Department of Physiology and Neuroscience Program, Biomedicine Discovery Institute, Monash University, Clayton, Melbourne, VIC, 3800, Australia.
Sci Rep. 2024 Sep 11;14(1):21174. doi: 10.1038/s41598-024-71637-3.
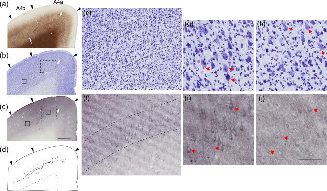
Vasoactive intestinal polypeptide (VIP) is known to be present in a subclass of cortical interneurons. Here, using three different antibodies, we demonstrate that VIP is also present in the giant layer 5 pyramidal (Betz) neurons which are characteristic of the limb and axial representations of the marmoset primary motor cortex (cytoarchitectural area 4ab). No VIP staining was observed in smaller layer 5 pyramidal cells present in the primary motor facial representation (cytoarchitectural area 4c), or in the premotor cortex (e.g. the caudal subdivision of the dorsal premotor cortex, A6DC), indicating the selective expression of VIP in Betz cells. VIP in Betz cells was colocalized with neuronal specific marker (NeuN) and a calcium-binding protein parvalbumin (PV). PV also intensely labelled axon terminals surrounding Betz cell somata. VIP-positive interneurons were more abundant in the superficial cortical layers and constituted about 5-7% of total cortical neurons, with the highest density observed in area 4c. Our results demonstrate the expression of VIP in the largest excitatory neurons of the primate cortex, which may offer new functional insights into the role of VIP in the brain, and provide opportunities for genetic manipulation of Betz cells.
已知血管活性肠肽 (VIP) 存在于皮质中间神经元的一个亚类中。在这里,我们使用三种不同的抗体,证明 VIP 也存在于巨细胞 5 层锥体 (Betz) 神经元中,这些神经元是狨猴初级运动皮层(细胞构筑区域 4ab)肢体和轴代表的特征。在较小的初级运动面部代表(细胞构筑区域 4c)中的 5 层锥体细胞或在运动前皮层(例如,背侧运动前皮层的尾部分支 A6DC)中未观察到 VIP 染色,表明 VIP 在 Betz 细胞中选择性表达。Betz 细胞中的 VIP 与神经元特异性标志物(NeuN)和钙结合蛋白 parvalbumin (PV) 共定位。PV 还强烈标记了围绕 Betz 细胞体的轴突末梢。VIP 阳性中间神经元在皮质浅层更为丰富,约占总皮质神经元的 5-7%,在 4c 区观察到最高密度。我们的结果表明 VIP 在灵长类动物皮层中最大的兴奋性神经元中表达,这可能为 VIP 在大脑中的作用提供新的功能见解,并为 Betz 细胞的遗传操作提供机会。