• 文献检索
  • 文档翻译
  • 深度研究
  • 学术资讯
  • Suppr Zotero 插件Zotero 插件
  • 邀请有礼
  • 套餐&价格
  • 历史记录
应用&插件
Suppr Zotero 插件Zotero 插件浏览器插件Mac 客户端Windows 客户端微信小程序
定价
高级版会员购买积分包购买API积分包
服务
文献检索文档翻译深度研究API 文档MCP 服务
关于我们
关于 Suppr公司介绍联系我们用户协议隐私条款
关注我们

Suppr 超能文献

核心技术专利:CN118964589B侵权必究
粤ICP备2023148730 号-1Suppr @ 2026

文献检索

告别复杂PubMed语法,用中文像聊天一样搜索,搜遍4000万医学文献。AI智能推荐,让科研检索更轻松。

立即免费搜索

文件翻译

保留排版,准确专业,支持PDF/Word/PPT等文件格式,支持 12+语言互译。

免费翻译文档

深度研究

AI帮你快速写综述,25分钟生成高质量综述,智能提取关键信息,辅助科研写作。

立即免费体验

工程化 Ag 修饰的氧化石墨烯纳米光热平台,增强抗菌性能,促进感染性伤口愈合。

Engineering Ag-Decorated Graphene Oxide Nano-Photothermal Platforms with Enhanced Antibacterial Properties for Promoting Infectious Wound Healing.

机构信息

Department of Plastic Surgery, Tongren Hospital of Wuhan University (Wuhan Third Hospital), Wuhan, 430060, People's Republic of China.

Department of Dermatology, Renmin Hospital of Wuhan University, Wuhan, 430060, People's Republic of China.

出版信息

Int J Nanomedicine. 2024 Aug 30;19:8901-8927. doi: 10.2147/IJN.S474536. eCollection 2024.

DOI:10.2147/IJN.S474536
PMID:39233743
原文链接:https://pmc.ncbi.nlm.nih.gov/articles/PMC11372703/
Abstract

INTRODUCTION

Graphene oxide (GO) nanoparticles have emerged as a compelling photothermal agent (PHTA) in the realm of photothermal antibacterial therapy, owing to their cost-effectiveness, facile synthesis, and remarkable photostability. Nevertheless, the therapeutic efficacy of GO nanoparticles is commonly hindered by their inherent drawback of low photothermal conversion efficiency (PCE).

METHODS

Herein, we engineer the Ag/GO-GelMA platform by growing the Ag on the surface of GO and encapsulating the Ag/GO nanoparticles into the GelMA hydrogels.

RESULTS

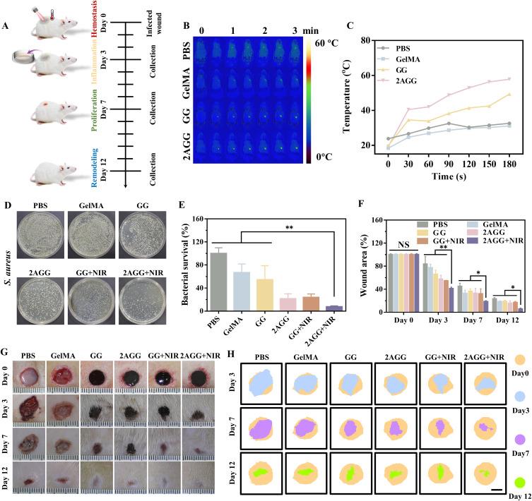
The resulting Ag/GO-GelMA platform demonstrates a significantly enhanced PCE (47.6%), surpassing that of pure GO (11.8%) by more than fourfold. As expected, the Ag/GO-GelMA platform, which was designed to integrate the benefits of Ag/GO nanoparticles (high PCE) and hydrogel (slowly releasing Ag to exert an inherent antibacterial effect), has been shown to exhibit exceptional antibacterial efficacy. Furthermore, transcriptome analyses demonstrated that the Ag/GO-GelMA platform could significantly down-regulate pathways linked to inflammation (the MAPK and PI3K-Akt pathways) and had the ability to promote cell migration.

DISCUSSION

Taken together, this study presents the design of a potent photothermal antibacterial platform (Ag/GO-GelMA) aimed at enhancing the healing of infectious wounds. The platform utilizes a handy method to enhance the PCE of GO, thereby making notable progress in the utilization of GO nano-PHTAs.

摘要

简介

氧化石墨烯(GO)纳米粒子因其成本效益高、合成简便和显著的光稳定性,已成为光热抗菌治疗领域有吸引力的光热剂(PHTA)。然而,GO 纳米粒子的治疗效果通常受到其固有低光热转换效率(PCE)的限制。

方法

我们通过在 GO 表面生长 Ag 并将 Ag/GO 纳米颗粒封装到 GelMA 水凝胶中来构建 Ag/GO-GelMA 平台。

结果

所得到的 Ag/GO-GelMA 平台表现出显著增强的 PCE(47.6%),比纯 GO(11.8%)提高了四倍以上。正如预期的那样,Ag/GO-GelMA 平台将 Ag/GO 纳米颗粒(高 PCE)和水凝胶(缓慢释放 Ag 以发挥固有抗菌作用)的优势结合在一起,表现出了出色的抗菌效果。此外,转录组分析表明,Ag/GO-GelMA 平台可以显著下调与炎症相关的途径(MAPK 和 PI3K-Akt 途径),并具有促进细胞迁移的能力。

讨论

总之,本研究提出了一种增强感染性伤口愈合能力的有效光热抗菌平台(Ag/GO-GelMA)的设计。该平台利用一种简便的方法来提高 GO 的 PCE,从而在 GO 纳米 PHTAs 的应用方面取得了显著进展。

https://cdn.ncbi.nlm.nih.gov/pmc/blobs/fcc5/11372703/652009400711/IJN-19-8901-g0010.jpg
https://cdn.ncbi.nlm.nih.gov/pmc/blobs/fcc5/11372703/30af2ef25a5f/IJN-19-8901-g0001.jpg
https://cdn.ncbi.nlm.nih.gov/pmc/blobs/fcc5/11372703/097c433457e4/IJN-19-8901-g0002.jpg
https://cdn.ncbi.nlm.nih.gov/pmc/blobs/fcc5/11372703/0c640df3a390/IJN-19-8901-g0003.jpg
https://cdn.ncbi.nlm.nih.gov/pmc/blobs/fcc5/11372703/264c2b77d3d7/IJN-19-8901-g0004.jpg
https://cdn.ncbi.nlm.nih.gov/pmc/blobs/fcc5/11372703/28a77ffe59d6/IJN-19-8901-g0005.jpg
https://cdn.ncbi.nlm.nih.gov/pmc/blobs/fcc5/11372703/05f5d625e1f2/IJN-19-8901-g0006.jpg
https://cdn.ncbi.nlm.nih.gov/pmc/blobs/fcc5/11372703/6f2d71021473/IJN-19-8901-g0007.jpg
https://cdn.ncbi.nlm.nih.gov/pmc/blobs/fcc5/11372703/e6d0ac37b21e/IJN-19-8901-g0008.jpg
https://cdn.ncbi.nlm.nih.gov/pmc/blobs/fcc5/11372703/eb929d23df44/IJN-19-8901-g0009.jpg
https://cdn.ncbi.nlm.nih.gov/pmc/blobs/fcc5/11372703/652009400711/IJN-19-8901-g0010.jpg
https://cdn.ncbi.nlm.nih.gov/pmc/blobs/fcc5/11372703/30af2ef25a5f/IJN-19-8901-g0001.jpg
https://cdn.ncbi.nlm.nih.gov/pmc/blobs/fcc5/11372703/097c433457e4/IJN-19-8901-g0002.jpg
https://cdn.ncbi.nlm.nih.gov/pmc/blobs/fcc5/11372703/0c640df3a390/IJN-19-8901-g0003.jpg
https://cdn.ncbi.nlm.nih.gov/pmc/blobs/fcc5/11372703/264c2b77d3d7/IJN-19-8901-g0004.jpg
https://cdn.ncbi.nlm.nih.gov/pmc/blobs/fcc5/11372703/28a77ffe59d6/IJN-19-8901-g0005.jpg
https://cdn.ncbi.nlm.nih.gov/pmc/blobs/fcc5/11372703/05f5d625e1f2/IJN-19-8901-g0006.jpg
https://cdn.ncbi.nlm.nih.gov/pmc/blobs/fcc5/11372703/6f2d71021473/IJN-19-8901-g0007.jpg
https://cdn.ncbi.nlm.nih.gov/pmc/blobs/fcc5/11372703/e6d0ac37b21e/IJN-19-8901-g0008.jpg
https://cdn.ncbi.nlm.nih.gov/pmc/blobs/fcc5/11372703/eb929d23df44/IJN-19-8901-g0009.jpg
https://cdn.ncbi.nlm.nih.gov/pmc/blobs/fcc5/11372703/652009400711/IJN-19-8901-g0010.jpg

相似文献

1
Engineering Ag-Decorated Graphene Oxide Nano-Photothermal Platforms with Enhanced Antibacterial Properties for Promoting Infectious Wound Healing.工程化 Ag 修饰的氧化石墨烯纳米光热平台,增强抗菌性能,促进感染性伤口愈合。
Int J Nanomedicine. 2024 Aug 30;19:8901-8927. doi: 10.2147/IJN.S474536. eCollection 2024.
2
A Hydrogel Dressing Comprised of Silk Fibroin, Ag Nanoparticles, and Reduced Graphene Oxide for NIR Photothermal-Enhanced Antibacterial Efficiency and Skin Regeneration.一种水凝胶敷料,由丝素蛋白、银纳米粒子和还原氧化石墨烯组成,用于近红外光热增强的抗菌效率和皮肤再生。
Adv Healthc Mater. 2024 Sep;13(23):e2400884. doi: 10.1002/adhm.202400884. Epub 2024 May 9.
3
Engineering Robust Ag-Decorated Polydopamine Nano-Photothermal Platforms to Combat Bacterial Infection and Prompt Wound Healing.工程化的 Ag 修饰的聚多巴胺纳米光热平台以对抗细菌感染和促进伤口愈合。
Adv Sci (Weinh). 2022 Apr;9(11):e2106015. doi: 10.1002/advs.202106015. Epub 2022 Feb 22.
4
Promoting the healing of infected diabetic wound by nanozyme-containing hydrogel with anti-bacterial inflammation suppressing, ROS-scavenging and oxygen-generating properties.具有抗菌、抗炎、清除 ROS 和产氧特性的含纳米酶水凝胶促进感染性糖尿病伤口愈合。
J Biomed Mater Res B Appl Biomater. 2024 Aug;112(8):e35458. doi: 10.1002/jbm.b.35458.
5
Bacteria-Derived Cellulose Membranes Modified with Graphene Oxide-Silver Nanoparticles for Accelerating Wound Healing.细菌衍生纤维素膜经氧化石墨烯-银纳米粒子修饰加速伤口愈合。
ACS Appl Bio Mater. 2024 Aug 19;7(8):5530-5540. doi: 10.1021/acsabm.4c00650. Epub 2024 Aug 2.
6
Advancement of Near-infrared (NIR) laser interceded surface enactment of proline functionalized graphene oxide with silver nanoparticles for proficient antibacterial, antifungal and wound recuperating therapy in nursing care in hospitals.近红外 (NIR) 激光介入的脯氨酸功能化氧化石墨烯与纳米银协同增效抗菌、抗真菌及促进伤口愈合作用的研究进展及其在医院护理中的应用。
J Photochem Photobiol B. 2018 Oct;187:89-95. doi: 10.1016/j.jphotobiol.2018.07.015. Epub 2018 Jul 18.
7
Fast fabrication of "all-in-one" injectable hydrogels as antibiotic alternatives for enhanced bacterial inhibition and accelerating wound healing.快速制备“一体化”可注射水凝胶作为抗生素替代品,以增强抑菌效果并加速伤口愈合。
J Nanobiotechnology. 2024 Jul 26;22(1):439. doi: 10.1186/s12951-024-02657-4.
8
Antibacterial Property of Composites of Reduced Graphene Oxide with Nano-Silver and Zinc Oxide Nanoparticles Synthesized Using a Microwave-Assisted Approach.使用微波辅助法合成的还原氧化石墨烯与纳米银和氧化锌纳米粒子复合材料的抗菌性能。
Int J Mol Sci. 2019 Oct 29;20(21):5394. doi: 10.3390/ijms20215394.
9
Functionalized GO Nanovehicles with Nitric Oxide Release and Photothermal Activity-Based Hydrogels for Bacteria-Infected Wound Healing.基于具有一氧化氮释放和光热活性的功能化 GO 纳米载体的水凝胶用于细菌感染性伤口愈合。
ACS Appl Mater Interfaces. 2020 Jul 1;12(26):28952-28964. doi: 10.1021/acsami.0c04080. Epub 2020 Jun 17.
10
Generation of a photothermally responsive antimicrobial, bioadhesive gelatin methacryloyl (GelMA) based hydrogel through 3D printing for infectious wound healing.通过 3D 打印生成光热响应型抗菌、生物粘附明胶甲基丙烯酰(GelMA)水凝胶用于感染性伤口愈合。
Int J Biol Macromol. 2024 Mar;260(Pt 1):129372. doi: 10.1016/j.ijbiomac.2024.129372. Epub 2024 Jan 17.

引用本文的文献

1
An NIR-responsive "4A hydrogel" encapsulating wormwood essential oil: through antibacterial, antioxidant, anti-inflammation, and angiogenic to promote diabetic wound healing.一种包裹艾草精油的近红外响应性“4A水凝胶”:通过抗菌、抗氧化、抗炎和促血管生成作用促进糖尿病伤口愈合。
Mater Today Bio. 2025 Apr 9;32:101751. doi: 10.1016/j.mtbio.2025.101751. eCollection 2025 Jun.

本文引用的文献

1
A Hydrogel Dressing Comprised of Silk Fibroin, Ag Nanoparticles, and Reduced Graphene Oxide for NIR Photothermal-Enhanced Antibacterial Efficiency and Skin Regeneration.一种水凝胶敷料,由丝素蛋白、银纳米粒子和还原氧化石墨烯组成,用于近红外光热增强的抗菌效率和皮肤再生。
Adv Healthc Mater. 2024 Sep;13(23):e2400884. doi: 10.1002/adhm.202400884. Epub 2024 May 9.
2
Conformationally regulated "nanozyme-like" cerium oxide with multiple free radical scavenging activities for osteoimmunology modulation and vascularized osseointegration.具有多种自由基清除活性的构象调节“类纳米酶”氧化铈,用于骨免疫学调节和血管化骨整合。
Bioact Mater. 2023 Dec 14;34:64-79. doi: 10.1016/j.bioactmat.2023.12.006. eCollection 2024 Apr.
3
Graphene Oxide Functionalized Gelatin Methacryloyl Microgel for Enhanced Biomimetic Mineralization and in situ Bone Repair.
氧化石墨烯功能化明胶甲基丙烯酰微凝胶用于增强仿生矿化和原位骨修复。
Int J Nanomedicine. 2023 Nov 15;18:6725-6741. doi: 10.2147/IJN.S433624. eCollection 2023.
4
Immune-microenvironment modulatory polyurethane-hyaluronic acid hybrid hydrogel scaffolds for diabetic wound treatment.用于糖尿病创面治疗的免疫微环境调节型聚氨酯-透明质酸杂化水凝胶支架。
Carbohydr Polym. 2023 Nov 15;320:121238. doi: 10.1016/j.carbpol.2023.121238. Epub 2023 Jul 27.
5
Gelatin Methacryloyl Hydrogel, from Standardization, Performance, to Biomedical Application.明胶甲基丙烯酰化水凝胶:从标准化、性能到生物医学应用。
Adv Healthc Mater. 2023 Sep;12(23):e2300395. doi: 10.1002/adhm.202300395. Epub 2023 May 15.
6
An All-in-One "4A Hydrogel": through First-Aid Hemostatic, Antibacterial, Antioxidant, and Angiogenic to Promoting Infected Wound Healing.一种集多功能于一体的“4A 水凝胶”:兼具急救止血、抗菌、抗氧化和促血管生成作用,可促进感染性伤口愈合。
Small. 2023 Jul;19(27):e2207437. doi: 10.1002/smll.202207437. Epub 2023 Mar 28.
7
All-in-one bioactive properties of photothermal nanofibers for accelerating diabetic wound healing.光热纳米纤维的多功能生物活性加速糖尿病伤口愈合。
Biomaterials. 2023 Apr;295:122029. doi: 10.1016/j.biomaterials.2023.122029. Epub 2023 Jan 27.
8
Combined effect of SDF-1 peptide and angiogenic cues in co-axial PLGA/gelatin fibers for cutaneous wound healing in diabetic rats.SDF-1肽与血管生成信号在同轴PLGA/明胶纤维中对糖尿病大鼠皮肤伤口愈合的联合作用
Colloids Surf B Biointerfaces. 2023 Mar;223:113140. doi: 10.1016/j.colsurfb.2023.113140. Epub 2023 Jan 10.
9
Exploring the Antibacterial and Biosensing Applications of Peroxidase-Mimetic NiCuS Nanoflower.探索过氧化物酶模拟 NiCuS 纳米花的抗菌和生物传感应用。
Biosensors (Basel). 2022 Oct 15;12(10):874. doi: 10.3390/bios12100874.
10
Pearl-inspired graphene oxide-collagen microgel with multi-layer mineralization through microarray chips for bone defect repair.通过微阵列芯片实现多层矿化的珍珠启发型氧化石墨烯-胶原蛋白微凝胶用于骨缺损修复。
Mater Today Bio. 2022 May 30;15:100307. doi: 10.1016/j.mtbio.2022.100307. eCollection 2022 Jun.