Suppr超能文献

阿达木单抗能否预防脂多糖诱导的大鼠肾损伤的急性效应?

Can adalimumab prevent from acute effects of lipopolysaccharide induced renal injury in rats?

机构信息

İzmir Katip Çelebi University - Faculty of Medicine - Department of Pathology - İzmir - Turkey.

Acıbadem Eskişehir Hospital - Department of Otorhinolaryngology - Eskisehir - Turkey.

出版信息

Acta Cir Bras. 2024 Sep 2;39:e394624. doi: 10.1590/acb394624. eCollection 2024.

Abstract

PURPOSE

Lipopolysaccharides is well-known in the acute renal injury process. It causes widespread activation of inflammatory cascades. Tumor necrosis factor (TNF)-α and interleukin (Il)-6 are essential proinflammatory cytokines that can induce the production of other cytokines in host response. Adalimumab suppresses TNF-α, IL-1β, and IL-6. We aimed to evaluate whether adalimumab would prevent the toxicity of lipopolysaccharide on the rat renal tissue.

METHODS

Adult female Wistar rats were divided into four groups. To the control group, only intraperitoneal saline injection procedure was carried out. For adalimumab group, adalimumab was injected at a dose for two days. For lipopolysaccharide group, animals were injected with lipopolysaccharide (a dose). For lipopolysaccharide-adalimumab group, animals were given adalimumab treatment before the injection of lipopolysaccharide. Histopathological changes and immunohistochemical analysis for TNF-α and IL-6 were determined.

RESULTS

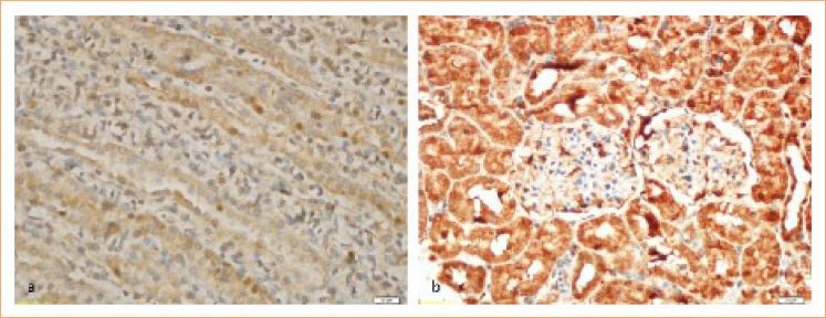
The pathological changes and immunohistochemical staining for TNF-α or IL-6 were similar for control and adalimumab groups (p > 0.05). The lipopolysaccharide group had significantly higher distorted features in the renal tissues (p < 0.001), and also significantly prominent immunohistochemical staining for TNF-α or IL-6 (0.003), compared to the control group. No severe pathological feature was detected in the lipopolysaccharide-adalimumab group, but moderate necrosis was found in all cases (p = 0.003). TNF-α staining and IL-6 staining in the lipopolysaccharide group was found to significantly prominent compared to lipopolysaccharide-adalimumab group (p = 0.013).

CONCLUSIONS

Because of its anti-inflammatory property, adalimumab pretreatment may have protective effects on experimental kidney injury. Adalimumab could be considered as a protective agent to acute effects of lipopolysaccharide induced renal injury.

摘要

目的

脂多糖在急性肾损伤过程中是众所周知的。它会引起炎症级联的广泛激活。肿瘤坏死因子(TNF)-α 和白细胞介素(IL)-6 是必不可少的促炎细胞因子,可诱导宿主反应中其他细胞因子的产生。阿达木单抗抑制 TNF-α、IL-1β 和 IL-6。我们旨在评估阿达木单抗是否会预防脂多糖对大鼠肾组织的毒性。

方法

将成年雌性 Wistar 大鼠分为四组。对照组仅进行腹腔生理盐水注射。阿达木单抗组连续两天注射阿达木单抗。脂多糖组注射脂多糖(剂量)。脂多糖-阿达木单抗组在注射脂多糖前给予阿达木单抗治疗。通过组织病理学变化和 TNF-α 和 IL-6 的免疫组织化学分析来确定。

结果

对照组和阿达木单抗组的组织病理学变化和 TNF-α 或 IL-6 的免疫组织化学染色相似(p > 0.05)。脂多糖组的肾脏组织有明显更严重的扭曲特征(p < 0.001),TNF-α 或 IL-6 的免疫组织化学染色也明显更显著(0.003),与对照组相比。脂多糖-阿达木单抗组未发现严重的组织病理学特征,但所有病例均发现中度坏死(p = 0.003)。与脂多糖-阿达木单抗组相比,脂多糖组的 TNF-α 染色和 IL-6 染色明显更显著(p = 0.013)。

结论

由于其抗炎特性,阿达木单抗预处理可能对实验性肾损伤具有保护作用。阿达木单抗可被视为一种保护剂,以预防脂多糖引起的急性肾损伤。

https://cdn.ncbi.nlm.nih.gov/pmc/blobs/dc1a/11368208/e805b50dfa48/1678-2674-acb-39-e394624-gf01.jpg

文献检索

告别复杂PubMed语法,用中文像聊天一样搜索,搜遍4000万医学文献。AI智能推荐,让科研检索更轻松。

立即免费搜索

文件翻译

保留排版,准确专业,支持PDF/Word/PPT等文件格式,支持 12+语言互译。

免费翻译文档

深度研究

AI帮你快速写综述,25分钟生成高质量综述,智能提取关键信息,辅助科研写作。

立即免费体验