• 文献检索
  • 文档翻译
  • 深度研究
  • 学术资讯
  • Suppr Zotero 插件Zotero 插件
  • 邀请有礼
  • 套餐&价格
  • 历史记录
应用&插件
Suppr Zotero 插件Zotero 插件浏览器插件Mac 客户端Windows 客户端微信小程序
定价
高级版会员购买积分包购买API积分包
服务
文献检索文档翻译深度研究API 文档MCP 服务
关于我们
关于 Suppr公司介绍联系我们用户协议隐私条款
关注我们

Suppr 超能文献

核心技术专利:CN118964589B侵权必究
粤ICP备2023148730 号-1Suppr @ 2026

文献检索

告别复杂PubMed语法,用中文像聊天一样搜索,搜遍4000万医学文献。AI智能推荐,让科研检索更轻松。

立即免费搜索

文件翻译

保留排版,准确专业,支持PDF/Word/PPT等文件格式,支持 12+语言互译。

免费翻译文档

深度研究

AI帮你快速写综述,25分钟生成高质量综述,智能提取关键信息,辅助科研写作。

立即免费体验

采用带股骨距柄的双极半髋关节置换术治疗老年不稳定型股骨转子间骨折中股骨近端抗旋髓内钉-亚洲型(PFNA2)失败病例

Bipolar Hemiarthroplasty With a Calcar Stem for the Management of a Failed Proximal Femoral Nail Anti-rotation Asia (PFNA2) in a Case of Geriatric Unstable Intertrochanteric Femur Fracture.

作者信息

Phalak Mukesh O, Chaudhari Tushar, Chaudhari Ajinkya K

机构信息

Department of Orthopaedics, Dr. D. Y. Patil Medical College, Hospital and Research Centre, Dr. D. Y. Patil Vidyapeeth (Deemed to be University), Pune, IND.

出版信息

Cureus. 2024 Aug 1;16(8):e65980. doi: 10.7759/cureus.65980. eCollection 2024 Aug.

DOI:10.7759/cureus.65980
PMID:39221337
原文链接:https://pmc.ncbi.nlm.nih.gov/articles/PMC11366385/
Abstract

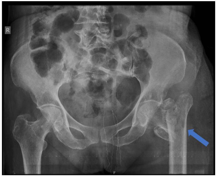
Intertrochanteric (IT) femur fractures in the elderly population comprise a major part of geriatric trauma and fractures. There are various modalities of surgical management, ranging from intramedullary fixation and extramedullary fixation to even replacing the hip joint. Apart from the surgeon's choice, other factors, such as geriatric age, bone quality and osteoporosis, medical comorbidities, life expectancy, pre-operative ambulatory status, muscle strength, type and pattern of fracture, and mental health of the patient, play vital roles in determining the ideal modality of management and the long-term outcome. The present case is a 75-year-old lady who had an IT fracture due to a domestic fall, managed surgically with a proximal femoral nail anti-rotation Asia (PFNA2) for an unstable fracture. She presented with blade back-out on the 11th day postoperatively. The patient was investigated thoroughly, and infection was ruled out. She was managed by the removal of the nail, followed by a cemented calcar-replacing bipolar hemiarthroplasty for an unstable comminuted IT fracture. The patient was ambulatory with a walker by the seventh postoperative day and without a walker by the sixth week, and she was self-sufficient in her activities of daily living. Every geriatric IT fracture must be evaluated thoroughly for contributing factors, such as osteoporosis and fracture pattern, to predict outcomes, and a tailor-made strategy of surgical management and stepwise physiotherapy must be provided to the patient for the best results.

摘要

老年人群中的股骨粗隆间骨折是老年创伤和骨折的主要组成部分。手术治疗方式多种多样,从髓内固定、髓外固定到甚至髋关节置换。除了外科医生的选择外,其他因素,如老年年龄、骨质质量和骨质疏松症、合并症、预期寿命、术前活动状态、肌肉力量、骨折类型和形态以及患者的心理健康,在确定理想的治疗方式和长期预后方面起着至关重要的作用。本病例是一位75岁的女性,因在家中跌倒导致股骨粗隆间骨折,对于不稳定骨折采用股骨近端抗旋髓内钉亚洲版(PFNA2)进行手术治疗。她在术后第11天出现刀片退出。对患者进行了全面检查,排除了感染。通过取出髓内钉对其进行治疗,随后针对不稳定的粉碎性股骨粗隆间骨折进行了骨水泥型股骨距替代双极半髋关节置换术。患者术后第7天借助助行器可行走,术后第6周无需助行器,并且在日常生活活动中能够自理。每一例老年股骨粗隆间骨折都必须对骨质疏松症和骨折形态等促成因素进行全面评估,以预测预后,并且必须为患者提供量身定制的手术治疗策略和逐步的物理治疗,以获得最佳效果。

https://cdn.ncbi.nlm.nih.gov/pmc/blobs/e990/11366385/f8ac0019c7cf/cureus-0016-00000065980-i04.jpg
https://cdn.ncbi.nlm.nih.gov/pmc/blobs/e990/11366385/fa200caadaca/cureus-0016-00000065980-i01.jpg
https://cdn.ncbi.nlm.nih.gov/pmc/blobs/e990/11366385/fb2f636cb3dc/cureus-0016-00000065980-i02.jpg
https://cdn.ncbi.nlm.nih.gov/pmc/blobs/e990/11366385/8b28c8e9aeac/cureus-0016-00000065980-i03.jpg
https://cdn.ncbi.nlm.nih.gov/pmc/blobs/e990/11366385/f8ac0019c7cf/cureus-0016-00000065980-i04.jpg
https://cdn.ncbi.nlm.nih.gov/pmc/blobs/e990/11366385/fa200caadaca/cureus-0016-00000065980-i01.jpg
https://cdn.ncbi.nlm.nih.gov/pmc/blobs/e990/11366385/fb2f636cb3dc/cureus-0016-00000065980-i02.jpg
https://cdn.ncbi.nlm.nih.gov/pmc/blobs/e990/11366385/8b28c8e9aeac/cureus-0016-00000065980-i03.jpg
https://cdn.ncbi.nlm.nih.gov/pmc/blobs/e990/11366385/f8ac0019c7cf/cureus-0016-00000065980-i04.jpg

相似文献

1
Bipolar Hemiarthroplasty With a Calcar Stem for the Management of a Failed Proximal Femoral Nail Anti-rotation Asia (PFNA2) in a Case of Geriatric Unstable Intertrochanteric Femur Fracture.采用带股骨距柄的双极半髋关节置换术治疗老年不稳定型股骨转子间骨折中股骨近端抗旋髓内钉-亚洲型(PFNA2)失败病例
Cureus. 2024 Aug 1;16(8):e65980. doi: 10.7759/cureus.65980. eCollection 2024 Aug.
2
Treatment of Failed Proximal Femoral Nail Anti-rotation Asia (PFNA2) in a Severely Osteoporotic Patient With a Revision Stem.严重骨质疏松患者使用翻修柄治疗失败的亚洲型股骨近端抗旋髓内钉(PFNA2)
Cureus. 2024 Feb 28;16(2):e55152. doi: 10.7759/cureus.55152. eCollection 2024 Feb.
3
Surgical and Functional Outcomes of the Results of Conventional Two-Screw Proximal Femoral Nail (PFN) Versus Helical-Blade Anti-rotation Proximal Femoral Nail (PFNA2).传统双螺钉股骨近端髓内钉(PFN)与螺旋刀片抗旋股骨近端髓内钉(PFNA2)手术及功能结果对比
Cureus. 2023 Aug 18;15(8):e43698. doi: 10.7759/cureus.43698. eCollection 2023 Aug.
4
Comparison of radiological and functional outcome of unstable intertrochanteric femur fractures treated using PFN and PFNA-2 in patients with osteoporosis.骨质疏松症患者中使用PFN和PFNA-2治疗不稳定型股骨粗隆间骨折的放射学和功能结果比较。
Eur J Orthop Surg Traumatol. 2019 Jul;29(5):1035-1042. doi: 10.1007/s00590-019-02401-x. Epub 2019 Feb 18.
5
Comparison of Twin Screw Derotation Type Versus Single Helical Blade Type Cephalomedullary Nail in the Management of Unstable Intertrochanteric Fractures.双螺旋去旋型与单螺旋刀片型股骨近端髓内钉治疗不稳定型股骨转子间骨折的比较
Cureus. 2024 Jun 4;16(6):e61638. doi: 10.7759/cureus.61638. eCollection 2024 Jun.
6
[Comparison of clinical effect betweem reconstructing femoral calcar and proximal femoral antirotation nail for the treatment of unstable femoral intertrochanteric fracture in elderly patients].老年不稳定型股骨转子间骨折重建股骨距与股骨近端抗旋髓内钉治疗的临床效果比较
Zhongguo Gu Shang. 2016 Aug 25;29(8):684-688. doi: 10.3969/j.issn.1003-0034.2016.08.002.
7
Evaluation of proximal femoral nail-antirotation and cemented, bipolar hemiarthroplasty with calcar replacement in treatment of intertrochanteric femoral fractures in terms of mortality and morbidity ratios.评估股骨近端防旋髓内钉与骨水泥型双极半髋关节置换术加股骨距置换术在治疗股骨转子间骨折方面的死亡率和发病率。
Eklem Hastalik Cerrahisi. 2017 Apr;28(1):35-40. doi: 10.5606/ehc.2017.53247.
8
Proximal femoral nail antirotation versus cemented calcar-replacement hemiarthroplasty for unstable intertrochanteric fracture in elderly: an overall survival study.股骨近端防旋髓内钉与骨水泥强化臼杯置换术治疗老年不稳定型转子间骨折:一项总体生存研究。
Turk J Med Sci. 2022 Apr;52(2):463-466. doi: 10.55730/1300-0144.5334. Epub 2022 Apr 14.
9
Functional Outcomes of Bipolar Hemiarthroplasty in Unstable Intertrochanteric Femur Fractures in the Elderly: A Prospective Study.老年不稳定型股骨转子间骨折双极半髋关节置换术的功能结果:一项前瞻性研究。
Cureus. 2024 Jul 30;16(7):e65731. doi: 10.7759/cureus.65731. eCollection 2024 Jul.
10
Cementless distal fixation modular stem without reconstruction of femoral calcar for unstable intertrochanteric fracture in patients aged 75 years or more.对于 75 岁及以上不稳定转子间骨折患者,采用无重建股骨距的骨水泥型远端固定模块化柄。
Orthop Traumatol Surg Res. 2019 Feb;105(1):35-39. doi: 10.1016/j.otsr.2018.11.015. Epub 2019 Jan 10.

本文引用的文献

1
The Asia proximal femoral nail antirotation versus the standard proximal femoral antirotation nail for unstable intertrochanteric fractures in elderly Chinese patients.亚洲型股骨近端防旋髓内钉与标准股骨近端防旋髓内钉治疗中国老年患者不稳定型股骨转子间骨折的比较
Orthop Traumatol Surg Res. 2015 Apr;101(2):143-6. doi: 10.1016/j.otsr.2014.12.011. Epub 2015 Feb 18.
2
Predictors of failure for cephalomedullary nailing of proximal femoral fractures.股骨近端骨折顺行髓内钉固定失败的预测因素。
Bone Joint J. 2014 Aug;96-B(8):1029-34. doi: 10.1302/0301-620X.96B8.33644.
3
Comparison between bipolar hemiarthroplasty and total hip arthroplasty for unstable intertrochanteric fractures in elderly osteoporotic patients.
双极半髋关节置换术与全髋关节置换术治疗老年骨质疏松不稳定转子间骨折的比较。
PLoS One. 2012;7(6):e39531. doi: 10.1371/journal.pone.0039531. Epub 2012 Jun 22.
4
Arthroplasty options in femoral-neck fracture: answers from the national registries.人工关节置换术在股骨颈骨折中的选择:来自国家注册中心的答案。
Int Orthop. 2012 Jan;36(1):1-8. doi: 10.1007/s00264-011-1354-z. Epub 2011 Sep 20.
5
Osteoporosis in Indians.印度人的骨质疏松症
Indian J Med Res. 2008 Mar;127(3):263-8.
6
["Cutting out" in pertrochanteric fractures--problem of osteoporosis?].转子间骨折中的“骨块切除”——骨质疏松问题?
Unfallchirurg. 2007 May;110(5):425-32. doi: 10.1007/s00113-007-1248-0.
7
Cementless calcar-replacement hemiarthroplasty compared with intramedullary fixation of unstable intertrochanteric fractures. A prospective, randomized study.非骨水泥型股骨距置换半髋关节成形术与不稳定型股骨转子间骨折髓内固定的比较:一项前瞻性随机研究。
J Bone Joint Surg Am. 2005 Oct;87(10):2186-92. doi: 10.2106/JBJS.D.02768.
8
[A comparative study of unstable per- and intertrochanteric femoral fractures treated with dynamic hip screw (DHS) and trochanteric butt-press plate vs. proximal femoral nail (PFN)].动力髋螺钉(DHS)和粗隆间加压钢板与股骨近端髓内钉(PFN)治疗不稳定型股骨转子间及转子下骨折的比较研究
Zentralbl Chir. 2005 Aug;130(4):301-6. doi: 10.1055/s-2005-836784.
9
Early mortality after hip fracture: is delay before surgery important?髋部骨折后的早期死亡率:手术前的延迟是否重要?
J Bone Joint Surg Am. 2005 Mar;87(3):483-9. doi: 10.2106/JBJS.D.01796.
10
Intramedullary hip screw versus sliding hip screw for unstable intertrochanteric femoral fractures in the elderly.髓内髋螺钉与动力髋螺钉治疗老年不稳定型股骨转子间骨折的比较
Injury. 2002 Jan;33(1):23-8. doi: 10.1016/s0020-1383(01)00106-1.