• 文献检索
  • 文档翻译
  • 深度研究
  • 学术资讯
  • Suppr Zotero 插件Zotero 插件
  • 邀请有礼
  • 套餐&价格
  • 历史记录
应用&插件
Suppr Zotero 插件Zotero 插件浏览器插件Mac 客户端Windows 客户端微信小程序
定价
高级版会员购买积分包购买API积分包
服务
文献检索文档翻译深度研究API 文档MCP 服务
关于我们
关于 Suppr公司介绍联系我们用户协议隐私条款
关注我们

Suppr 超能文献

核心技术专利:CN118964589B侵权必究
粤ICP备2023148730 号-1Suppr @ 2026

文献检索

告别复杂PubMed语法,用中文像聊天一样搜索,搜遍4000万医学文献。AI智能推荐,让科研检索更轻松。

立即免费搜索

文件翻译

保留排版,准确专业,支持PDF/Word/PPT等文件格式,支持 12+语言互译。

免费翻译文档

深度研究

AI帮你快速写综述,25分钟生成高质量综述,智能提取关键信息,辅助科研写作。

立即免费体验

一种修复右侧先天性膈疝和肝肺融合的新方法。

A novel approach for repair of right sided congenital diaphragmatic hernia and hepatopulmonary fusion.

作者信息

Cain-Trivette Caitlin J, Robinson Newell Bryce, Kadenhe-Chiweshe Angela, Steigman Shaun, Spigland Nitsana A

机构信息

Department of Surgery, The New York Hospital-Cornell Medical Center, 525 E 68th Street New York, NY 10065, United States.

Department of Pediatric Surgery, The New York Hospital-Cornell Medical Center, 525 E 68th Street New York, NY 10065, United States.

出版信息

J Surg Case Rep. 2024 Sep 5;2024(9):rjae566. doi: 10.1093/jscr/rjae566. eCollection 2024 Sep.

DOI:10.1093/jscr/rjae566
PMID:39239144
原文链接:https://pmc.ncbi.nlm.nih.gov/articles/PMC11374373/
Abstract

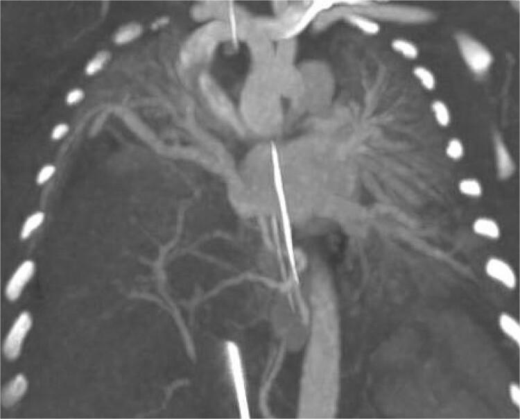
Right sided congenital diaphragmatic hernia (CDH) associated with hepatopulmonary fusion (HPF) is a rare congenital anomaly in which the herniated liver is fused with lung parenchyma. We discuss the case of an infant with right-sided CDH and HPF found on index operation for repair of right-sided CDH. Due to the high incidence of vascular anomalies associated with HPF the decision was made to close the patient and get further imaging to characterize the HPF before returning to the operating room for definitive repair. We describe a novel and successful operative approach where the liver was left entirely fused to the lung and the liver was partially brought down from the chest and was plicated to the diaphragm form a seal between the parietal and pleural cavities to repair the CDH.

摘要

右侧先天性膈疝(CDH)合并肝肺融合(HPF)是一种罕见的先天性异常,其中疝入的肝脏与肺实质融合。我们讨论了一例在初次手术修复右侧CDH时发现右侧CDH合并HPF的婴儿病例。由于与HPF相关的血管异常发生率较高,决定关闭患者并进行进一步成像以明确HPF的特征,然后再返回手术室进行确定性修复。我们描述了一种新颖且成功的手术方法,即让肝脏完全与肺融合,将肝脏部分从胸腔下拉并折叠到膈肌上,在壁层和胸膜腔之间形成密封以修复CDH。

https://cdn.ncbi.nlm.nih.gov/pmc/blobs/23bd/11374373/3dc49b9432c2/rjae566f3.jpg
https://cdn.ncbi.nlm.nih.gov/pmc/blobs/23bd/11374373/eb5d915b34e2/rjae566f1.jpg
https://cdn.ncbi.nlm.nih.gov/pmc/blobs/23bd/11374373/f4a48442ea1b/rjae566f2.jpg
https://cdn.ncbi.nlm.nih.gov/pmc/blobs/23bd/11374373/3dc49b9432c2/rjae566f3.jpg
https://cdn.ncbi.nlm.nih.gov/pmc/blobs/23bd/11374373/eb5d915b34e2/rjae566f1.jpg
https://cdn.ncbi.nlm.nih.gov/pmc/blobs/23bd/11374373/f4a48442ea1b/rjae566f2.jpg
https://cdn.ncbi.nlm.nih.gov/pmc/blobs/23bd/11374373/3dc49b9432c2/rjae566f3.jpg

相似文献

1
A novel approach for repair of right sided congenital diaphragmatic hernia and hepatopulmonary fusion.一种修复右侧先天性膈疝和肝肺融合的新方法。
J Surg Case Rep. 2024 Sep 5;2024(9):rjae566. doi: 10.1093/jscr/rjae566. eCollection 2024 Sep.
2
Prenatal Recognition of Hepatopulmonary Fusion in Right-Sided Congenital Diaphragmatic Hernia for Successful Operative Planning.右侧先天性膈疝中肝肺融合的产前识别以成功进行手术规划
Fetal Diagn Ther. 2022;49(11-12):451-458. doi: 10.1159/000527802. Epub 2023 Jan 9.
3
Hepatopulmonary fusion: A rare variant of congenital diaphragmatic hernia.肝肺融合:先天性膈疝的一种罕见变异型。
J Pediatr Surg. 2020 Sep;55(9):1903-1907. doi: 10.1016/j.jpedsurg.2019.09.037. Epub 2019 Nov 7.
4
Hepatopulmonary fusion in congenital diaphragmatic hernia: successful management of a lethal variant.先天性膈疝中的肝肺融合:一种致命变异型的成功治疗。
BMJ Case Rep. 2024 Jun 26;17(6):e260486. doi: 10.1136/bcr-2024-260486.
5
Hepatopulmonary fusion associated with right-sided congenital diaphragmatic hernia: management of this rare anomaly and a review of the literature.肝肺融合合并右侧先天性膈疝:这种罕见异常的处理及文献综述
J Int Med Res. 2018 Dec;46(12):5278-5284. doi: 10.1177/0300060518759892. Epub 2018 Oct 23.
6
Congenital Hepatopulmonary Fusion.先天性肝肺融合
Eur J Pediatr Surg. 2022 Dec;32(6):477-496. doi: 10.1055/s-0042-1749213. Epub 2022 Aug 26.
7
A rare case of hepatopulmonary fusion associated with a right congenital diaphragmatic hernia: Case report and review of the literature.一例罕见的合并右侧先天性膈疝的肝肺融合病例报告及文献复习
Int J Surg Case Rep. 2023 Oct;111:108845. doi: 10.1016/j.ijscr.2023.108845. Epub 2023 Sep 19.
8
Multidetector CT of right-sided congenital diaphragmatic hernia associated with hepatopulmonary fusion in a newborn.新生儿右侧先天性膈疝合并肝肺融合的多排 CT 表现
Pediatr Radiol. 2012 Sep;42(9):1138-41. doi: 10.1007/s00247-012-2379-1. Epub 2012 Apr 4.
9
A unique case of hepatopulmonary fusion in congenital diaphragmatic hernia causing pulmonary hypoplasia in a newborn: A case report study.先天性膈疝合并肝肺融合致新生儿肺发育不全1例:病例报告研究
Int J Surg Case Rep. 2024 Nov;124:110331. doi: 10.1016/j.ijscr.2024.110331. Epub 2024 Sep 24.
10
Delayed presentation of a right congenital diaphragmatic hernia following left congenital diaphragmatic hernia repair in infancy.婴儿期左侧先天性膈疝修补术后右侧先天性膈疝延迟出现。
Int J Surg Case Rep. 2023 Apr;105:108020. doi: 10.1016/j.ijscr.2023.108020. Epub 2023 Mar 21.

引用本文的文献

1
Case Report: Tracheobronchomalacia after a two-stage surgical approach to treat congenital diaphragmatic hernia with hepatopulmonary fusion.病例报告:采用两阶段手术方法治疗合并肝肺融合的先天性膈疝后发生气管支气管软化症。
Front Pediatr. 2025 Jul 28;13:1573827. doi: 10.3389/fped.2025.1573827. eCollection 2025.

本文引用的文献

1
Hepatopulmonary fusion: A rare variant of congenital diaphragmatic hernia.肝肺融合:先天性膈疝的一种罕见变异型。
J Pediatr Surg. 2020 Sep;55(9):1903-1907. doi: 10.1016/j.jpedsurg.2019.09.037. Epub 2019 Nov 7.
2
Development of the lung.肺的发育
Cell Tissue Res. 2017 Mar;367(3):427-444. doi: 10.1007/s00441-016-2545-0. Epub 2017 Jan 31.
3
Outcomes of congenital diaphragmatic hernia in the modern era of management.先天性膈疝在现代管理时代的结果。
J Pediatr. 2013 Jul;163(1):114-9.e1. doi: 10.1016/j.jpeds.2012.12.036. Epub 2013 Jan 30.
4
Overview of epidemiology, genetics, birth defects, and chromosome abnormalities associated with CDH.与先天性膈疝相关的流行病学、遗传学、出生缺陷及染色体异常概述。
Am J Med Genet C Semin Med Genet. 2007 May 15;145C(2):158-71. doi: 10.1002/ajmg.c.30126.