• 文献检索
  • 文档翻译
  • 深度研究
  • 学术资讯
  • Suppr Zotero 插件Zotero 插件
  • 邀请有礼
  • 套餐&价格
  • 历史记录
应用&插件
Suppr Zotero 插件Zotero 插件浏览器插件Mac 客户端Windows 客户端微信小程序
定价
高级版会员购买积分包购买API积分包
服务
文献检索文档翻译深度研究API 文档MCP 服务
关于我们
关于 Suppr公司介绍联系我们用户协议隐私条款
关注我们

Suppr 超能文献

核心技术专利:CN118964589B侵权必究
粤ICP备2023148730 号-1Suppr @ 2026

文献检索

告别复杂PubMed语法,用中文像聊天一样搜索,搜遍4000万医学文献。AI智能推荐,让科研检索更轻松。

立即免费搜索

文件翻译

保留排版,准确专业,支持PDF/Word/PPT等文件格式,支持 12+语言互译。

免费翻译文档

深度研究

AI帮你快速写综述,25分钟生成高质量综述,智能提取关键信息,辅助科研写作。

立即免费体验

登革热脑炎——一组罕见病例

Dengue encephalitis - An unusual case series.

作者信息

Khosla Saniya, Chauhan Rahul, Aggarwal Ayush, Patel Nupur B

机构信息

Department of Anaesthesia and Critical Care, Shri Guru Ram Rai Institute of Medical and Health Sciences, Dehradun, Uttarakhand, India.

Department of Critical Care Medicine, Shri Guru Ram Rai Institute of Medical and Health Sciences, Dehradun, Uttarakhand, India.

出版信息

J Family Med Prim Care. 2024 Aug;13(8):3420-3423. doi: 10.4103/jfmpc.jfmpc_413_24. Epub 2024 Jul 26.

DOI:10.4103/jfmpc.jfmpc_413_24
PMID:39228545
原文链接:https://pmc.ncbi.nlm.nih.gov/articles/PMC11368377/
Abstract

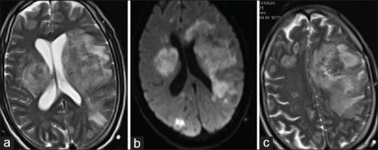
Dengue infection can take on many different forms, ranging from no symptoms to a mild fever, all the way to a severe condition known as dengue shock syndrome. Although the typical symptoms of dengue are well known, the virus can also cause rare neurological complications. Dengue encephalitis is a severe form of neuroinvasive dengue that can be fatal as the virus directly affects the central nervous system. This case series provides a comprehensive overview of dengue, its clinical spectrum, and the potential for severe neurological complications such as dengue encephalitis. It highlights the importance of considering dengue as a possible diagnosis in patients with encephalitis, particularly during a dengue epidemic.

摘要

登革热感染可呈现多种不同形式,从无症状到轻度发热,直至发展为一种名为登革热休克综合征的严重病症。尽管登革热的典型症状广为人知,但该病毒也可能引发罕见的神经系统并发症。登革热脑炎是神经侵袭性登革热的一种严重形式,由于病毒直接影响中枢神经系统,可能会导致死亡。本病例系列全面概述了登革热、其临床谱以及诸如登革热脑炎等严重神经系统并发症的可能性。它强调了在脑炎患者中,尤其是在登革热流行期间,将登革热视为一种可能诊断的重要性。

https://cdn.ncbi.nlm.nih.gov/pmc/blobs/d722/11368377/814d2fa2117c/JFMPC-13-3420-g006.jpg
https://cdn.ncbi.nlm.nih.gov/pmc/blobs/d722/11368377/5701d0bfa8b8/JFMPC-13-3420-g001.jpg
https://cdn.ncbi.nlm.nih.gov/pmc/blobs/d722/11368377/13c488b8cfb8/JFMPC-13-3420-g002.jpg
https://cdn.ncbi.nlm.nih.gov/pmc/blobs/d722/11368377/2f078d07dc7c/JFMPC-13-3420-g003.jpg
https://cdn.ncbi.nlm.nih.gov/pmc/blobs/d722/11368377/3c3686fabeab/JFMPC-13-3420-g004.jpg
https://cdn.ncbi.nlm.nih.gov/pmc/blobs/d722/11368377/a2f1317e344f/JFMPC-13-3420-g005.jpg
https://cdn.ncbi.nlm.nih.gov/pmc/blobs/d722/11368377/814d2fa2117c/JFMPC-13-3420-g006.jpg
https://cdn.ncbi.nlm.nih.gov/pmc/blobs/d722/11368377/5701d0bfa8b8/JFMPC-13-3420-g001.jpg
https://cdn.ncbi.nlm.nih.gov/pmc/blobs/d722/11368377/13c488b8cfb8/JFMPC-13-3420-g002.jpg
https://cdn.ncbi.nlm.nih.gov/pmc/blobs/d722/11368377/2f078d07dc7c/JFMPC-13-3420-g003.jpg
https://cdn.ncbi.nlm.nih.gov/pmc/blobs/d722/11368377/3c3686fabeab/JFMPC-13-3420-g004.jpg
https://cdn.ncbi.nlm.nih.gov/pmc/blobs/d722/11368377/a2f1317e344f/JFMPC-13-3420-g005.jpg
https://cdn.ncbi.nlm.nih.gov/pmc/blobs/d722/11368377/814d2fa2117c/JFMPC-13-3420-g006.jpg

相似文献

1
Dengue encephalitis - An unusual case series.登革热脑炎——一组罕见病例
J Family Med Prim Care. 2024 Aug;13(8):3420-3423. doi: 10.4103/jfmpc.jfmpc_413_24. Epub 2024 Jul 26.
2
Dengue Encephalitis: A Case Series on a Rare Presentation of Dengue Fever.登革热脑炎:登革热罕见表现的病例系列
Cureus. 2022 Jan 25;14(1):e21615. doi: 10.7759/cureus.21615. eCollection 2022 Jan.
3
Clinico-radiological profile and outcome of dengue patients with central nervous system manifestations: A case series in an Eastern India tertiary care hospital.登革热患者出现中枢神经系统表现的临床放射学特征及预后:印度东部一家三级护理医院的病例系列研究
J Neurosci Rural Pract. 2016 Jan-Mar;7(1):114-24. doi: 10.4103/0976-3147.165410.
4
Neurological Complications of Dengue Fever.登革热的神经系统并发症。
Curr Neurol Neurosci Rep. 2022 Aug;22(8):515-529. doi: 10.1007/s11910-022-01213-7. Epub 2022 Jun 21.
5
A rare case of dengue encephalitis.一例罕见的登革热脑炎病例。
BMJ Case Rep. 2013 Feb 13;2013:bcr2012008229. doi: 10.1136/bcr-2012-008229.
6
Dengue encephalitis-A rare manifestation of dengue fever.登革热脑炎——登革热的一种罕见表现。
Asian Pac J Trop Biomed. 2014 May;4(Suppl 1):S70-2. doi: 10.12980/APJTB.4.2014C1006.
7
Cerebral vasculitis and lateral rectus palsy - two rare central nervous system complications of dengue fever: two case reports and review of the literature.脑脊髓炎和外直肌麻痹——登革热两种罕见的中枢神经系统并发症:两例病例报告及文献综述
J Med Case Rep. 2018 Apr 19;12(1):100. doi: 10.1186/s13256-018-1627-x.
8
Early central nervous system involvement in a young patient with dengue encephalitis.一名年轻登革热脑炎患者早期出现中枢神经系统受累。
Med J Malaysia. 2016 Feb;71(1):41-3.
9
A rare case of dengue encephalopathy complicating a term pregnancy.一例罕见的登革热脑病合并足月妊娠病例。
BMC Res Notes. 2017 Feb 2;10(1):79. doi: 10.1186/s13104-017-2391-5.
10
Rare case of dengue encephalitis with extensive brain lesions from Pakistan.来自巴基斯坦的罕见登革热脑炎伴广泛脑部病变病例。
BMJ Case Rep. 2022 Nov 25;15(11):e250271. doi: 10.1136/bcr-2022-250271.

本文引用的文献

1
Dengue Encephalitis: A Case Series on a Rare Presentation of Dengue Fever.登革热脑炎:登革热罕见表现的病例系列
Cureus. 2022 Jan 25;14(1):e21615. doi: 10.7759/cureus.21615. eCollection 2022 Jan.
2
Neurological Manifestations of Dengue Infection.登革热感染的神经表现。
Front Cell Infect Microbiol. 2017 Oct 25;7:449. doi: 10.3389/fcimb.2017.00449. eCollection 2017.
3
Dengue encephalitis-A rare manifestation of dengue fever.登革热脑炎——登革热的一种罕见表现。
Asian Pac J Trop Biomed. 2014 May;4(Suppl 1):S70-2. doi: 10.12980/APJTB.4.2014C1006.
4
A rare case of dengue encephalitis.一例罕见的登革热脑炎病例。
BMJ Case Rep. 2013 Feb 13;2013:bcr2012008229. doi: 10.1136/bcr-2012-008229.
5
Dengue encephalitis.登革热脑炎
Indian J Crit Care Med. 2011 Jul;15(3):190-3. doi: 10.4103/0972-5229.84896.