Department of Emergency and Critical Care Medicine, Juntendo University Nerima Hospital, 3- 1-10, Takanodai, Nerima-City, 177-8521, Tokyo, Japan.
Department of Pharmacy, Juntendo University Nerima Hospital, 3-1-10, Takanodai, Nerima-City, 177-8521, Tokyo, Japan.
BMC Infect Dis. 2024 Sep 9;24(1):939. doi: 10.1186/s12879-024-09825-9.
Corynebacterium striatum (C. striatum) is a gram-positive, anaerobic bacillus found both environmentally and in human skin and nasal mucosa flora. It is reportedly the etiologic agent of community-acquired and nosocomial diseases and is significantly associated with bacteremia and medical endovascular devices. This is the rare case of mitral valve native valve endocarditis (NVE) caused by C. striatum occurring in a young adult without underlying structural heart disease or indwelling cardiovascular medical devices successfully treated with multidisciplinary therapy.
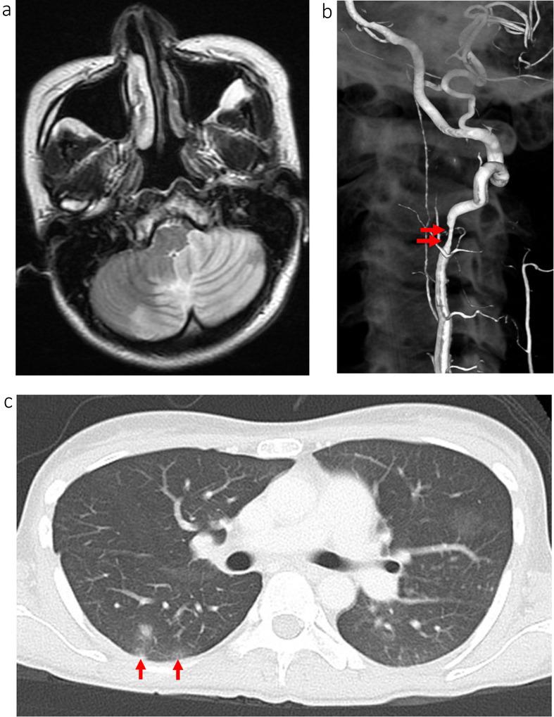
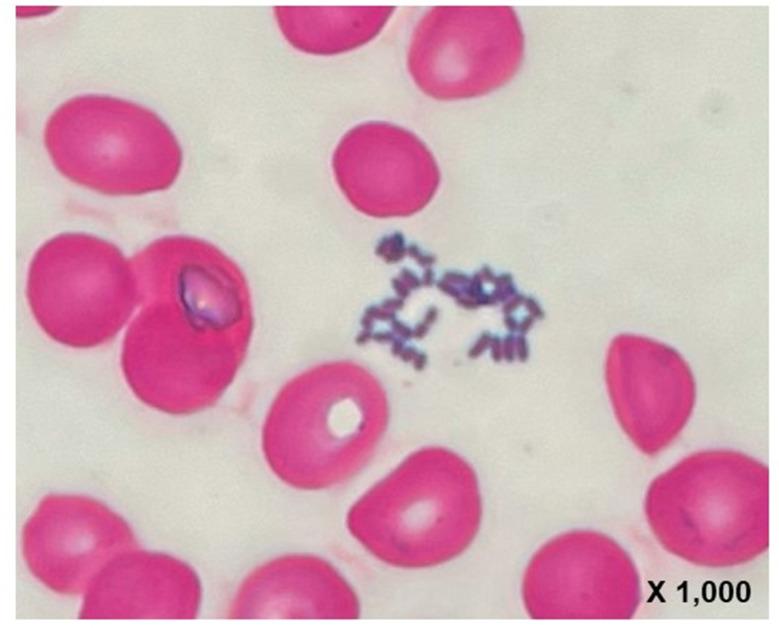
The patient was a 28-year-old female with no medical history. She was transferred our hospital due to sudden onset of vertigo and vomit. A computed tomography on day 2 revealed the hydrocephalus due to the cerebellar infarction, and she underwent posterior fossa decompression for cerebellar infarction. An angiography on day 8 revealed a left vertebral artery dissection, which was suspected be the etiology. Afterwards, a sudden fever of 39 degrees developed on day 38. She was diagnosed with aspiration pneumonia and treated with ampicillin/sulbactam but was still febrile at the time of transfer for rehabilitation. Treatment continued with levofloxacin, the patient had no fever decline, and she was readmitted to our hospital. Readmission blood cultures (3/3 sets) revealed C. striatum, and an echocardiogram revealed an 11 mm long mitral valve vegetation, leading to NVE diagnosis. On the sixth illness day, cardiac failure symptoms manifested. Echocardiography revealed mitral valve rupture. She was transferred again on the 11th day of illness, during which time her mitral valve was replaced. C. striatum was detected in the vegetation. Following surgery, she returned to our hospital, and vancomycin administration continued. The patient was discharged after 31 total days of postoperative antimicrobial therapy. The patient experienced no exacerbations thereafter.
We report the rare case of C. striatum mitral valve NVE in a young adult without structural heart disease or indwelling cardiovascular devices.
Not applicable.
棒状杆菌(C. striatum)是一种革兰阳性、厌氧杆菌,存在于环境中和人类皮肤及鼻腔黏膜菌群中。据报道,它是社区获得性和医院获得性疾病的病原体,与菌血症和医源性血管内装置显著相关。这是一例罕见的由 C. striatum 引起的二尖瓣原生瓣膜心内膜炎(NVE)的病例,发生在一位年轻的成年患者,无结构性心脏病或留置心血管医疗设备,经多学科治疗成功治愈。
患者为 28 岁女性,无既往病史。她因突发眩晕和呕吐转入我院。入院第 2 天行颅脑 CT 检查提示小脑梗死伴脑积水,行后颅窝减压术治疗小脑梗死。入院第 8 天行全脑血管造影术提示左侧椎动脉夹层,考虑为病因。之后,入院第 38 天患者突发 39 度高热,诊断为吸入性肺炎,给予氨苄西林/舒巴坦治疗,但仍发热转入康复科治疗。转科后继续给予左氧氟沙星治疗,患者仍未退热,再次转入我院。再次入院后血培养(3/3 套)提示 C. striatum,心脏超声提示二尖瓣长 11mm 赘生物,诊断为 NVE。入院第 6 天出现心力衰竭症状。心脏超声提示二尖瓣破裂。入院第 11 天再次转科,行二尖瓣置换术。赘生物中检出 C. striatum。术后转入我院继续给予万古霉素治疗。患者共接受 31 天的术后抗感染治疗后出院。此后患者无病情加重。
我们报告了一例罕见的无结构性心脏病或留置心血管设备的年轻成年患者由 C. striatum 引起的二尖瓣原生瓣膜心内膜炎。
不适用。