• 文献检索
  • 文档翻译
  • 深度研究
  • 学术资讯
  • Suppr Zotero 插件Zotero 插件
  • 邀请有礼
  • 套餐&价格
  • 历史记录
应用&插件
Suppr Zotero 插件Zotero 插件浏览器插件Mac 客户端Windows 客户端微信小程序
定价
高级版会员购买积分包购买API积分包
服务
文献检索文档翻译深度研究API 文档MCP 服务
关于我们
关于 Suppr公司介绍联系我们用户协议隐私条款
关注我们

Suppr 超能文献

核心技术专利:CN118964589B侵权必究
粤ICP备2023148730 号-1Suppr @ 2026

文献检索

告别复杂PubMed语法,用中文像聊天一样搜索,搜遍4000万医学文献。AI智能推荐,让科研检索更轻松。

立即免费搜索

文件翻译

保留排版,准确专业,支持PDF/Word/PPT等文件格式,支持 12+语言互译。

免费翻译文档

深度研究

AI帮你快速写综述,25分钟生成高质量综述,智能提取关键信息,辅助科研写作。

立即免费体验

人脐带间充质干细胞来源的细胞外囊泡通过抑制衰老的肾小管上皮细胞改善肾脏缺血再灌注损伤:实验研究

Human umbilical cord mesenchymal stem cells-derived extracellular vesicles ameliorate kidney ischemia-reperfusion injury by suppression of senescent tubular epithelial cells: experimental study.

作者信息

Ma Ming, Zeng Jun, Zhu Mengli, Li Hui, Lin Tao, Yang Hao, Wei Xin, Song Turun

机构信息

Department of Urology, West China Hospital, Sichuan University.

Organ Transplantation Center, West China Hospital, Sichuan University.

出版信息

Int J Surg. 2025 Jan 1;111(1):394-410. doi: 10.1097/JS9.0000000000002074.

DOI:10.1097/JS9.0000000000002074
PMID:39236098
原文链接:https://pmc.ncbi.nlm.nih.gov/articles/PMC11745712/
Abstract

BACKGROUND

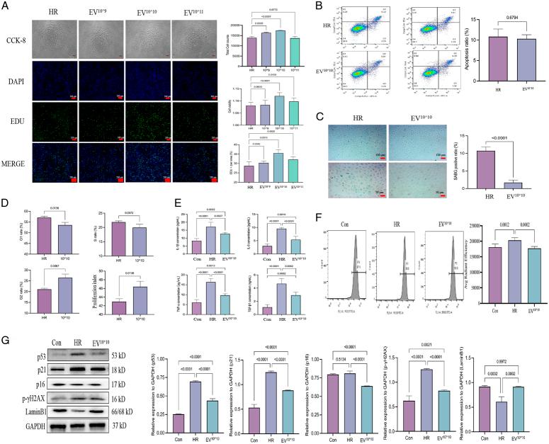
Human umbilical cord mesenchymal stem cells-derived extracellular vesicles (HUMSC-EVs) have drawn much interest in kidney transplantation, mainly because of their renoprotection by alleviating cell injury and stimulating tissue repair. Cellular senescence has been proven to play a dual regulatory role in kidney ischemia-reperfusion injury (IRI), and the regulation of HUMSC-EVs on tubular epithelial cell senescence may be a potential therapeutic target.

MATERIALS AND METHODS

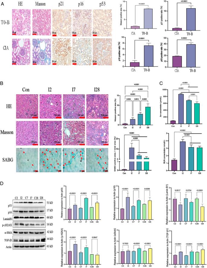
In vitro , the hypoxia-reoxygenation of human kidney-2 cells was used to simulate kidney IRI, and the regulation of HUMSC-EVs on human kidney-2 cells was detected. Transcriptome sequencing of human kidney-2 cells was used to explore the potential regulatory mechanism. In vivo , adult male mice were divided into five groups: control group, IRI group, HUMSC-EVs treatment group, senolytics treatment group (dasatinib + quercetin), and combined treatments group (HUMSC-EVs and senolytics). Kidney function, senescent features of tubular epithelial cells, acute kidney injury, and chronic interstitial fibrosis in mice were detected to explore the renoprotection effects of HUMSC-EVs.

RESULTS

Kidney IRI significantly up-regulated expressions of LaminB1, p53, p21, p16, senescence-associated beta-galactosidase, and apoptosis of tubular epithelial cells. In the mouse kidney IRI model, kidney subcapsular injection of HUMSC-EVs significantly improved kidney function, reducing the senescent features of tubular epithelial cells and alleviating acute kidney injury and chronic interstitial fibrosis. HUMSC-EVs mainly achieved renoprotection by regulating Bax/Bcl-2-dependent apoptosis during acute kidney injury and mostly reduced tubular atrophy and kidney interstitial fibrosis by regulating Ras-pERK-Ets1-p53 pathway-dependent cell senescence. Oral administration of senolytics also alleviated kidney injury induced by IRI, while the combined treatments of HUMSC-EVs and senolytics had better renoprotection effects.

CONCLUSIONS

The combination of HUMSC-EVs and senolytics alleviated acute kidney injury and chronic interstitial fibrosis by dynamic regulation of cell senescence and apoptosis, which provides a therapeutic potential strategy for organ preservation and tissue repair in kidney transplantation.

摘要

背景

人脐带间充质干细胞衍生的细胞外囊泡(HUMSC-EVs)在肾移植中引起了广泛关注,主要是因为它们通过减轻细胞损伤和刺激组织修复来发挥肾脏保护作用。细胞衰老已被证明在肾脏缺血再灌注损伤(IRI)中起双重调节作用,而HUMSC-EVs对肾小管上皮细胞衰老的调节可能是一个潜在的治疗靶点。

材料与方法

在体外,利用人肾-2细胞的缺氧复氧来模拟肾脏IRI,并检测HUMSC-EVs对人肾-2细胞的调节作用。通过对人肾-2细胞进行转录组测序来探索潜在的调节机制。在体内,将成年雄性小鼠分为五组:对照组、IRI组、HUMSC-EVs治疗组、衰老细胞溶解剂治疗组(达沙替尼+槲皮素)和联合治疗组(HUMSC-EVs与衰老细胞溶解剂)。检测小鼠的肾功能、肾小管上皮细胞的衰老特征、急性肾损伤和慢性间质纤维化,以探索HUMSC-EVs的肾脏保护作用。

结果

肾脏IRI显著上调了LaminB1、p53、p21、p16、衰老相关β-半乳糖苷酶的表达以及肾小管上皮细胞的凋亡。在小鼠肾脏IRI模型中,肾包膜下注射HUMSC-EVs可显著改善肾功能,减少肾小管上皮细胞的衰老特征,减轻急性肾损伤和慢性间质纤维化。HUMSC-EVs主要通过在急性肾损伤期间调节Bax/Bcl-2依赖性凋亡来实现肾脏保护作用,并且大多通过调节Ras-pERK-Ets1-p53通路依赖性细胞衰老来减少肾小管萎缩和肾间质纤维化。口服衰老细胞溶解剂也可减轻IRI诱导的肾损伤,而HUMSC-EVs与衰老细胞溶解剂的联合治疗具有更好的肾脏保护作用。

结论

HUMSC-EVs与衰老细胞溶解剂的联合通过动态调节细胞衰老和凋亡减轻了急性肾损伤和慢性间质纤维化,这为肾移植中的器官保存和组织修复提供了一种潜在的治疗策略。

https://cdn.ncbi.nlm.nih.gov/pmc/blobs/735f/11745712/b9f1da8365a5/js9-111-0394-s004.jpg
https://cdn.ncbi.nlm.nih.gov/pmc/blobs/735f/11745712/7932ed12d18b/js9-111-0394-g001.jpg
https://cdn.ncbi.nlm.nih.gov/pmc/blobs/735f/11745712/32ac009a806b/js9-111-0394-g002.jpg
https://cdn.ncbi.nlm.nih.gov/pmc/blobs/735f/11745712/f6f4f846fda4/js9-111-0394-g003.jpg
https://cdn.ncbi.nlm.nih.gov/pmc/blobs/735f/11745712/2f034be3f4d6/js9-111-0394-g004.jpg
https://cdn.ncbi.nlm.nih.gov/pmc/blobs/735f/11745712/ff85160368ca/js9-111-0394-g005.jpg
https://cdn.ncbi.nlm.nih.gov/pmc/blobs/735f/11745712/43b1403c6f8c/js9-111-0394-g006.jpg
https://cdn.ncbi.nlm.nih.gov/pmc/blobs/735f/11745712/65eade13dfbe/js9-111-0394-g007.jpg
https://cdn.ncbi.nlm.nih.gov/pmc/blobs/735f/11745712/cceb2091972a/js9-111-0394-g008.jpg
https://cdn.ncbi.nlm.nih.gov/pmc/blobs/735f/11745712/966b45a695de/js9-111-0394-g009.jpg
https://cdn.ncbi.nlm.nih.gov/pmc/blobs/735f/11745712/c6905c992eab/js9-111-0394-g010.jpg
https://cdn.ncbi.nlm.nih.gov/pmc/blobs/735f/11745712/2358e2d06d76/js9-111-0394-s002.jpg
https://cdn.ncbi.nlm.nih.gov/pmc/blobs/735f/11745712/b7621c8b1d36/js9-111-0394-s003.jpg
https://cdn.ncbi.nlm.nih.gov/pmc/blobs/735f/11745712/b9f1da8365a5/js9-111-0394-s004.jpg
https://cdn.ncbi.nlm.nih.gov/pmc/blobs/735f/11745712/7932ed12d18b/js9-111-0394-g001.jpg
https://cdn.ncbi.nlm.nih.gov/pmc/blobs/735f/11745712/32ac009a806b/js9-111-0394-g002.jpg
https://cdn.ncbi.nlm.nih.gov/pmc/blobs/735f/11745712/f6f4f846fda4/js9-111-0394-g003.jpg
https://cdn.ncbi.nlm.nih.gov/pmc/blobs/735f/11745712/2f034be3f4d6/js9-111-0394-g004.jpg
https://cdn.ncbi.nlm.nih.gov/pmc/blobs/735f/11745712/ff85160368ca/js9-111-0394-g005.jpg
https://cdn.ncbi.nlm.nih.gov/pmc/blobs/735f/11745712/43b1403c6f8c/js9-111-0394-g006.jpg
https://cdn.ncbi.nlm.nih.gov/pmc/blobs/735f/11745712/65eade13dfbe/js9-111-0394-g007.jpg
https://cdn.ncbi.nlm.nih.gov/pmc/blobs/735f/11745712/cceb2091972a/js9-111-0394-g008.jpg
https://cdn.ncbi.nlm.nih.gov/pmc/blobs/735f/11745712/966b45a695de/js9-111-0394-g009.jpg
https://cdn.ncbi.nlm.nih.gov/pmc/blobs/735f/11745712/c6905c992eab/js9-111-0394-g010.jpg
https://cdn.ncbi.nlm.nih.gov/pmc/blobs/735f/11745712/2358e2d06d76/js9-111-0394-s002.jpg
https://cdn.ncbi.nlm.nih.gov/pmc/blobs/735f/11745712/b7621c8b1d36/js9-111-0394-s003.jpg
https://cdn.ncbi.nlm.nih.gov/pmc/blobs/735f/11745712/b9f1da8365a5/js9-111-0394-s004.jpg

相似文献

1
Human umbilical cord mesenchymal stem cells-derived extracellular vesicles ameliorate kidney ischemia-reperfusion injury by suppression of senescent tubular epithelial cells: experimental study.人脐带间充质干细胞来源的细胞外囊泡通过抑制衰老的肾小管上皮细胞改善肾脏缺血再灌注损伤:实验研究
Int J Surg. 2025 Jan 1;111(1):394-410. doi: 10.1097/JS9.0000000000002074.
2
Human umbilical cord-derived mesenchymal stromal cells protect against premature renal senescence resulting from oxidative stress in rats with acute kidney injury.人脐带间充质基质细胞可预防急性肾损伤大鼠因氧化应激导致的肾脏早衰。
Stem Cell Res Ther. 2017 Jan 28;8(1):19. doi: 10.1186/s13287-017-0475-8.
3
Enhanced therapeutic effects of hypoxia-preconditioned mesenchymal stromal cell-derived extracellular vesicles in renal ischemic injury.缺氧预处理的间充质基质细胞衍生的细胞外囊泡对肾缺血损伤的治疗作用增强。
Stem Cell Res Ther. 2025 Feb 4;16(1):39. doi: 10.1186/s13287-025-04166-z.
4
The effects of glomerular and tubular renal progenitors and derived extracellular vesicles on recovery from acute kidney injury.肾小球和肾小管肾祖细胞及其衍生的细胞外囊泡对急性肾损伤恢复的影响。
Stem Cell Res Ther. 2017 Feb 7;8(1):24. doi: 10.1186/s13287-017-0478-5.
5
Wnt9a Promotes Renal Fibrosis by Accelerating Cellular Senescence in Tubular Epithelial Cells.Wnt9a 通过加速肾小管上皮细胞的细胞衰老促进肾纤维化。
J Am Soc Nephrol. 2018 Apr;29(4):1238-1256. doi: 10.1681/ASN.2017050574. Epub 2018 Feb 12.
6
Extracellular Vesicles Derived from Human Umbilical Cord Mesenchymal Stromal Cells Protect Cardiac Cells Against Hypoxia/Reoxygenation Injury by Inhibiting Endoplasmic Reticulum Stress via Activation of the PI3K/Akt Pathway.人脐带间充质干细胞来源的细胞外囊泡通过激活 PI3K/Akt 通路抑制内质网应激保护心肌细胞对抗缺氧/复氧损伤。
Cell Transplant. 2020 Jan-Dec;29:963689720945677. doi: 10.1177/0963689720945677.
7
MiR-146a engineered extracellular vesicles derived from mesenchymal stromal cells more potently attenuate ischaemia-reperfusion injury in lung transplantation.源自间充质基质细胞的经工程改造的 miR-146a 细胞外囊泡能更有效地减轻肺移植中的缺血再灌注损伤。
Clin Transl Med. 2025 Apr;15(4):e70298. doi: 10.1002/ctm2.70298.
8
Oct-4 Enhanced the Therapeutic Effects of Mesenchymal Stem Cell-Derived Extracellular Vesicles in Acute Kidney Injury.Oct-4 增强间充质干细胞衍生的细胞外囊泡在急性肾损伤中的治疗效果。
Kidney Blood Press Res. 2020;45(1):95-108. doi: 10.1159/000504368. Epub 2020 Jan 10.
9
Extracellular vesicles derived from human umbilical cord mesenchymal stem cells alleviate rat hepatic ischemia-reperfusion injury by suppressing oxidative stress and neutrophil inflammatory response.人脐带间充质干细胞来源的细胞外囊泡通过抑制氧化应激和中性粒细胞炎症反应减轻大鼠肝缺血再灌注损伤。
FASEB J. 2019 Feb;33(2):1695-1710. doi: 10.1096/fj.201800131RR. Epub 2018 Sep 18.
10
Exosomal miR-125b-5p deriving from mesenchymal stem cells promotes tubular repair by suppression of p53 in ischemic acute kidney injury.源自间充质干细胞的外泌体miR-125b-5p通过抑制缺血性急性肾损伤中的p53促进肾小管修复。
Theranostics. 2021 Mar 11;11(11):5248-5266. doi: 10.7150/thno.54550. eCollection 2021.

引用本文的文献

1
Regulation of cellular senescence in tumor progression and therapeutic targeting: mechanisms and pathways.肿瘤进展中细胞衰老的调控与治疗靶点:机制与途径
Mol Cancer. 2025 Apr 2;24(1):106. doi: 10.1186/s12943-025-02284-z.
2
Therapeutic Efficacy and Promise of Human Umbilical Cord Mesenchymal Stem Cell-Derived Extracellular Vesicles in Aging and Age-Related Disorders.人脐带间充质干细胞衍生细胞外囊泡在衰老及衰老相关疾病中的治疗效果与前景
Int J Mol Sci. 2024 Dec 30;26(1):225. doi: 10.3390/ijms26010225.

本文引用的文献

1
Senolytic therapy in mild Alzheimer's disease: a phase 1 feasibility trial.轻度阿尔茨海默病的衰老细胞清除疗法:1 期可行性试验。
Nat Med. 2023 Oct;29(10):2481-2488. doi: 10.1038/s41591-023-02543-w. Epub 2023 Sep 7.
2
Overexpression of miR-92a attenuates kidney ischemia-reperfusion injury and improves kidney preservation by inhibiting MEK4/JNK1-related autophagy.miR-92a 的过表达通过抑制 MEK4/JNK1 相关自噬减轻肾缺血再灌注损伤并改善肾脏保存。
Cell Mol Biol Lett. 2023 Mar 8;28(1):20. doi: 10.1186/s11658-023-00430-3.
3
Senotherapies: A novel strategy for synergistic anti-tumor therapy.
衰老疗法:一种协同抗肿瘤治疗的新策略。
Drug Discov Today. 2022 Nov;27(11):103365. doi: 10.1016/j.drudis.2022.103365. Epub 2022 Sep 14.
4
Early Effects of Extracellular Vesicles Secreted by Adipose Tissue Mesenchymal Cells in Renal Ischemia Followed by Reperfusion: Mechanisms Rely on a Decrease in Mitochondrial Anion Superoxide Production.脂肪组织间充质细胞来源细胞外囊泡对肾缺血再灌注损伤的早期作用:机制依赖于减少线粒体阴离子超氧产生。
Int J Mol Sci. 2022 Mar 8;23(6):2906. doi: 10.3390/ijms23062906.
5
Extracellular Vesicles Derived from Human Liver Stem Cells Attenuate Chronic Kidney Disease Development in an In Vivo Experimental Model of Renal Ischemia and Reperfusion Injury.人肝干细胞来源的细胞外囊泡减轻肾缺血再灌注损伤诱导的慢性肾脏病进展的体内实验研究。
Int J Mol Sci. 2022 Jan 27;23(3):1485. doi: 10.3390/ijms23031485.
6
Adipose-Derived Stem/Stromal Cells in Kidney Transplantation: Status Quo and Future Perspectives.脂肪来源的干细胞/基质细胞在肾移植中的应用:现状与未来展望。
Int J Mol Sci. 2021 Oct 17;22(20):11188. doi: 10.3390/ijms222011188.
7
When Origin Matters: Properties of Mesenchymal Stromal Cells From Different Sources for Clinical Translation in Kidney Disease.来源的重要性:不同来源间充质基质细胞在肾脏疾病临床转化中的特性
Front Med (Lausanne). 2021 Sep 20;8:728496. doi: 10.3389/fmed.2021.728496. eCollection 2021.
8
Implementation of donation after circulatory death kidney transplantation can safely enlarge the donor pool: A systematic review and meta-analysis.实施循环死亡后肾移植可安全扩大供者库:系统评价和荟萃分析。
Int J Surg. 2021 Aug;92:106021. doi: 10.1016/j.ijsu.2021.106021. Epub 2021 Jul 10.
9
Progressive Cellular Senescence Mediates Renal Dysfunction in Ischemic Nephropathy.进行性细胞衰老介导缺血性肾病中的肾功能障碍。
J Am Soc Nephrol. 2021 Aug;32(8):1987-2004. doi: 10.1681/ASN.2020091373. Epub 2021 Jun 16.
10
Exosomal miR-125b-5p deriving from mesenchymal stem cells promotes tubular repair by suppression of p53 in ischemic acute kidney injury.源自间充质干细胞的外泌体miR-125b-5p通过抑制缺血性急性肾损伤中的p53促进肾小管修复。
Theranostics. 2021 Mar 11;11(11):5248-5266. doi: 10.7150/thno.54550. eCollection 2021.