Suppr超能文献

原发性肘关节置换术治疗复杂肱骨远端骨折

Primary Elbow Arthroplasty in the Management of Complex Distal Humerus Fractures.

作者信息

Mahajan Uday D, Memon Kashif, Mehta Sonu, Chan Samuel, Spurrier Edward, Kalogrianitis Socrates

机构信息

Trauma and Orthopedics, Queen Elizabeth Hospital Birmingham, Birmingham, GBR.

Trauma and Orthopedics, Glan Clwyd Hospital, Rhyl, GBR.

出版信息

Cureus. 2024 Jul 31;16(7):e65851. doi: 10.7759/cureus.65851. eCollection 2024 Jul.

Abstract

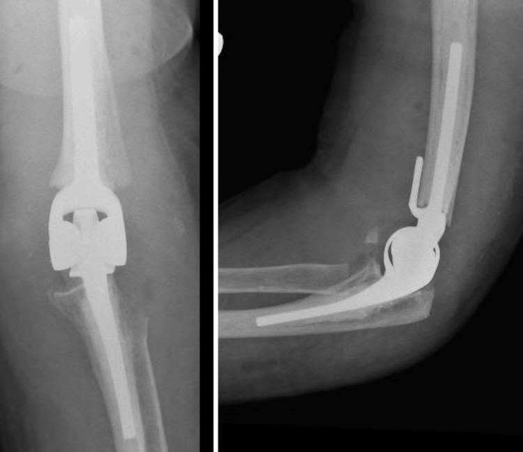
Introduction Complex distal humerus fractures pose significant challenges in orthopedic surgery, especially when traditional open reduction and internal fixation (ORIF) is not feasible. Primary elbow arthroplasty has emerged as an alternative treatment option for these fractures, but its application remains limited. This study aimed to evaluate the functional outcomes, patient selection criteria, and follow-up results of primary elbow arthroplasty in the management of complex distal humerus fractures. Methods A retrospective review was conducted on 15 patients who underwent primary elbow arthroplasty for Orthopaedic Trauma Association (OTA) type C distal humerus fractures between 2017 and 2023 at our institution. Inclusion criteria were patients aged 18 years or older who were offered either total elbow or hemiarthroplasty for acute complex distal humerus fracture. Data were collected from patient medical records, including demographic information, fracture classification, surgical details, and postoperative follow-up. Functional outcomes were assessed using the Oxford Elbow Score (OES) and Mayo Elbow Performance Score (MEPS). Complications were documented, and descriptive statistics were used to summarise the findings. Results The mean age of the patients was 71.8 years (IQR 17 years), with 12 females and three males. The mean time to surgery was 14.7 days post-injury (IQR: 12 days). The mean follow-up duration was 52 weeks (range: 8-234 weeks, IQR: 27 weeks) and variability was noted. The mean flexion-extension arc at the final follow-up was 93° (IQR: 32.5°). The mean OES was 46 (IQR: 22), and the mean MEPS was 75 (IQR: 37), indicating good to excellent functional outcomes. Scores for two patients were not available due to dementia. Reported complications included one case of ulnar sensory symptoms and one case requiring metalwork removal following olecranon osteotomy. Conclusion Primary elbow arthroplasty provides a viable treatment option for complex distal humerus fractures, demonstrating significant functional improvements and high patient satisfaction. However, the variability in follow-up and subjective decision-making underscores the need for standardized protocols. Future multicenter, prospective studies with larger cohorts and standardized follow-up protocols are recommended to confirm these findings and optimize patient care.

摘要

引言

复杂的肱骨远端骨折在骨科手术中带来了重大挑战,尤其是在传统的切开复位内固定术(ORIF)不可行时。初次肘关节置换术已成为这些骨折的一种替代治疗选择,但其应用仍然有限。本研究旨在评估初次肘关节置换术治疗复杂肱骨远端骨折的功能结果、患者选择标准和随访结果。

方法

对2017年至2023年期间在我院接受初次肘关节置换术治疗骨科创伤协会(OTA)C型肱骨远端骨折的15例患者进行回顾性研究。纳入标准为年龄18岁及以上、因急性复杂肱骨远端骨折接受全肘关节置换术或半关节置换术的患者。从患者病历中收集数据,包括人口统计学信息、骨折分类、手术细节和术后随访情况。使用牛津肘关节评分(OES)和梅奥肘关节功能评分(MEPS)评估功能结果。记录并发症情况,并采用描述性统计方法总结研究结果。

结果

患者的平均年龄为71.8岁(四分位间距为17岁),其中女性12例,男性3例。平均手术时间为伤后14.7天(四分位间距:12天)。平均随访时间为52周(范围:8 - 234周,四分位间距:27周),且存在变异性。末次随访时的平均屈伸弧度为93°(四分位间距:32.5°)。平均OES为46(四分位间距:22),平均MEPS为75(四分位间距:37),表明功能结果良好至优秀。由于痴呆,两名患者的评分未获得。报告的并发症包括1例尺侧感觉症状和1例鹰嘴截骨术后需要取出金属植入物的病例。

结论

初次肘关节置换术为复杂肱骨远端骨折提供了一种可行的治疗选择,显示出显著的功能改善和较高的患者满意度。然而,随访的变异性和主观决策强调了标准化方案的必要性。建议未来进行多中心、前瞻性研究,纳入更大的队列并采用标准化随访方案,以证实这些发现并优化患者护理。

https://cdn.ncbi.nlm.nih.gov/pmc/blobs/2d74/11364086/65e05f423847/cureus-0016-00000065851-i01.jpg

文献检索

告别复杂PubMed语法,用中文像聊天一样搜索,搜遍4000万医学文献。AI智能推荐,让科研检索更轻松。

立即免费搜索

文件翻译

保留排版,准确专业,支持PDF/Word/PPT等文件格式,支持 12+语言互译。

免费翻译文档

深度研究

AI帮你快速写综述,25分钟生成高质量综述,智能提取关键信息,辅助科研写作。

立即免费体验