• 文献检索
  • 文档翻译
  • 深度研究
  • 学术资讯
  • Suppr Zotero 插件Zotero 插件
  • 邀请有礼
  • 套餐&价格
  • 历史记录
应用&插件
Suppr Zotero 插件Zotero 插件浏览器插件Mac 客户端Windows 客户端微信小程序
定价
高级版会员购买积分包购买API积分包
服务
文献检索文档翻译深度研究API 文档MCP 服务
关于我们
关于 Suppr公司介绍联系我们用户协议隐私条款
关注我们

Suppr 超能文献

核心技术专利:CN118964589B侵权必究
粤ICP备2023148730 号-1Suppr @ 2026

文献检索

告别复杂PubMed语法,用中文像聊天一样搜索,搜遍4000万医学文献。AI智能推荐,让科研检索更轻松。

立即免费搜索

文件翻译

保留排版,准确专业,支持PDF/Word/PPT等文件格式,支持 12+语言互译。

免费翻译文档

深度研究

AI帮你快速写综述,25分钟生成高质量综述,智能提取关键信息,辅助科研写作。

立即免费体验

一种新型的板间韧带的影像学表现、全内镜和病理特征分析。

Analyses of imaging presentations, full endoscopic and pathological features of a novel interlaminar ligament.

机构信息

Department of Spine Surgery, Xi'an Jiaotong University Affiliated Honghui Hospital, Xi'an, China.

出版信息

J Orthop Surg Res. 2024 Sep 6;19(1):548. doi: 10.1186/s13018-024-05047-6.

DOI:10.1186/s13018-024-05047-6
PMID:39238041
原文链接:https://pmc.ncbi.nlm.nih.gov/articles/PMC11378554/
Abstract

BACKGROUND

To analyze the characteristics of an unnamed interlaminar ligaments(ILL) through magnetic resonance image (MRI), endoscopy and pathological examination.

METHOD

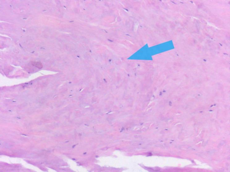
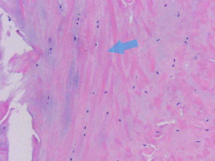
A retrospective study was conducted to analyze the clinical data of patients who underwent posterior endoscopic surgery for lumbar disc herniation or lumbar spinal stenosis from January 2021 to February 2022 at our medical center. The height, width and cross-sectional thickness of the ligament was analyzed using T2 weighted MRI. Meanwhile, the morphological and pathological characteristics were also compared with those of the ligamentum flavum to highlight the differences between above mentioned ligaments.

RESULT

Forty-three patients were included in this study, including 27 males and 16 females, with an average age of 46.6 ± 12.1y. There were 20 cases of lumbar disc herniation and 23 cases of lumbar spinal stenosis. The width, length, thickness of the ILL, the thickness of LF and surgical time in the lumbar disc group were 17.7 ± 3.5 mm, 4.3 ± 1.3 mm, 18.3 ± 3.5 mm, 5.3 ± 1.9 mm, 53.2 ± 14.5 min, respectively. In the lumbar spinal stenosis group, the corresponding parameters were 16.0 ± 3.1 mm, 4.1 ± 1.6 mm, 17.6 ± 4.8 mm, 6.3 ± 0.8 mm, 61.8 ± 12.4 min, respectively. The intergroup difference in thickness of the ligamentum flavum was statistically significant (P = 0.02). The difference in surgical time was also established(P = 0.04). Endoscopic differences were identified as to the location of the anchor points and appearances among the two ligaments. Significant differences in the density and direction of fibrous structures were also observed under biopsy. Under endoscopy, significant difference as to the grade of ILL thickness was established when compared regarding disease spectrum (P = 0.09.) CONCLUSION: The interlaminar ligament is a structure that has not yet been officially named, which has significant structural differences from those of the ligamentum flavum. For posterior endoscopic procedure, its clinical significance lies in its ability to serve as the endpoint of soft tissue channel establishment. The thickness of the ligamentum flavum in MRI and the thickness of ILL under endoscopy vary according to the disease spectrum.

摘要

背景

通过磁共振成像(MRI)、内窥镜和病理检查分析未命名的板间韧带(ILL)的特征。

方法

对 2021 年 1 月至 2022 年 2 月在我院接受后路内窥镜手术治疗腰椎间盘突出症或腰椎管狭窄症的患者的临床资料进行回顾性研究。使用 T2 加权 MRI 分析韧带的高度、宽度和横截面积。同时,还比较了形态学和病理学特征,以突出两者之间的差异。

结果

本研究共纳入 43 例患者,男 27 例,女 16 例,平均年龄 46.6±12.1 岁。其中腰椎间盘突出症 20 例,腰椎管狭窄症 23 例。腰椎间盘组的 ILL 宽度、长度、厚度、LF 厚度和手术时间分别为 17.7±3.5mm、4.3±1.3mm、18.3±3.5mm、5.3±1.9mm、53.2±14.5min;腰椎管狭窄组分别为 16.0±3.1mm、4.1±1.6mm、17.6±4.8mm、6.3±0.8mm、61.8±12.4min。两组 LF 厚度比较差异有统计学意义(P=0.02),手术时间比较差异亦有统计学意义(P=0.04)。内窥镜下可识别两种韧带的锚定点位置和外观不同。活检也观察到纤维结构的密度和方向存在显著差异。根据疾病谱,内窥镜下 ILL 厚度分级差异有统计学意义(P=0.09)。

结论

板间韧带是一种尚未正式命名的结构,其与黄韧带的结构存在显著差异。对于后路内窥镜手术,其临床意义在于作为软组织通道建立的终点。MRI 中黄韧带的厚度和内窥镜下 ILL 的厚度随疾病谱而变化。

https://cdn.ncbi.nlm.nih.gov/pmc/blobs/524f/11378554/878888fb6bab/13018_2024_5047_Fig7_HTML.jpg
https://cdn.ncbi.nlm.nih.gov/pmc/blobs/524f/11378554/3e6304d9eb4b/13018_2024_5047_Fig1_HTML.jpg
https://cdn.ncbi.nlm.nih.gov/pmc/blobs/524f/11378554/8080dac2db97/13018_2024_5047_Fig2_HTML.jpg
https://cdn.ncbi.nlm.nih.gov/pmc/blobs/524f/11378554/fe2269d20827/13018_2024_5047_Fig3_HTML.jpg
https://cdn.ncbi.nlm.nih.gov/pmc/blobs/524f/11378554/0584711e17d9/13018_2024_5047_Fig4_HTML.jpg
https://cdn.ncbi.nlm.nih.gov/pmc/blobs/524f/11378554/313ea451f91c/13018_2024_5047_Fig5_HTML.jpg
https://cdn.ncbi.nlm.nih.gov/pmc/blobs/524f/11378554/965e531f64ae/13018_2024_5047_Fig6_HTML.jpg
https://cdn.ncbi.nlm.nih.gov/pmc/blobs/524f/11378554/878888fb6bab/13018_2024_5047_Fig7_HTML.jpg
https://cdn.ncbi.nlm.nih.gov/pmc/blobs/524f/11378554/3e6304d9eb4b/13018_2024_5047_Fig1_HTML.jpg
https://cdn.ncbi.nlm.nih.gov/pmc/blobs/524f/11378554/8080dac2db97/13018_2024_5047_Fig2_HTML.jpg
https://cdn.ncbi.nlm.nih.gov/pmc/blobs/524f/11378554/fe2269d20827/13018_2024_5047_Fig3_HTML.jpg
https://cdn.ncbi.nlm.nih.gov/pmc/blobs/524f/11378554/0584711e17d9/13018_2024_5047_Fig4_HTML.jpg
https://cdn.ncbi.nlm.nih.gov/pmc/blobs/524f/11378554/313ea451f91c/13018_2024_5047_Fig5_HTML.jpg
https://cdn.ncbi.nlm.nih.gov/pmc/blobs/524f/11378554/965e531f64ae/13018_2024_5047_Fig6_HTML.jpg
https://cdn.ncbi.nlm.nih.gov/pmc/blobs/524f/11378554/878888fb6bab/13018_2024_5047_Fig7_HTML.jpg

相似文献

1
Analyses of imaging presentations, full endoscopic and pathological features of a novel interlaminar ligament.一种新型的板间韧带的影像学表现、全内镜和病理特征分析。
J Orthop Surg Res. 2024 Sep 6;19(1):548. doi: 10.1186/s13018-024-05047-6.
2
Buckling of the Ligamentum Flavum in Patients with Lumbar Spinal Canal Stenosis.黄韧带在腰椎管狭窄症患者中的皱缩。
Spine (Phila Pa 1976). 2024 Sep 1;49(17):E284-E290. doi: 10.1097/BRS.0000000000004941. Epub 2024 Aug 13.
3
Treatment for lumbar spinal stenosis secondary to ligamentum flavum hypertrophy using percutaneous endoscopy through interlaminar approach: a retrospective study.经皮内镜下椎板间入路治疗黄韧带肥厚所致腰椎管狭窄症:回顾性研究。
J Orthop Surg Res. 2020 Aug 18;15(1):337. doi: 10.1186/s13018-020-01874-5.
4
Indirect Decompression on MRI Chronologically Progresses After Immediate Postlateral Lumbar Interbody Fusion: The Results From a Minimum of 2 Years Follow-Up.直接减压术后 MRI 随访结果:至少 2 年的随访。
Spine (Phila Pa 1976). 2019 Dec 15;44(24):E1411-E1418. doi: 10.1097/BRS.0000000000003180.
5
Inclination of the small laminar slope angle leads to lumbar spinal stenosis due to hypertrophy of the ligamentum flavum.小关节板层倾斜角度会导致黄韧带肥厚,从而引起腰椎管狭窄症。
J Orthop Surg (Hong Kong). 2021 May-Aug;29(2):23094990211012846. doi: 10.1177/23094990211012846.
6
Posterior Percutaneous Endoscopic Technique Through Bilateral Translaminar Osseous Channels for Thoracic Spinal Stenosis Caused by Ossification of the Ligamentum Flavum Combined with Disk Herniation at the T10-11 Level: A Technical Note.经双侧跨层骨道行后路经皮内镜技术治疗胸椎管狭窄症合并 T10-11 水平黄韧带骨化并椎间盘突出症:技术要点。
World Neurosurg. 2020 Jan;133:135-141. doi: 10.1016/j.wneu.2019.08.215. Epub 2019 Sep 7.
7
Factors associated with the thickness of the ligamentum flavum: is ligamentum flavum thickening due to hypertrophy or buckling?与黄韧带厚度相关的因素:黄韧带增厚是由于肥大还是折叠?
Spine (Phila Pa 1976). 2011 Jul 15;36(16):E1093-7. doi: 10.1097/BRS.0b013e318203e2b5.
8
Quantitative evaluation of the lumbar ligamentum flavum using MRI T2-mapping: Efficacy of its clinical application in patients with lumbar spinal stenosis.采用 MRI T2-mapping 技术对腰椎黄韧带进行定量评估:在腰椎椎管狭窄症患者中的临床应用效果。
J Orthop Sci. 2024 Jan;29(1):101-108. doi: 10.1016/j.jos.2022.12.013. Epub 2023 Jan 6.
9
Quantitative analysis of transforming growth factor-beta 1 in ligamentum flavum of lumbar spinal stenosis and disc herniation.腰椎管狭窄症和椎间盘突出症患者黄韧带中转化生长因子-β1的定量分析
Spine (Phila Pa 1976). 2001 Nov 1;26(21):E492-5. doi: 10.1097/00007632-200111010-00007.
10
Comparison of metric analysis of spinal structures, exemplarily of the ligamentum flavum, obtained with CT and MRI.通过CT和MRI获得的脊柱结构(以黄韧带为例)的测量分析比较。
Eur J Radiol. 2004 Dec;52(3):224-8. doi: 10.1016/j.ejrad.2003.11.022.

本文引用的文献

1
Analysis of risk factors for post-operative recurrence after percutaneous endoscopic lumbar discectomy in patients with lumbar disc herniation: a meta-analysis.经皮内窥镜腰椎间盘切除术治疗腰椎间盘突出症术后复发的危险因素分析:一项荟萃分析。
J Orthop Surg Res. 2023 Dec 7;18(1):935. doi: 10.1186/s13018-023-04378-0.
2
Age-related radiographic parameters difference between the degenerative lumbar spinal stenosis patients and healthy people and correlation analysis.退行性腰椎椎管狭窄症患者与健康人群的年龄相关影像学参数差异及相关性分析。
J Orthop Surg Res. 2022 Nov 3;17(1):475. doi: 10.1186/s13018-022-03374-0.
3
Foundations in Spinal Endoscopy.
脊柱内镜基础。
World Neurosurg. 2022 Apr;160:125-131. doi: 10.1016/j.wneu.2021.11.116.
4
[Advances on the application of percutaneous full endoscopy spine surgery for spinal diseases].经皮全内镜脊柱手术在脊柱疾病中的应用进展
Zhongguo Gu Shang. 2020 Jun 25;33(6):493-7. doi: 10.12200/j.issn.1003-0034.2020.06.001.
5
Technology advancements in spinal endoscopy for staged management of painful spine conditions.脊柱内镜技术在疼痛性脊柱疾病分期管理中的进展。
J Spine Surg. 2020 Jan;6(Suppl 1):S19-S28. doi: 10.21037/jss.2019.10.02.
6
Clinical and Radiological Outcomes of Unilateral Biportal Endoscopic Decompression by 30° Arthroscopy in Lumbar Spinal Stenosis: Minimum 2-Year Follow-up.30°关节镜下单侧双门内镜减压治疗腰椎管狭窄症的临床及影像学结果:至少2年随访
Clin Orthop Surg. 2018 Sep;10(3):328-336. doi: 10.4055/cios.2018.10.3.328. Epub 2018 Aug 22.
7
Multilevel thoracic ossification of ligamentum flavum coexisted with/without lumbar spinal stenosis: staged surgical strategy and clinical outcomes.合并/不合并腰椎管狭窄的多节段胸椎黄韧带骨化:分期手术策略及临床疗效
BMC Musculoskelet Disord. 2015 Aug 19;16:206. doi: 10.1186/s12891-015-0672-5.
8
Microendoscopy-assisted muscle-preserving interlaminar decompression for lumbar spinal stenosis: clinical results of consecutive 105 cases with more than 3-year follow-up.显微内镜辅助保留肌肉的层间减压治疗腰椎管狭窄症:105例连续病例超过3年随访的临床结果
Spine (Phila Pa 1976). 2014 Mar 1;39(5):E318-25. doi: 10.1097/BRS.0000000000000160.
9
The anatomy of the human lumbar ligamentum flavum. New observations and their surgical importance.人类黄韧带的解剖学。新观察结果及其手术意义。
Spine (Phila Pa 1976). 1996 Oct 15;21(20):2307-12. doi: 10.1097/00007632-199610150-00001.
10
Thoracic myelopathy caused by ossification of the ligamentum flavum. Clinicopathologic study and surgical treatment.黄韧带骨化所致胸段脊髓病。临床病理研究与外科治疗。
Spine (Phila Pa 1976). 1991 Mar;16(3):280-7. doi: 10.1097/00007632-199103000-00005.