• 文献检索
  • 文档翻译
  • 深度研究
  • 学术资讯
  • Suppr Zotero 插件Zotero 插件
  • 邀请有礼
  • 套餐&价格
  • 历史记录
应用&插件
Suppr Zotero 插件Zotero 插件浏览器插件Mac 客户端Windows 客户端微信小程序
定价
高级版会员购买积分包购买API积分包
服务
文献检索文档翻译深度研究API 文档MCP 服务
关于我们
关于 Suppr公司介绍联系我们用户协议隐私条款
关注我们

Suppr 超能文献

核心技术专利:CN118964589B侵权必究
粤ICP备2023148730 号-1Suppr @ 2026

文献检索

告别复杂PubMed语法,用中文像聊天一样搜索,搜遍4000万医学文献。AI智能推荐,让科研检索更轻松。

立即免费搜索

文件翻译

保留排版,准确专业,支持PDF/Word/PPT等文件格式,支持 12+语言互译。

免费翻译文档

深度研究

AI帮你快速写综述,25分钟生成高质量综述,智能提取关键信息,辅助科研写作。

立即免费体验

组织学门静脉T细胞密度对肝移植物抗宿主病和自身免疫性肝病临床结局的影响

The Impact of Histologic Portal T-Cell Density on the Clinical Outcomes in Hepatic Graft-versus-Host Disease and Autoimmune Liver Diseases.

作者信息

Lee Soon Kyu, Park Sung-Soo, Park Silvia, Lee Sung-Eun, Cho Byung-Sik, Eom Ki-Seong, Kim Yoo-Jin, Kim Hee-Je, Min Chang-Ki, Cho Seok-Goo, Lee Jong Wook, Lee Seok, Kim Younghoon, Han Ji Won, Yang Hyun, Bae Si Hyun, Jang Jeong Won, Choi Jong Young, Yoon Seung Kew, Lee Dong Yeup, Lee Sung Hak, Yoon Jae-Ho, Sung Pil Soo

机构信息

Division of Gastroenterology and Hepatology, Department of Internal Medicine, Incheon St. Mary's Hospital, College of Medicine, The Catholic University of Korea, Seoul 06591, Republic of Korea.

The Catholic University Liver Research Centre, College of Medicine, The Catholic University of Korea, Seoul 06591, Republic of Korea.

出版信息

Diagnostics (Basel). 2024 Aug 12;14(16):1745. doi: 10.3390/diagnostics14161745.

DOI:10.3390/diagnostics14161745
PMID:39202234
原文链接:https://pmc.ncbi.nlm.nih.gov/articles/PMC11353783/
Abstract

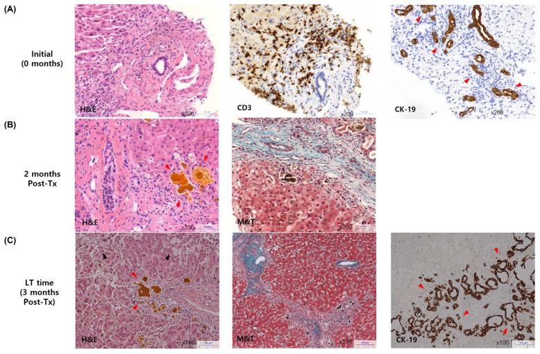
Hepatic graft-versus-host disease (GVHD) significantly impacts morbidity and mortality among allogeneic hematopoietic stem cell transplant recipients. However, the relationship between clinical and immunopathological phenotypes and their influence on clinical outcomes in hepatic GVHD is not well understood. In this study, we aimed to study the implications of portal T-cell infiltration on the clinical outcomes in hepatic GHVD and its similarities to autoimmune liver disease. We analyzed 78 patients with biopsy-confirmed hepatic GVHD ( = 38) or autoimmune liver disease ( = 40) between 2016 and 2021. The cholestatic variant was defined by an R-value < 2.0, based on the ratio of alanine aminotransferase to alkaline phosphatase. The primary outcome was the biochemical response at 4 (early) and 8-12 (late) weeks after corticosteroid treatment. In hepatic GVHD patients, the hepatitic variant ( = 19) showed greater CD3 T-cell infiltration than the cholestatic variant ( = 19; < 0.001). No significant differences were observed in the infiltration of CD20, CD38, or CD68 cells. The hepatitic variant had significantly better early and late responses and higher liver-related event-free survival than the cholestatic variants ( < 0.05). Concerning autoimmune liver diseases, the autoimmune hepatitis (AIH) group had significantly more portal T-cell infiltration and better treatment responses than the primary biliary cholangitis (PBC) group. In conclusion, higher portal T-cell infiltration may be associated with better clinical outcomes in patients with hepatic GVHD. Additionally, this study highlights similarities in portal T-cell infiltration and treatment response patterns between AIH and the hepatitic variant, as well as PBC and the cholestatic variant.

摘要

肝移植物抗宿主病(GVHD)对异基因造血干细胞移植受者的发病率和死亡率有显著影响。然而,肝GVHD的临床和免疫病理表型之间的关系及其对临床结局的影响尚未完全明确。在本研究中,我们旨在探讨门静脉T细胞浸润对肝GVHD临床结局的影响及其与自身免疫性肝病的相似性。我们分析了2016年至2021年间78例经活检确诊的肝GVHD(n = 38)或自身免疫性肝病(n = 40)患者。胆汁淤积型根据丙氨酸转氨酶与碱性磷酸酶的比值,R值<2.0来定义。主要结局是皮质类固醇治疗后4周(早期)和8 - 12周(晚期)的生化反应。在肝GVHD患者中,肝炎型(n = 19)的CD3 T细胞浸润比胆汁淤积型(n = 19;P < 0.001)更明显。CD20、CD38或CD68细胞的浸润未观察到显著差异。肝炎型的早期和晚期反应明显更好,且肝脏相关无事件生存率高于胆汁淤积型(P < 0.05)。关于自身免疫性肝病,自身免疫性肝炎(AIH)组的门静脉T细胞浸润明显多于原发性胆汁性胆管炎(PBC)组,且治疗反应更好。总之,较高的门静脉T细胞浸润可能与肝GVHD患者更好的临床结局相关。此外,本研究强调了AIH与肝炎型、PBC与胆汁淤积型在门静脉T细胞浸润和治疗反应模式上的相似性。

https://cdn.ncbi.nlm.nih.gov/pmc/blobs/7396/11353783/7d32a8f3baf3/diagnostics-14-01745-g005.jpg
https://cdn.ncbi.nlm.nih.gov/pmc/blobs/7396/11353783/685171a2e1c1/diagnostics-14-01745-g001.jpg
https://cdn.ncbi.nlm.nih.gov/pmc/blobs/7396/11353783/65439c746898/diagnostics-14-01745-g002.jpg
https://cdn.ncbi.nlm.nih.gov/pmc/blobs/7396/11353783/53de1656fd65/diagnostics-14-01745-g003.jpg
https://cdn.ncbi.nlm.nih.gov/pmc/blobs/7396/11353783/c9e7608713ea/diagnostics-14-01745-g004.jpg
https://cdn.ncbi.nlm.nih.gov/pmc/blobs/7396/11353783/7d32a8f3baf3/diagnostics-14-01745-g005.jpg
https://cdn.ncbi.nlm.nih.gov/pmc/blobs/7396/11353783/685171a2e1c1/diagnostics-14-01745-g001.jpg
https://cdn.ncbi.nlm.nih.gov/pmc/blobs/7396/11353783/65439c746898/diagnostics-14-01745-g002.jpg
https://cdn.ncbi.nlm.nih.gov/pmc/blobs/7396/11353783/53de1656fd65/diagnostics-14-01745-g003.jpg
https://cdn.ncbi.nlm.nih.gov/pmc/blobs/7396/11353783/c9e7608713ea/diagnostics-14-01745-g004.jpg
https://cdn.ncbi.nlm.nih.gov/pmc/blobs/7396/11353783/7d32a8f3baf3/diagnostics-14-01745-g005.jpg

相似文献

1
The Impact of Histologic Portal T-Cell Density on the Clinical Outcomes in Hepatic Graft-versus-Host Disease and Autoimmune Liver Diseases.组织学门静脉T细胞密度对肝移植物抗宿主病和自身免疫性肝病临床结局的影响
Diagnostics (Basel). 2024 Aug 12;14(16):1745. doi: 10.3390/diagnostics14161745.
2
Clinicopathological study of primary biliary cirrhosis with interface hepatitis compared to autoimmune hepatitis.与自身免疫性肝炎相比,伴有界面性肝炎的原发性胆汁性肝硬化的临床病理研究
World J Gastroenterol. 2014 Apr 7;20(13):3597-608. doi: 10.3748/wjg.v20.i13.3597.
3
Hepatitic graft-versus-host disease after hematopoietic stem cell transplantation: clinicopathologic features and prognostic implication.造血干细胞移植后肝炎性移植物抗宿主病:临床病理特征及预后意义
Transplantation. 2004 Apr 27;77(8):1252-9. doi: 10.1097/01.tp.0000120383.30088.a4.
4
Cytotoxic KLRG1 expressing lymphocytes invade portal tracts in primary biliary cholangitis.表达细胞毒性 KLRG1 的淋巴细胞会浸润原发性胆汁性胆管炎的门脉区。
J Autoimmun. 2019 Sep;103:102293. doi: 10.1016/j.jaut.2019.06.004. Epub 2019 Jun 27.
5
Hepatitic Variant of Graft-vs-Host Disease.肝炎型移植物抗宿主病。
Am J Clin Pathol. 2022 Jun 7;157(6):948-955. doi: 10.1093/ajcp/aqab215.
6
Spectrum of Autoimmune Liver Disease and Real-World Treatment Experience from a Tertiary Care Hospital.三级医疗机构自身免疫性肝病的谱及真实世界治疗经验
J Clin Exp Hepatol. 2023 Mar-Apr;13(2):241-251. doi: 10.1016/j.jceh.2022.11.002. Epub 2022 Nov 10.
7
Hepatitic variant of graft-versus-host disease after donor lymphocyte infusion.供体淋巴细胞输注后移植物抗宿主病的肝炎变异型
Blood. 2002 Dec 1;100(12):3903-7. doi: 10.1182/blood-2002-03-0857. Epub 2002 Jul 18.
8
Comprehensive assessment of ECM turnover using serum biomarkers establishes PBC as a high-turnover autoimmune liver disease.使用血清生物标志物对细胞外基质(ECM)周转进行综合评估,证实原发性胆汁性胆管炎(PBC)是一种高周转的自身免疫性肝病。
JHEP Rep. 2020 Sep 3;3(1):100178. doi: 10.1016/j.jhepr.2020.100178. eCollection 2021 Feb.
9
Histology and clinical correlations in autoimmune hepatitis, primary biliary cholangitis, and autoimmune hepatitis-primary biliary cholangitis overlap syndrome.自身免疫性肝炎、原发性胆汁性胆管炎及重叠综合征的组织学和临床相关性。
Ann Diagn Pathol. 2023 Dec;67:152178. doi: 10.1016/j.anndiagpath.2023.152178. Epub 2023 Jul 12.
10
[Clinical and pathological characteristics and outcome of 46 children with autoimmune hepatitis].46例儿童自身免疫性肝炎的临床、病理特征及预后
Zhonghua Er Ke Za Zhi. 2019 Jan 2;57(1):40-45. doi: 10.3760/cma.j.issn.0578-1310.2019.01.010.

本文引用的文献

1
Expansion of effector regulatory T cells in steroid responders of severe alcohol-associated hepatitis.在严重酒精性肝炎的类固醇应答者中效应调节性 T 细胞的扩增。
Liver Transpl. 2024 Sep 1;30(9):877-886. doi: 10.1097/LVT.0000000000000378. Epub 2024 Apr 17.
2
CD4+ T-cell subsets in autoimmune hepatitis: A review.自身免疫性肝炎中的 CD4+ T 细胞亚群:综述。
Hepatol Commun. 2023 Sep 11;7(10). doi: 10.1097/HC9.0000000000000269. eCollection 2023 Oct 1.
3
KASL clinical practice guidelines for management of autoimmune hepatitis 2022.
2022年KASL自身免疫性肝炎管理临床实践指南
Clin Mol Hepatol. 2023 Jul;29(3):542-592. doi: 10.3350/cmh.2023.0087. Epub 2023 May 3.
4
Intrahepatic infiltration of activated CD8 T cells and mononuclear phagocyte is associated with idiosyncratic drug-induced liver injury.肝内活化的 CD8 T 细胞和单核吞噬细胞浸润与特异质药物性肝损伤有关。
Front Immunol. 2023 Mar 1;14:1138112. doi: 10.3389/fimmu.2023.1138112. eCollection 2023.
5
Characterization of Hepatic Dysfunction in Subjects Diagnosed With Chronic GVHD by NIH Consensus Criteria.根据 NIH 共识标准诊断为慢性 GVHD 的患者的肝功能障碍特征。
Transplant Cell Ther. 2022 Nov;28(11):747.e1-747.e10. doi: 10.1016/j.jtct.2022.07.017. Epub 2022 Jul 22.
6
Systematic review of response criteria and endpoints in autoimmune hepatitis by the International Autoimmune Hepatitis Group.国际自身免疫性肝炎小组对自身免疫性肝炎反应标准和终点的系统评价。
J Hepatol. 2022 Apr;76(4):841-849. doi: 10.1016/j.jhep.2021.12.041. Epub 2022 Jan 20.
7
Ruxolitinib for Glucocorticoid-Refractory Chronic Graft-versus-Host Disease.芦可替尼治疗糖皮质激素难治性慢性移植物抗宿主病。
N Engl J Med. 2021 Jul 15;385(3):228-238. doi: 10.1056/NEJMoa2033122.
8
The Asian Pacific Association for the Study of the Liver clinical practice guidance: the diagnosis and management of patients with autoimmune hepatitis.亚太肝脏研究协会临床实践指南:自身免疫性肝炎患者的诊断与管理
Hepatol Int. 2021 Apr;15(2):223-257. doi: 10.1007/s12072-021-10170-1. Epub 2021 May 4.
9
Clinicopathological analysis of hepatic immune-related adverse events in comparison with autoimmune hepatitis and graft-versus host disease.与自身免疫性肝炎和移植物抗宿主病相比的肝脏免疫相关不良事件的临床病理分析。
Sci Rep. 2021 Apr 29;11(1):9242. doi: 10.1038/s41598-021-88824-1.
10
National Institutes of Health Consensus Development Project on Criteria for Clinical Trials in Chronic Graft-versus-Host Disease: IIa. The 2020 Clinical Implementation and Early Diagnosis Working Group Report.美国国立卫生研究院慢性移植物抗宿主病临床试验标准共识开发项目:IIa. 2020 年临床实施和早期诊断工作组报告。
Transplant Cell Ther. 2021 Jul;27(7):545-557. doi: 10.1016/j.jtct.2021.03.033. Epub 2021 Apr 9.