• 文献检索
  • 文档翻译
  • 深度研究
  • 学术资讯
  • Suppr Zotero 插件Zotero 插件
  • 邀请有礼
  • 套餐&价格
  • 历史记录
应用&插件
Suppr Zotero 插件Zotero 插件浏览器插件Mac 客户端Windows 客户端微信小程序
定价
高级版会员购买积分包购买API积分包
服务
文献检索文档翻译深度研究API 文档MCP 服务
关于我们
关于 Suppr公司介绍联系我们用户协议隐私条款
关注我们

Suppr 超能文献

核心技术专利:CN118964589B侵权必究
粤ICP备2023148730 号-1Suppr @ 2026

文献检索

告别复杂PubMed语法,用中文像聊天一样搜索,搜遍4000万医学文献。AI智能推荐,让科研检索更轻松。

立即免费搜索

文件翻译

保留排版,准确专业,支持PDF/Word/PPT等文件格式,支持 12+语言互译。

免费翻译文档

深度研究

AI帮你快速写综述,25分钟生成高质量综述,智能提取关键信息,辅助科研写作。

立即免费体验

融合阳性髓系恶性肿瘤的临床、表型及分子特征

Clinical, Phenotypic and Molecular Characterization of Fusion Positive Myeloid Malignancies.

作者信息

Wakefield Chelby, Hansen Smith Mary, Dashkevych Ulyana, Proytcheva Maria, Khurana Sharad

机构信息

Department of Hematology and Oncology, University of Arizona, Tucson, AZ, USA.

Department of Pathology, University of Arizona, Tucson, AZ, USA.

出版信息

J Med Cases. 2024 Sep;15(9):250-255. doi: 10.14740/jmc4286. Epub 2024 Aug 22.

DOI:10.14740/jmc4286
PMID:39205695
原文链接:https://pmc.ncbi.nlm.nih.gov/articles/PMC11349118/
Abstract

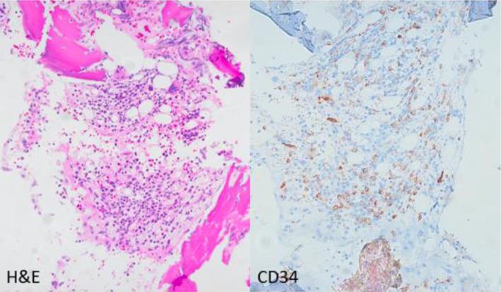
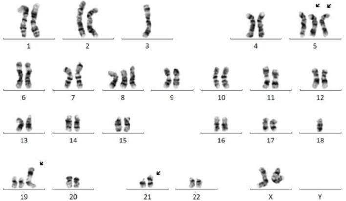
The identification of a fusion has been seen in about 6% of patients with T lymphoblastic leukemia (T-ALL). It has been described at a lower frequency in B-lymphoblastic leukemia (B-ALL) patients as well. To our knowledge, this is the first case report documenting a fusion in a patient with newly diagnosed myelodysplastic syndrome (MDS) as identified by next-generation sequencing (NGS). A case report by Wang et al recently described a case report of the first fusion in a patient with newly diagnosed acute myeloid leukemia (AML). This shows that this specific translocation is not isolated to lymphoid malignancies, and can be associated with myeloid malignancies as well. The potential use of tyrosine kinase inhibitors (TKIs) as a line of treatment for patients who harbor this translocation makes this finding of particular interest. However, while there have been individual reports noting the effect of TKIs in T-ALLs with fusions, additional research is needed to fully understand the role of this mutation in myeloid derived malignancies, and its corresponding treatment and prognostic implications.

摘要

在约6%的T淋巴母细胞白血病(T-ALL)患者中发现了一种融合现象。在B淋巴母细胞白血病(B-ALL)患者中也有较低频率的报道。据我们所知,这是第一例通过下一代测序(NGS)确诊的新诊断骨髓增生异常综合征(MDS)患者中记录到该融合现象的病例报告。Wang等人最近的一篇病例报告描述了第一例新诊断急性髓系白血病(AML)患者中的该融合现象。这表明这种特定的易位并非仅见于淋巴系统恶性肿瘤,也可与髓系恶性肿瘤相关。酪氨酸激酶抑制剂(TKIs)作为携带这种易位患者的一线治疗方法的潜在用途使得这一发现尤为重要。然而,虽然有个别报告指出TKIs对伴有该融合的T-ALL的作用,但仍需要进一步研究以充分了解这种突变在髓系来源恶性肿瘤中的作用及其相应的治疗和预后意义。

https://cdn.ncbi.nlm.nih.gov/pmc/blobs/e415/11349118/9dc4423b7cf1/jmc-15-250-g004.jpg
https://cdn.ncbi.nlm.nih.gov/pmc/blobs/e415/11349118/0b418198d92c/jmc-15-250-g001.jpg
https://cdn.ncbi.nlm.nih.gov/pmc/blobs/e415/11349118/d5cb826512c9/jmc-15-250-g002.jpg
https://cdn.ncbi.nlm.nih.gov/pmc/blobs/e415/11349118/771b6c8ed34a/jmc-15-250-g003.jpg
https://cdn.ncbi.nlm.nih.gov/pmc/blobs/e415/11349118/9dc4423b7cf1/jmc-15-250-g004.jpg
https://cdn.ncbi.nlm.nih.gov/pmc/blobs/e415/11349118/0b418198d92c/jmc-15-250-g001.jpg
https://cdn.ncbi.nlm.nih.gov/pmc/blobs/e415/11349118/d5cb826512c9/jmc-15-250-g002.jpg
https://cdn.ncbi.nlm.nih.gov/pmc/blobs/e415/11349118/771b6c8ed34a/jmc-15-250-g003.jpg
https://cdn.ncbi.nlm.nih.gov/pmc/blobs/e415/11349118/9dc4423b7cf1/jmc-15-250-g004.jpg

相似文献

1
Clinical, Phenotypic and Molecular Characterization of Fusion Positive Myeloid Malignancies.融合阳性髓系恶性肿瘤的临床、表型及分子特征
J Med Cases. 2024 Sep;15(9):250-255. doi: 10.14740/jmc4286. Epub 2024 Aug 22.
2
Case Report: The First Report of Fusion Gene in Acute Myeloid Leukemia Patient Detected by Next-Generation Sequencing.病例报告:通过下一代测序检测到的急性髓系白血病患者融合基因的首例报告。
Front Oncol. 2021 Jul 8;11:706798. doi: 10.3389/fonc.2021.706798. eCollection 2021.
3
Case Report: Specific ABL-Inhibitor Imatinib Is an Effective Targeted Agent as the First Line Therapy to Treat B-Cell Acute Lymphoblastic Leukemia With a Cryptic :: Gene Fusion.病例报告:特定的 ABL 抑制剂伊马替尼是治疗伴有隐匿性::基因融合的 B 细胞急性淋巴细胞白血病的一线有效靶向药物。
Pathol Oncol Res. 2022 Sep 12;28:1610570. doi: 10.3389/pore.2022.1610570. eCollection 2022.
4
Synergistic effects of selective inhibitors targeting the PI3K/AKT/mTOR pathway or NUP214-ABL1 fusion protein in human Acute Lymphoblastic Leukemia.靶向PI3K/AKT/mTOR通路或NUP214-ABL1融合蛋白的选择性抑制剂在人类急性淋巴细胞白血病中的协同作用
Oncotarget. 2016 Nov 29;7(48):79842-79853. doi: 10.18632/oncotarget.13035.
5
fusion genes in acute leukemia (Review).急性白血病中的融合基因(综述)
Oncol Lett. 2014 Sep;8(3):959-962. doi: 10.3892/ol.2014.2263. Epub 2014 Jun 18.
6
NUP214-ABL1-mediated cell proliferation in T-cell acute lymphoblastic leukemia is dependent on the LCK kinase and various interacting proteins.NUP214-ABL1 介导的 T 细胞急性淋巴细胞白血病中的细胞增殖依赖于 LCK 激酶和各种相互作用的蛋白。
Haematologica. 2014 Jan;99(1):85-93. doi: 10.3324/haematol.2013.088674. Epub 2013 Jul 19.
7
Activity of tyrosine kinase inhibitors against human NUP214-ABL1-positive T cell malignancies.酪氨酸激酶抑制剂对人NUP214-ABL1阳性T细胞恶性肿瘤的活性。
Leukemia. 2008 Jun;22(6):1117-24. doi: 10.1038/leu.2008.80. Epub 2008 Apr 10.
8
Dasatinib and chemotherapy in a patient with early T-cell precursor acute lymphoblastic leukemia and fusion: A case report.达沙替尼与化疗用于一名伴有 融合的早期 T 细胞前体急性淋巴细胞白血病患者:病例报告
Exp Ther Med. 2017 Nov;14(5):3979-3984. doi: 10.3892/etm.2017.5046. Epub 2017 Aug 28.
9
Myelodysplastic syndrome with t(6;9)(p22;q34.1)/DEK-NUP214 better classified as acute myeloid leukemia? A multicenter study of 107 cases.伴 t(6;9)(p22;q34.1)/DEK-NUP214 骨髓增生异常综合征是否应更好地归类为急性髓系白血病?107 例多中心研究。
Mod Pathol. 2021 Jun;34(6):1143-1152. doi: 10.1038/s41379-021-00741-w. Epub 2021 Feb 8.
10
Fusion of EML1 to ABL1 in T-cell acute lymphoblastic leukemia with cryptic t(9;14)(q34;q32).隐匿性t(9;14)(q34;q32)的T细胞急性淋巴细胞白血病中EML1与ABL1的融合
Blood. 2005 Jun 15;105(12):4849-52. doi: 10.1182/blood-2004-12-4897. Epub 2005 Feb 15.

本文引用的文献

1
Molecular International Prognostic Scoring System for Myelodysplastic Syndromes.骨髓增生异常综合征的分子国际预后评分系统
NEJM Evid. 2022 Jul;1(7):EVIDoa2200008. doi: 10.1056/EVIDoa2200008. Epub 2022 Jun 12.
2
Myelodysplastic syndromes: 2023 update on diagnosis, risk-stratification, and management.骨髓增生异常综合征:2023 年关于诊断、风险分层和治疗的更新。
Am J Hematol. 2023 Aug;98(8):1307-1325. doi: 10.1002/ajh.26984. Epub 2023 Jun 8.
3
Chemotherapy Resistance in B-ALL with Cryptic NUP214-ABL1 Is Amenable to Kinase Inhibition and Immunotherapy.
隐匿性 NUP214-ABL1 导致的 B-ALL 对化疗耐药,可通过激酶抑制和免疫治疗克服。
Oncologist. 2022 Mar 4;27(2):82-86. doi: 10.1093/oncolo/oyab052.
4
Case Report: The First Report of Fusion Gene in Acute Myeloid Leukemia Patient Detected by Next-Generation Sequencing.病例报告:通过下一代测序检测到的急性髓系白血病患者融合基因的首例报告。
Front Oncol. 2021 Jul 8;11:706798. doi: 10.3389/fonc.2021.706798. eCollection 2021.
5
Whole-exome sequencing reveals the subclonal expression of NUP214-ABL1 fusion gene in T-cell acute lymphoblastic leukemia.全外显子组测序揭示了T细胞急性淋巴细胞白血病中NUP214-ABL1融合基因的亚克隆表达。
Pediatr Blood Cancer. 2020 Jan;67(1):e28019. doi: 10.1002/pbc.28019. Epub 2019 Sep 25.
6
Response to single agent dasatinib post allogeneic transplant in B-cell acute lymphoblastic leukemia with .异基因移植后单药达沙替尼治疗伴……的B细胞急性淋巴细胞白血病的反应
Leuk Lymphoma. 2019 Nov;60(11):2832-2834. doi: 10.1080/10428194.2019.1605510. Epub 2019 Apr 24.
7
Genetics of MDS.骨髓增生异常综合征的遗传学。
Blood. 2019 Mar 7;133(10):1049-1059. doi: 10.1182/blood-2018-10-844621. Epub 2019 Jan 22.
8
NUP214 in Leukemia: It's More than Transport.NUP214 在白血病中的作用:不止是运输。
Cells. 2019 Jan 21;8(1):76. doi: 10.3390/cells8010076.
9
A Cryptic NUP214-ABL1 Fusion in B-cell Precursor Acute Lymphoblastic Leukemia.B细胞前体急性淋巴细胞白血病中的一种隐匿性NUP214-ABL1融合
J Pediatr Hematol Oncol. 2018 Aug;40(6):e397-e399. doi: 10.1097/MPH.0000000000001007.
10
Dasatinib and chemotherapy in a patient with early T-cell precursor acute lymphoblastic leukemia and fusion: A case report.达沙替尼与化疗用于一名伴有 融合的早期 T 细胞前体急性淋巴细胞白血病患者:病例报告
Exp Ther Med. 2017 Nov;14(5):3979-3984. doi: 10.3892/etm.2017.5046. Epub 2017 Aug 28.