• 文献检索
  • 文档翻译
  • 深度研究
  • 学术资讯
  • Suppr Zotero 插件Zotero 插件
  • 邀请有礼
  • 套餐&价格
  • 历史记录
应用&插件
Suppr Zotero 插件Zotero 插件浏览器插件Mac 客户端Windows 客户端微信小程序
定价
高级版会员购买积分包购买API积分包
服务
文献检索文档翻译深度研究API 文档MCP 服务
关于我们
关于 Suppr公司介绍联系我们用户协议隐私条款
关注我们

Suppr 超能文献

核心技术专利:CN118964589B侵权必究
粤ICP备2023148730 号-1Suppr @ 2026

文献检索

告别复杂PubMed语法,用中文像聊天一样搜索,搜遍4000万医学文献。AI智能推荐,让科研检索更轻松。

立即免费搜索

文件翻译

保留排版,准确专业,支持PDF/Word/PPT等文件格式,支持 12+语言互译。

免费翻译文档

深度研究

AI帮你快速写综述,25分钟生成高质量综述,智能提取关键信息,辅助科研写作。

立即免费体验

伴有淋巴囊肿的子宫内膜癌的自适应放射治疗:一例报告

Adaptive Radiotherapy for Carcinoma Endometrium With Lymphocele: A Case Report.

作者信息

Weerarathna Induni N, Uke Ashish, Jules Manishimwe, Dahake Shweta B, Luharia Anurag

机构信息

Biomedical Sciences, Datta Meghe Institute of Higher Education and Research, Wardha, IND.

Radiation Oncology, Datta Meghe Institute of Higher Education and Research, Wardha, IND.

出版信息

Cureus. 2024 Jul 30;16(7):e65775. doi: 10.7759/cureus.65775. eCollection 2024 Jul.

DOI:10.7759/cureus.65775
PMID:39211668
原文链接:https://pmc.ncbi.nlm.nih.gov/articles/PMC11361454/
Abstract

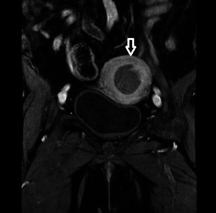
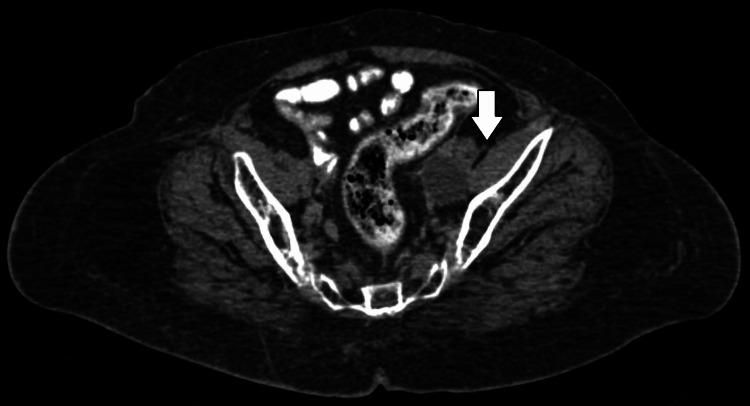
The case report details the adaptive radiotherapy management of a 75-year-old female diagnosed with high-grade endometrial carcinoma. The patient, who was known to be hypertensive with no other comorbidities and no family history of cancer, presented with a complaint of bleeding per vagina for six months. Following extensive investigations, she underwent a laparoscopic radical hysterectomy. Postoperative histopathology confirmed endometrial adenocarcinoma International Federation of Gynecology and Obstetrics (FIGO) stage IA, grade III. The adjuvant treatment plan included adjuvant chemoradiotherapy to the postoperative tumor bed and draining lymph nodes. On planning computed tomography (CT), the patient's lymphocele responded remarkably to radiation therapy, an unusual outcome that underscores the potential efficacy of adaptive radiotherapy in complex cases.

摘要

该病例报告详细介绍了一名75岁女性高级别子宫内膜癌的自适应放射治疗管理情况。该患者已知患有高血压,无其他合并症,且无癌症家族史,因阴道出血六个月前来就诊。经过广泛检查后,她接受了腹腔镜根治性子宫切除术。术后组织病理学证实为国际妇产科联盟(FIGO)IA期、III级子宫内膜腺癌。辅助治疗方案包括对术后肿瘤床和引流淋巴结进行辅助放化疗。在计划计算机断层扫描(CT)时,患者的淋巴囊肿对放射治疗反应显著,这一不寻常的结果突出了自适应放射治疗在复杂病例中的潜在疗效。

https://cdn.ncbi.nlm.nih.gov/pmc/blobs/2fcf/11361454/b8dae8683d7a/cureus-0016-00000065775-i05.jpg
https://cdn.ncbi.nlm.nih.gov/pmc/blobs/2fcf/11361454/1d0a63f353cc/cureus-0016-00000065775-i01.jpg
https://cdn.ncbi.nlm.nih.gov/pmc/blobs/2fcf/11361454/0dcbdfafe33c/cureus-0016-00000065775-i02.jpg
https://cdn.ncbi.nlm.nih.gov/pmc/blobs/2fcf/11361454/314a4de97089/cureus-0016-00000065775-i03.jpg
https://cdn.ncbi.nlm.nih.gov/pmc/blobs/2fcf/11361454/2e3ddda065ee/cureus-0016-00000065775-i04.jpg
https://cdn.ncbi.nlm.nih.gov/pmc/blobs/2fcf/11361454/b8dae8683d7a/cureus-0016-00000065775-i05.jpg
https://cdn.ncbi.nlm.nih.gov/pmc/blobs/2fcf/11361454/1d0a63f353cc/cureus-0016-00000065775-i01.jpg
https://cdn.ncbi.nlm.nih.gov/pmc/blobs/2fcf/11361454/0dcbdfafe33c/cureus-0016-00000065775-i02.jpg
https://cdn.ncbi.nlm.nih.gov/pmc/blobs/2fcf/11361454/314a4de97089/cureus-0016-00000065775-i03.jpg
https://cdn.ncbi.nlm.nih.gov/pmc/blobs/2fcf/11361454/2e3ddda065ee/cureus-0016-00000065775-i04.jpg
https://cdn.ncbi.nlm.nih.gov/pmc/blobs/2fcf/11361454/b8dae8683d7a/cureus-0016-00000065775-i05.jpg

相似文献

1
Adaptive Radiotherapy for Carcinoma Endometrium With Lymphocele: A Case Report.伴有淋巴囊肿的子宫内膜癌的自适应放射治疗:一例报告
Cureus. 2024 Jul 30;16(7):e65775. doi: 10.7759/cureus.65775. eCollection 2024 Jul.
2
The impact of adjuvant vaginal brachytherapy in women with Stage II uterine endometrioid carcinoma: Results of a National Cancer Database analysis.辅助阴道近距离放射治疗对II期子宫内膜样子宫癌女性患者的影响:一项国家癌症数据库分析结果
Brachytherapy. 2018 Mar-Apr;17(2):319-325. doi: 10.1016/j.brachy.2017.10.011. Epub 2017 Nov 23.
3
Low-dose adjuvant vaginal cylinder brachytherapy for early-stage non-endometrioid endometrial cancer: recurrence risk and survival outcomes.低剂量辅助阴道柱状施源器近距离放疗治疗早期非子宫内膜样型子宫内膜癌:复发风险和生存结局。
Int J Gynecol Cancer. 2020 Dec;30(12):1908-1914. doi: 10.1136/ijgc-2020-001623. Epub 2020 Jul 12.
4
Role of adjuvant chemotherapy in patients with FIGO stage IB grade 3 endometrial endometrioid adenocarcinoma treated with surgery and post-operative radiotherapy.手术和术后放疗治疗 FIGO 分期 IB 级 3 期子宫内膜内膜样腺癌患者中辅助化疗的作用。
Int J Gynecol Cancer. 2021 May;31(5):694-701. doi: 10.1136/ijgc-2021-002380. Epub 2021 Mar 19.
5
Stage 1C grade 3 endometrial cancer: the KK Hospital gynaecological oncology group experience.1C 期 3 级子宫内膜癌:KK 医院妇科肿瘤学组的经验。
Int J Gynecol Cancer. 2010 Dec;20(9):1557-62. doi: 10.1111/IGC.0b013e3181fc4ff2.
6
Outcomes and relapse patterns of stage IB grade 2 or 3 endometrial cancer treated with adjuvant vaginal brachytherapy.辅助阴道近距离放疗治疗 IIB 期分级 2 或 3 期子宫内膜癌的结果和复发模式。
Int J Gynecol Cancer. 2020 Jan;30(1):48-55. doi: 10.1136/ijgc-2019-000675. Epub 2019 Nov 12.
7
PORTEC-4a: international randomized trial of molecular profile-based adjuvant treatment for women with high-intermediate risk endometrial cancer.PORTEC-4a:基于分子谱的辅助治疗用于中高危子宫内膜癌患者的国际随机试验。
Int J Gynecol Cancer. 2020 Dec;30(12):2002-2007. doi: 10.1136/ijgc-2020-001929. Epub 2020 Oct 12.
8
[Synchronous primary cancers of the endometrium and ovary: review of 43 cases].[子宫内膜和卵巢同步原发性癌:43例病例回顾]
Zhonghua Zhong Liu Za Zhi. 2008 Sep;30(9):690-4.
9
Effective treatment of stage I uterine papillary serous carcinoma with high dose-rate vaginal apex radiation (192Ir) and chemotherapy.高剂量率阴道顶端放射治疗(192铱)联合化疗对Ⅰ期子宫浆液性乳头状癌的有效治疗
Int J Radiat Oncol Biol Phys. 1998 Jan 1;40(1):77-84. doi: 10.1016/s0360-3016(97)00581-6.
10
Vaginal brachytherapy alone is sufficient adjuvant treatment of surgical stage I endometrial cancer.单纯阴道近距离放疗是手术分期为I期子宫内膜癌的充分辅助治疗方法。
Int J Radiat Oncol Biol Phys. 2005 Aug 1;62(5):1379-84. doi: 10.1016/j.ijrobp.2005.01.026.

本文引用的文献

1
Evaluation of PTV margins with daily iterative online adaptive radiotherapy for postoperative treatment of endometrial and cervical cancer: a prospective single-arm phase 2 study.评估每日迭代在线自适应放疗在子宫内膜癌和宫颈癌术后治疗中的应用:一项前瞻性单臂 2 期研究。
Radiat Oncol. 2024 Jan 4;19(1):2. doi: 10.1186/s13014-023-02394-2.
2
An Overview of Endometrial Cancer with Novel Therapeutic Strategies.子宫内膜癌的治疗新策略概述。
Curr Oncol. 2023 Aug 27;30(9):7904-7919. doi: 10.3390/curroncol30090574.
3
The New Kid on the Block: Online Adaptive Radiotherapy in the Treatment of Gynecologic Cancers.
崭露头角:在线自适应放疗在妇科癌症治疗中的应用。
Curr Oncol. 2023 Jan 8;30(1):865-874. doi: 10.3390/curroncol30010066.
4
Current Approaches to the Management of Patients with Endometrial Cancer.子宫内膜癌患者的当前管理方法
Cancers (Basel). 2022 Sep 16;14(18):4500. doi: 10.3390/cancers14184500.
5
Adjuvant vaginal cuff brachytherapy in surgically treated endometrial carcinoma patients - in view of the recent evidence.手术治疗子宫内膜癌患者的辅助阴道残端近距离放疗——鉴于最新证据
J Contemp Brachytherapy. 2021 Apr;13(2):221-230. doi: 10.5114/jcb.2021.105291. Epub 2021 Apr 14.
6
Adaptive Radiation Therapy (ART) Strategies and Technical Considerations: A State of the ART Review From NRG Oncology.自适应放射治疗(ART)策略与技术考量:来自NRG肿瘤学的ART综述现状
Int J Radiat Oncol Biol Phys. 2021 Mar 15;109(4):1054-1075. doi: 10.1016/j.ijrobp.2020.10.021. Epub 2020 Oct 24.
7
Adaptive Radiotherapy: Moving Into the Future.自适应放疗:迈向未来
Semin Radiat Oncol. 2019 Jul;29(3):181-184. doi: 10.1016/j.semradonc.2019.02.011.
8
Brachytherapy: A critical component of primary radiation therapy for cervical cancer: From the Society of Gynecologic Oncology (SGO) and the American Brachytherapy Society (ABS).近距离放射治疗:子宫颈癌原发性放射治疗的关键组成部分:来自妇科肿瘤学会(SGO)和美国近距离放射治疗学会(ABS)
Brachytherapy. 2019 Mar-Apr;18(2):123-132. doi: 10.1016/j.brachy.2018.11.009. Epub 2019 Jan 18.
9
Global cancer statistics 2018: GLOBOCAN estimates of incidence and mortality worldwide for 36 cancers in 185 countries.全球癌症统计数据 2018:GLOBOCAN 对全球 185 个国家/地区 36 种癌症的发病率和死亡率的估计。
CA Cancer J Clin. 2018 Nov;68(6):394-424. doi: 10.3322/caac.21492. Epub 2018 Sep 12.
10
Adaptive radiotherapy strategies for pelvic tumors - a systematic review of clinical implementations.盆腔肿瘤的自适应放疗策略——临床应用的系统评价
Acta Oncol. 2016 Aug;55(8):943-58. doi: 10.3109/0284186X.2016.1156738. Epub 2016 Apr 8.