Suppr超能文献

经支气管冷冻活检诊断为酷似机化性肺炎的胰腺癌 Lepidic 型肺转移

Lepidic Pulmonary Metastasis from Pancreatic Carcinoma Mimicking Organizing Pneumonia, Diagnosed by a Transbronchial Cryobiopsy.

作者信息

Matsuoka Suzuka, Sato Ken, Takigawa Yuki, Senoo Satoru, Inoue Tomoyoshi, Fujiwara Miho, Watanabe Hiromi, Kudo Kenichiro, Sato Akiko, Fujiwara Keiichi, Shibayama Takuo

机构信息

Department of Respiratory Medicine, NHO Okayama Medical Center, Japan.

Department of Respiratory Medicine, NHO Fukuyama Medical Center, Japan.

出版信息

Intern Med. 2025 Apr 15;64(8):1211-1215. doi: 10.2169/internalmedicine.4348-24. Epub 2024 Sep 4.

Abstract

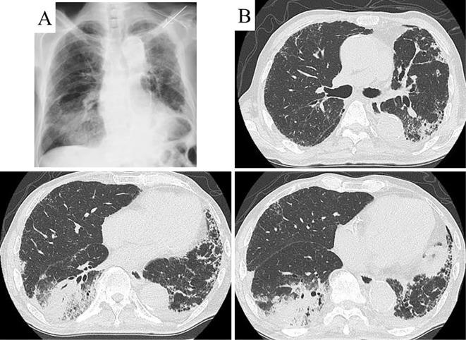
A 78-year-old man with a history of pancreatic carcinoma underwent chest computed tomography (CT), which revealed a slowly enlarging consolidation in the right lower lobe. Forceps and percutaneous CT-guided lung biopsies showed no evidence of malignancy; therefore, organizing pneumonia was suspected. However, the patient's serum carbohydrate antigen 19-9 levels increased monthly, raising concerns about malignant lesions. A transbronchial cryobiopsy (TBCB) was performed to confirm the diagnosis of pulmonary metastasis of the pancreatic carcinoma. Pulmonary metastasis is an important differential diagnosis when chest CT shows consolidation, mimicking organized pneumonia. In addition, a TBCB can be a useful diagnostic tool for detecting lepidic growth patterns.

摘要

一名有胰腺癌病史的78岁男性接受了胸部计算机断层扫描(CT),结果显示右下叶有一个逐渐增大的实变影。钳取活检和经皮CT引导下肺活检均未发现恶性证据;因此,怀疑为机化性肺炎。然而,患者的血清糖类抗原19-9水平每月都在升高,这引发了对恶性病变的担忧。为确诊胰腺癌肺转移,进行了经支气管冷冻活检(TBCB)。当胸部CT显示实变影,类似机化性肺炎时,肺转移是一个重要的鉴别诊断。此外,TBCB对于检测鳞屑样生长模式可能是一种有用的诊断工具。

https://cdn.ncbi.nlm.nih.gov/pmc/blobs/aab3/12097831/990b2103c94b/1349-7235-64-1211-g001.jpg

文献AI研究员

20分钟写一篇综述,助力文献阅读效率提升50倍。

立即体验

用中文搜PubMed

大模型驱动的PubMed中文搜索引擎

马上搜索

文档翻译

学术文献翻译模型,支持多种主流文档格式。

立即体验