Suppr超能文献

机器人辅助膈折叠术后因大量胃扭转导致的膈破裂

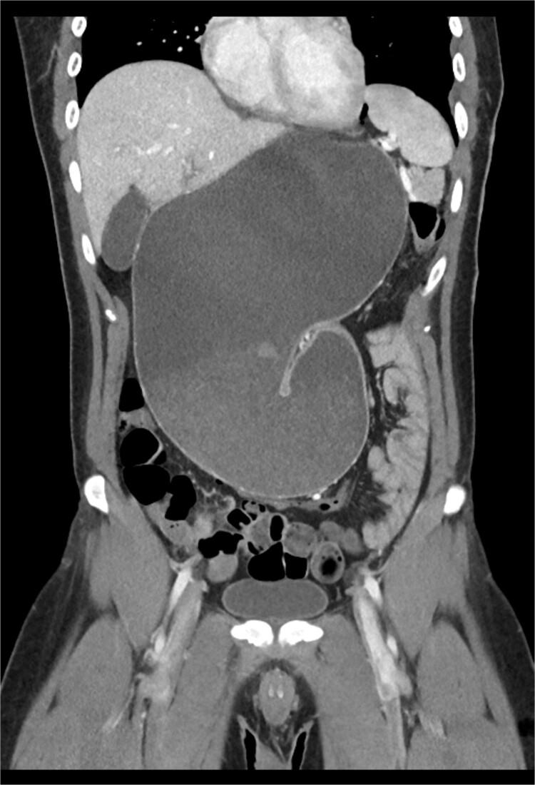
Diaphragmatic rupture due to massive gastric volvulus after robotic-assisted diaphragm plication.

作者信息

De Gregorio Anthony M, Shen K Robert, Tapias Luis F

机构信息

Division of Thoracic Surgery, Mayo Clinic, Rochester, MN 55905, United States.

出版信息

J Surg Case Rep. 2024 Sep 11;2024(9):rjae546. doi: 10.1093/jscr/rjae546. eCollection 2024 Sep.

Abstract

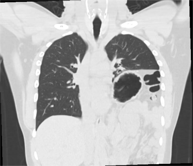
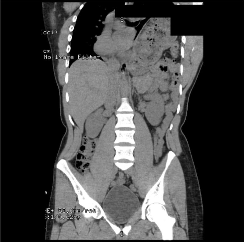
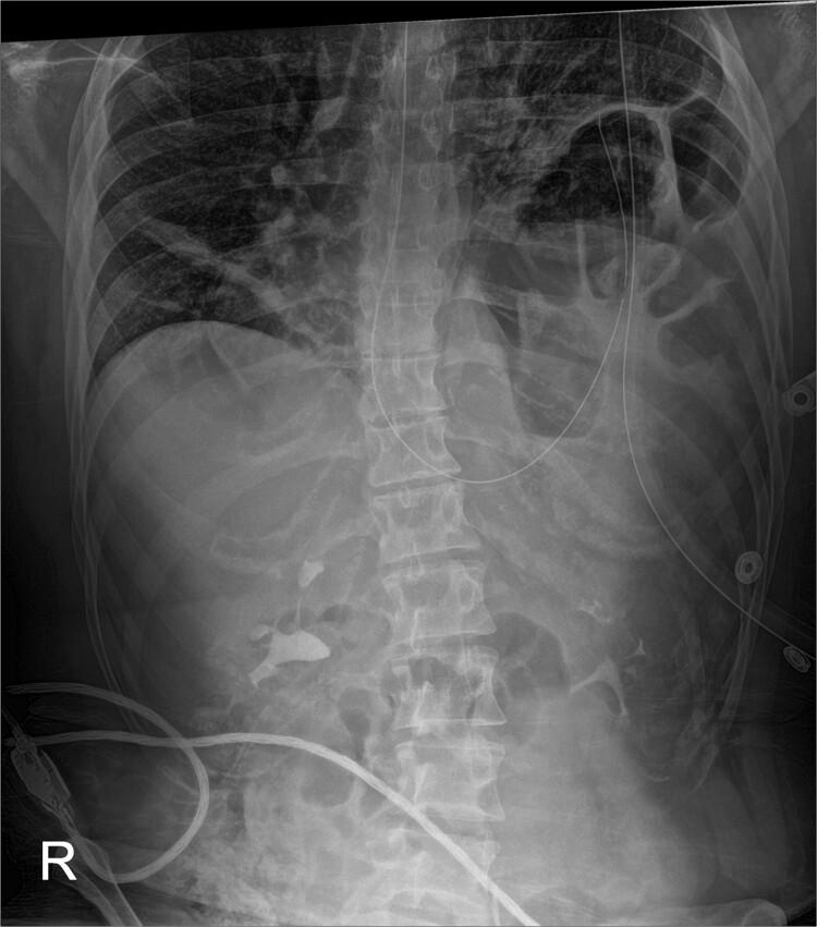
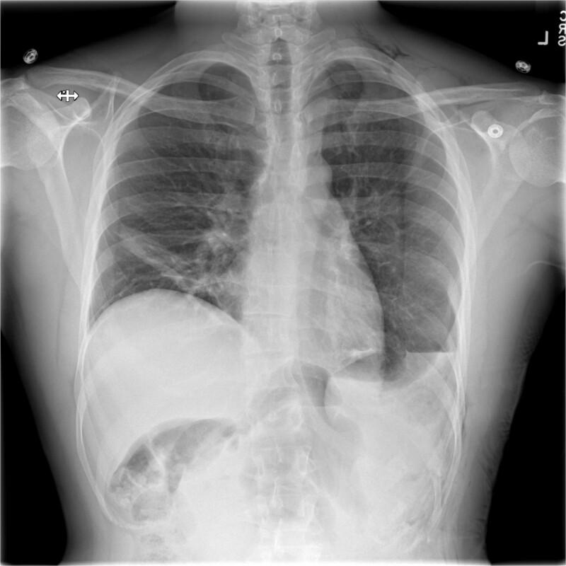
Gastric volvulus has been rarely associated with diaphragmatic paralysis or eventration. In this article, we present the case of a patient with idiopathic paralysis of the left hemidiaphragm that underwent treatment with a robotic thoracoscopic diaphragm plication, which was complicated by massive gastric volvulus resulting in such significant intra-abdominal hypertension that the ipsilateral diaphragm ruptured anterior to the plication suture line.

摘要

胃扭转很少与膈麻痹或膈膨出相关。在本文中,我们报告了一例特发性左半膈麻痹患者,该患者接受了机器人胸腔镜膈折叠术治疗,术后并发大量胃扭转,导致严重的腹腔内高压,使得同侧膈肌在折叠缝线前方破裂。

https://cdn.ncbi.nlm.nih.gov/pmc/blobs/6fcb/11391612/8a67be0f01c5/rjae546f1.jpg

文献检索

告别复杂PubMed语法,用中文像聊天一样搜索,搜遍4000万医学文献。AI智能推荐,让科研检索更轻松。

立即免费搜索

文件翻译

保留排版,准确专业,支持PDF/Word/PPT等文件格式,支持 12+语言互译。

免费翻译文档

深度研究

AI帮你快速写综述,25分钟生成高质量综述,智能提取关键信息,辅助科研写作。

立即免费体验