• 文献检索
  • 文档翻译
  • 深度研究
  • 学术资讯
  • Suppr Zotero 插件Zotero 插件
  • 邀请有礼
  • 套餐&价格
  • 历史记录
应用&插件
Suppr Zotero 插件Zotero 插件浏览器插件Mac 客户端Windows 客户端微信小程序
定价
高级版会员购买积分包购买API积分包
服务
文献检索文档翻译深度研究API 文档MCP 服务
关于我们
关于 Suppr公司介绍联系我们用户协议隐私条款
关注我们

Suppr 超能文献

核心技术专利:CN118964589B侵权必究
粤ICP备2023148730 号-1Suppr @ 2026

文献检索

告别复杂PubMed语法,用中文像聊天一样搜索,搜遍4000万医学文献。AI智能推荐,让科研检索更轻松。

立即免费搜索

文件翻译

保留排版,准确专业,支持PDF/Word/PPT等文件格式,支持 12+语言互译。

免费翻译文档

深度研究

AI帮你快速写综述,25分钟生成高质量综述,智能提取关键信息,辅助科研写作。

立即免费体验

斜坡脊索瘤中的退行性异型性:两例报告

Degenerative Atypia in Clival Chordoma: Two Case Reports.

作者信息

Tena Suck Martha Lilia, Villanueva-Castro Eliezer, Munuzuri-Camacho Marco Antonio, Hernández Reséndiz Rebeca, Juárez-Cruz Samuel Ismael, Garcia-Diaz Oriana Carolina, Castro-Ibanez Jose Alfredo

机构信息

Department of Neuropathology, Instituto Nacional de Neurología y Neurocirugía Manuel Velasco Suárez, Mexico City, MEX.

Department of Neurosurgery, Instituto Nacional de Neurología y Neurocirugía Manuel Velasco Suárez, Mexico City, MEX.

出版信息

Cureus. 2024 Aug 5;16(8):e66197. doi: 10.7759/cureus.66197. eCollection 2024 Aug.

DOI:10.7759/cureus.66197
PMID:39233954
原文链接:https://pmc.ncbi.nlm.nih.gov/articles/PMC11373669/
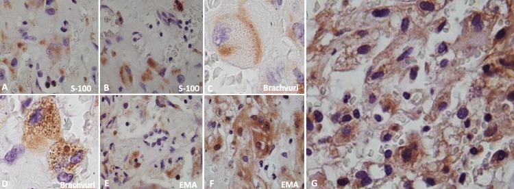
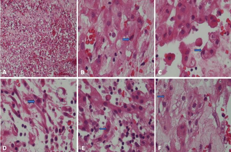
Abstract

In this study, we report surgical management combined with radiotherapy in two patients with typical chordoma. Different types of radiation have varied effects on chordomas when they are radiated. Classical cases display cellular atypia and fibrosis following irradiation, while necrosis and fibrosclerosis are observed after carbon ion therapy, implying that it is possible to control the tumor more effectively using carbon ion therapy with minimal side effects.

摘要

在本研究中,我们报告了两例典型脊索瘤患者的手术治疗联合放射治疗情况。不同类型的放射治疗在照射脊索瘤时会产生不同的效果。经典病例在照射后表现出细胞异型性和纤维化,而碳离子治疗后则观察到坏死和纤维硬化,这意味着使用碳离子治疗有可能以最小的副作用更有效地控制肿瘤。

https://cdn.ncbi.nlm.nih.gov/pmc/blobs/4f04/11373669/69b3c110fdad/cureus-0016-00000066197-i04.jpg
https://cdn.ncbi.nlm.nih.gov/pmc/blobs/4f04/11373669/0425f8c47bdf/cureus-0016-00000066197-i01.jpg
https://cdn.ncbi.nlm.nih.gov/pmc/blobs/4f04/11373669/f93439cf9762/cureus-0016-00000066197-i02.jpg
https://cdn.ncbi.nlm.nih.gov/pmc/blobs/4f04/11373669/057b32268973/cureus-0016-00000066197-i03.jpg
https://cdn.ncbi.nlm.nih.gov/pmc/blobs/4f04/11373669/69b3c110fdad/cureus-0016-00000066197-i04.jpg
https://cdn.ncbi.nlm.nih.gov/pmc/blobs/4f04/11373669/0425f8c47bdf/cureus-0016-00000066197-i01.jpg
https://cdn.ncbi.nlm.nih.gov/pmc/blobs/4f04/11373669/f93439cf9762/cureus-0016-00000066197-i02.jpg
https://cdn.ncbi.nlm.nih.gov/pmc/blobs/4f04/11373669/057b32268973/cureus-0016-00000066197-i03.jpg
https://cdn.ncbi.nlm.nih.gov/pmc/blobs/4f04/11373669/69b3c110fdad/cureus-0016-00000066197-i04.jpg

相似文献

1
Degenerative Atypia in Clival Chordoma: Two Case Reports.斜坡脊索瘤中的退行性异型性:两例报告
Cureus. 2024 Aug 5;16(8):e66197. doi: 10.7759/cureus.66197. eCollection 2024 Aug.
2
Surgical Outcomes of Clival Chordoma Through Endoscopic Endonasal Approach: A Single-Center Experience.经鼻内镜入路切除颅底脊索瘤的手术疗效:单中心经验。
Front Endocrinol (Lausanne). 2022 Apr 6;13:800923. doi: 10.3389/fendo.2022.800923. eCollection 2022.
3
Surgical treatment of clival chordomas: the transsphenoidal approach revisited.斜坡脊索瘤的手术治疗:重新审视经蝶窦入路
J Neurosurg. 1996 Nov;85(5):784-92. doi: 10.3171/jns.1996.85.5.0784.
4
Immunohistochemical markers predicting long-term recurrence following clival and spinal chordoma resection: a multicenter study.免疫组织化学标志物预测颅底和脊髓脊索瘤切除术后的长期复发:一项多中心研究。
Neurosurg Focus. 2023 Jun;54(6):E15. doi: 10.3171/2023.3.FOCUS22653.
5
Endoscopic endonasal surgery for Clival Chordomas - a single institution experience and short term outcomes.经鼻内镜手术治疗斜坡脊索瘤——单中心经验及短期疗效
Br J Neurosurg. 2019 Aug;33(4):388-393. doi: 10.1080/02688697.2019.1567683. Epub 2019 Feb 11.
6
Clival chordoma presenting with isolated unilateral cranial nerve XII palsy: A case report.以孤立性单侧舌下神经麻痹为表现的斜坡脊索瘤:一例报告。
Int J Surg Case Rep. 2024 Mar;116:109393. doi: 10.1016/j.ijscr.2024.109393. Epub 2024 Feb 15.
7
Intradural chordoma presenting with intratumoral bleeding.伴有肿瘤内出血的硬脊膜内脊索瘤。
J Clin Neurosci. 2016 Mar;25:139-42. doi: 10.1016/j.jocn.2015.07.023. Epub 2015 Nov 10.
8
Clival chordoma: a single-centre outcome analysis.斜坡脊索瘤:单中心结果分析
Acta Neurochir (Wien). 2017 Oct;159(10):1815-1823. doi: 10.1007/s00701-017-3163-7. Epub 2017 May 7.
9
Clinical classification of clival chordomas for transnasal approaches.经鼻入路斜坡脊索瘤的临床分类。
Neurosurg Rev. 2020 Aug;43(4):1201-1210. doi: 10.1007/s10143-019-01153-w. Epub 2019 Aug 8.
10
Comparison of human chordoma cell-kill for 290 MeV/n carbon ions versus 70 MeV protons in vitro.290兆电子伏/核子碳离子与70兆电子伏质子对人脊索瘤细胞杀伤作用的体外比较。
Radiat Oncol. 2013 Apr 15;8:91. doi: 10.1186/1748-717X-8-91.

本文引用的文献

1
Prognostic Relevance and In Vitro Targeting of Concomitant PTEN and p16 Deficiency in Chordomas.脊索瘤中PTEN和p16伴随缺失的预后相关性及体外靶向研究
Cancers (Basel). 2023 Mar 26;15(7):1977. doi: 10.3390/cancers15071977.
2
Clinical Grading System, Surgical Outcomes and Prognostic Analysis of Cranial Base Chordomas.颅底脊索瘤的临床分级系统、手术结果及预后分析
J Korean Neurosurg Soc. 2022 May;65(3):469-478. doi: 10.3340/jkns.2021.0240. Epub 2022 Apr 25.
3
Primary extradural tumors of the spinal column: A comprehensive treatment guide for the spine surgeon based on the 5 Edition of the World Health Organization bone and soft-tissue tumor classification.
脊柱原发性硬膜外肿瘤:基于世界卫生组织骨与软组织肿瘤分类第5版的脊柱外科医生综合治疗指南
J Craniovertebr Junction Spine. 2021 Oct-Dec;12(4):336-360. doi: 10.4103/jcvjs.jcvjs_115_21. Epub 2021 Dec 11.
4
'I Can't Keep Up!': an update on advances in soft tissue pathology occurring after the publication of the 2020 World Health Organization classification of soft tissue and bone tumours.“我跟不上了!”:2020年世界卫生组织软组织和骨肿瘤分类发布后软组织病理学进展的最新情况
Histopathology. 2022 Jan;80(1):54-75. doi: 10.1111/his.14460.
5
Poorly differentiated chordoma showing loss of SMARCB1/INI1: Clinicopathological and radiological spectrum of nine cases, including uncommon features of a relatively under-recognized entity.分化差的脊索瘤表现出 SMARCB1/INI1 的缺失:九例病例的临床病理和影像学表现,包括该相对认识不足的实体的不常见特征。
Ann Diagn Pathol. 2021 Dec;55:151809. doi: 10.1016/j.anndiagpath.2021.151809. Epub 2021 Aug 27.
6
Clinicopathologic characteristics of poorly differentiated chordoma.低分化 chordoma 的临床病理特征。
Mod Pathol. 2018 Aug;31(8):1237-1245. doi: 10.1038/s41379-018-0002-1. Epub 2018 Feb 26.
7
Immunophenotypic features of dedifferentiated skull base chordoma: An insight into the intratumoural heterogeneity.去分化颅底脊索瘤的免疫表型特征:对肿瘤内异质性的深入了解
Contemp Oncol (Pozn). 2017;21(4):267-273. doi: 10.5114/wo.2017.72385. Epub 2017 Dec 30.
8
Chordoma dedifferentiation after proton beam therapy: a case report and review of the literature.质子束治疗后脊索瘤去分化:一例报告并文献复习
J Med Case Rep. 2016 Oct 12;10(1):280. doi: 10.1186/s13256-016-1076-3.
9
SMARCB1/INI1 Involvement in Pediatric Chordoma: A Mutational and Immunohistochemical Analysis.SMARCB1/INI1在小儿脊索瘤中的作用:突变与免疫组化分析
Am J Surg Pathol. 2017 Jan;41(1):56-61. doi: 10.1097/PAS.0000000000000741.
10
Poorly differentiated chordoma with SMARCB1/INI1 loss: a distinct molecular entity with dismal prognosis.伴有SMARCB1/INI1缺失的低分化脊索瘤:一种预后不良的独特分子实体。
Acta Neuropathol. 2016 Jul;132(1):149-51. doi: 10.1007/s00401-016-1574-9. Epub 2016 Apr 11.