Bhat Yasser A, Alsharif Abdulkader M, Alrusayni Osama, Rashed Mohammed A, Almesned Abdulrahman, Al Qwaee Abdullah
Pediatric Cardiology, Prince Sultan Cardiac Center, Buraidah, SAU.
Cureus. 2024 Aug 10;16(8):e66610. doi: 10.7759/cureus.66610. eCollection 2024 Aug.
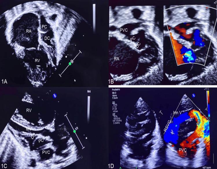
Levoatriocardinal vein has rarely been described with cor triatriatum. We report a case of a newborn with respiratory distress who was found to have cor triatriatum sinister with a decompressing levoatriocardinal vein on transthoracic echocardiography. The pulmonary venous confluence received all pulmonary veins and drained to the proximal left atrial chamber through significant communication. Moreover, the cor triatriatum membrane separated the left atrial body into proximal and distal left atrial chambers with a restrictive opening in the membrane, causing severe flow limitation to the cardiac output, severe pulmonary arterial hypertension, and significant right ventricular dilatation. In addition, a sizeable levoatriocardinal vein decompressed the pulmonary venous confluence drained superiorly to the left innominate vein. She had a successful surgical repair by resectioning the cor triatriatum membrane and ligating the levoatriocardinal vein. The patient had improved pulmonary arterial pressures and right ventricular dimensions at the one-month follow-up. The case highlights the rare association of the levoatriocardinal vein and cor triatriatum, and its presence signifies severe obstruction at the level of cor triatriatum.
左心房静脉与三房心的关联鲜有报道。我们报告一例患有呼吸窘迫的新生儿,经胸超声心动图检查发现其患有左位三房心,并伴有一条起到减压作用的左心房静脉。肺静脉汇合处收纳了所有肺静脉,并通过明显的交通口引流至左心房近端腔室。此外,三房心隔膜将左心房主体分隔为左心房近端腔室和远端腔室,隔膜上有一个限制性开口,导致心输出量严重受限、严重肺动脉高压和显著的右心室扩张。此外,一条粗大的左心房静脉使肺静脉汇合处得以减压,该汇合处向上引流至左无名静脉。通过切除三房心隔膜并结扎左心房静脉,她成功接受了手术修复。在术后1个月的随访中,患者的肺动脉压力和右心室大小有所改善。该病例凸显了左心房静脉与三房心的罕见关联,其存在表明三房心水平存在严重梗阻。