能文献

臀部浅表间变性淋巴瘤激酶重排黏液样梭形细胞瘤:一例报告

Superficial Anaplastic Lymphoma Kinase-Rearranged Myxoid Spindle Cell Neoplasm in the Buttock: A Case Report.

作者信息

Kim Jong-Hyup, Koh In-Chang, Kim Hoon, Lim Soo-Yeon, Choi Joon-Hyuk, Kwon Kun-Young

机构信息

Department of Plastic and Reconstructive Surgery, Konyang University Hospital, College of Medicine, University of Konyang, Myunggok Medical Research Institute, Daejeon 35365, Republic of Korea.

Department of Pathology, Yeungnam University College of Medicine, Daegu 42415, Republic of Korea.

出版信息

J Pers Med. 2024 Aug 13;14(8):858. doi: 10.3390/jpm14080858.

Abstract

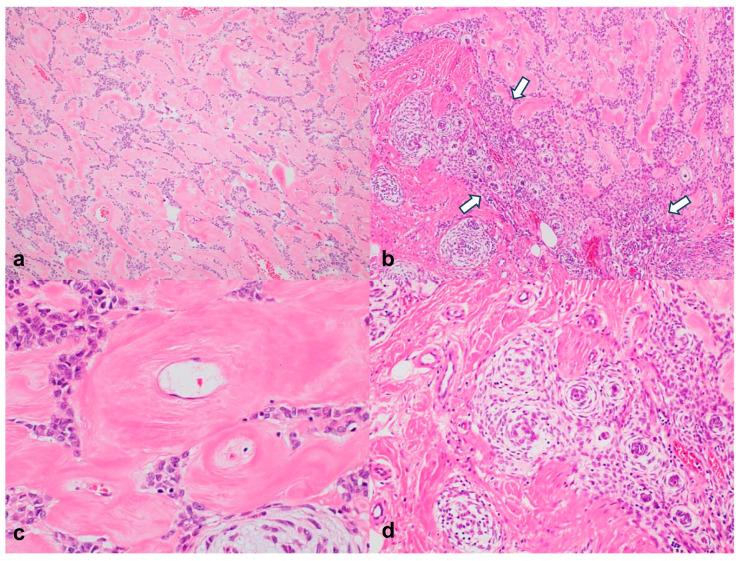
Anaplastic lymphoma kinase (ALK) is detected in both normal and oncological developmental tissues. Among ALK-related tumors, superficial ALK-rearranged myxoid spindle cell neoplasm (SAMS) is a rare, soft tissue tumor characterized by the immunophenotypical co-expression of CD34 and S100. Here, we describe a patient with this rare tumor and outline its clinical and radiological characteristics. A 28-year-old woman with diabetes, hypertension, and panic disorder presented with discomfort caused by a rubbery mass on the left buttock that had persisted for 10 years. Computed tomography revealed a multilobulated hypodense mass with small internal enhancing foci, posing challenges for the exact diagnosis of the lesion. The entire lesion was excised with clear resection margins. An 8.0 × 6.0 cm, well-circumscribed tumor with a lobular growth pattern was observed in the deep subcutaneous tissue. Light microscopy revealed epithelioid, ovoid, and spindle-shaped cells with a reticular cordlike pattern. Immunohistochemistry results were positive for S100, CD34, and vimentin. Break-apart fluorescence in situ hybridization assay results for ALK were also positive. These findings were consistent with those of SAMS. This case suggests that SAMS should be considered when identifying large nonspecific masses during clinical and imaging evaluation.

摘要

间变性淋巴瘤激酶(ALK)在正常组织和肿瘤发育组织中均有检测到。在与ALK相关的肿瘤中,浅表性ALK重排黏液样梭形细胞瘤(SAMS)是一种罕见的软组织肿瘤,其特征为CD34和S100免疫表型共表达。在此,我们描述了一名患有这种罕见肿瘤的患者,并概述了其临床和放射学特征。一名患有糖尿病、高血压和惊恐障碍的28岁女性因左侧臀部一个持续了10年的橡胶样肿块引起不适前来就诊。计算机断层扫描显示一个多叶状低密度肿块,内部有小的强化灶,这给病变的确切诊断带来了挑战。整个病变被完整切除,切缘清晰。在深部皮下组织中观察到一个8.0×6.0 cm、边界清晰、呈小叶状生长模式的肿瘤。光镜检查显示上皮样、卵圆形和梭形细胞,呈网状索状排列。免疫组化结果显示S100、CD34和波形蛋白呈阳性。ALK的断裂荧光原位杂交检测结果也为阳性。这些发现与SAMS一致。该病例提示,在临床和影像学评估中识别大的非特异性肿块时应考虑SAMS。

https://cdn.ncbi.nlm.nih.gov/pmc/blobs/749e/11355891/971c0004992d/jpm-14-00858-g001.jpg

文献检索

告别复杂PubMed语法,用中文像聊天一样搜索,搜遍4000万医学文献。AI智能推荐,让科研检索更轻松。

立即免费搜索

文件翻译

保留排版,准确专业,支持PDF/Word/PPT等文件格式,支持 12+语言互译。

免费翻译文档

深度研究

AI帮你快速写综述,25分钟生成高质量综述,智能提取关键信息,辅助科研写作。

立即免费体验