• 文献检索
  • 文档翻译
  • 深度研究
  • 学术资讯
  • Suppr Zotero 插件Zotero 插件
  • 邀请有礼
  • 套餐&价格
  • 历史记录
应用&插件
Suppr Zotero 插件Zotero 插件浏览器插件Mac 客户端Windows 客户端微信小程序
定价
高级版会员购买积分包购买API积分包
服务
文献检索文档翻译深度研究API 文档MCP 服务
关于我们
关于 Suppr公司介绍联系我们用户协议隐私条款
关注我们

Suppr 超能文献

核心技术专利:CN118964589B侵权必究
粤ICP备2023148730 号-1Suppr @ 2026

文献检索

告别复杂PubMed语法,用中文像聊天一样搜索,搜遍4000万医学文献。AI智能推荐,让科研检索更轻松。

立即免费搜索

文件翻译

保留排版,准确专业,支持PDF/Word/PPT等文件格式,支持 12+语言互译。

免费翻译文档

深度研究

AI帮你快速写综述,25分钟生成高质量综述,智能提取关键信息,辅助科研写作。

立即免费体验

内质网自噬通过其受体 UBAC2 来抑制炎症反应。

ER-phagy restrains inflammatory responses through its receptor UBAC2.

机构信息

Guangdong Province Key Laboratory of Pharmaceutical Functional Genes, MOE Key Laboratory of Gene Function and Regulation, State Key Laboratory of Biocontrol, School of Life Sciences, Sun Yat-sen University, Guangzhou, China.

Institute of Precision Medicine, Department of Critical Care Medicine, the First Affiliated Hospital, Sun Yat-sen University, Guangzhou, China.

出版信息

EMBO J. 2024 Nov;43(21):5057-5084. doi: 10.1038/s44318-024-00232-z. Epub 2024 Sep 16.

DOI:10.1038/s44318-024-00232-z
PMID:39284914
原文链接:https://pmc.ncbi.nlm.nih.gov/articles/PMC11535055/
Abstract

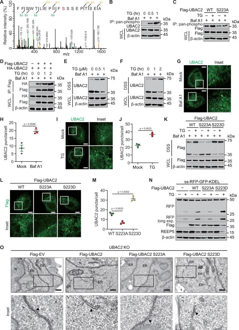
ER-phagy, a selective form of autophagic degradation of endoplasmic reticulum (ER) fragments, plays an essential role in governing ER homeostasis. Dysregulation of ER-phagy is associated with the unfolded protein response (UPR), which is a major clue for evoking inflammatory diseases. However, the molecular mechanism underpinning the connection between ER-phagy and disease remains poorly defined. Here, we identified ubiquitin-associated domain-containing protein 2 (UBAC2) as a receptor for ER-phagy, while at the same time being a negative regulator of inflammatory responses. UBAC2 harbors a canonical LC3-interacting region (LIR) in its cytoplasmic domain, which binds to autophagosomal GABARAP. Upon ER-stress or autophagy activation, microtubule affinity-regulating kinase 2 (MARK2) phosphorylates UBAC2 at serine (S) 223, promoting its dimerization. Dimerized UBAC2 interacts more strongly with GABARAP, thus facilitating selective degradation of the ER. Moreover, by affecting ER-phagy, UBAC2 restrains inflammatory responses and acute ulcerative colitis (UC) in mice. Our findings indicate that ER-phagy directed by a MARK2-UBAC2 axis may provide targets for the treatment of inflammatory disease.

摘要

内质网吞噬(ER-phagy)是内质网(ER)片段的一种选择性自噬降解形式,在调节 ER 稳态方面发挥着重要作用。ER-phagy 的失调与未折叠蛋白反应(UPR)有关,UPR 是引发炎症性疾病的主要线索。然而,ER-phagy 与疾病之间的联系的分子机制仍未得到明确界定。在这里,我们确定泛素相关结构域蛋白 2(UBAC2)是 ER-phagy 的受体,同时也是炎症反应的负调节剂。UBAC2 的细胞质结构域中含有一个典型的 LC3 相互作用区域(LIR),与自噬体 GABARAP 结合。在内质网应激或自噬激活时,微管亲和力调节激酶 2(MARK2)在丝氨酸(S)223 处磷酸化 UBAC2,促进其二聚化。二聚化的 UBAC2 与 GABARAP 结合更紧密,从而促进 ER 的选择性降解。此外,通过影响 ER-phagy,UBAC2 可抑制小鼠的炎症反应和急性溃疡性结肠炎(UC)。我们的研究结果表明,由 MARK2-UBAC2 轴指导的 ER-phagy 可能为炎症性疾病的治疗提供靶点。

https://cdn.ncbi.nlm.nih.gov/pmc/blobs/75b7/11535055/8f99744356d0/44318_2024_232_Fig12_ESM.jpg
https://cdn.ncbi.nlm.nih.gov/pmc/blobs/75b7/11535055/d20b9a244458/44318_2024_232_Fig1_HTML.jpg
https://cdn.ncbi.nlm.nih.gov/pmc/blobs/75b7/11535055/0d2b26f6f0bb/44318_2024_232_Fig2_HTML.jpg
https://cdn.ncbi.nlm.nih.gov/pmc/blobs/75b7/11535055/6798f58f68cf/44318_2024_232_Fig3_HTML.jpg
https://cdn.ncbi.nlm.nih.gov/pmc/blobs/75b7/11535055/d84483cd3ef8/44318_2024_232_Fig4_HTML.jpg
https://cdn.ncbi.nlm.nih.gov/pmc/blobs/75b7/11535055/9a1dac2ffcdc/44318_2024_232_Fig5_HTML.jpg
https://cdn.ncbi.nlm.nih.gov/pmc/blobs/75b7/11535055/b653076d3dd9/44318_2024_232_Fig6_HTML.jpg
https://cdn.ncbi.nlm.nih.gov/pmc/blobs/75b7/11535055/c2c990dc01d3/44318_2024_232_Fig7_HTML.jpg
https://cdn.ncbi.nlm.nih.gov/pmc/blobs/75b7/11535055/0f034d84c962/44318_2024_232_Fig8_ESM.jpg
https://cdn.ncbi.nlm.nih.gov/pmc/blobs/75b7/11535055/e1c07fad8140/44318_2024_232_Fig9_ESM.jpg
https://cdn.ncbi.nlm.nih.gov/pmc/blobs/75b7/11535055/192d90d19dc4/44318_2024_232_Fig10_ESM.jpg
https://cdn.ncbi.nlm.nih.gov/pmc/blobs/75b7/11535055/55d34eb54f07/44318_2024_232_Fig11_ESM.jpg
https://cdn.ncbi.nlm.nih.gov/pmc/blobs/75b7/11535055/8f99744356d0/44318_2024_232_Fig12_ESM.jpg
https://cdn.ncbi.nlm.nih.gov/pmc/blobs/75b7/11535055/d20b9a244458/44318_2024_232_Fig1_HTML.jpg
https://cdn.ncbi.nlm.nih.gov/pmc/blobs/75b7/11535055/0d2b26f6f0bb/44318_2024_232_Fig2_HTML.jpg
https://cdn.ncbi.nlm.nih.gov/pmc/blobs/75b7/11535055/6798f58f68cf/44318_2024_232_Fig3_HTML.jpg
https://cdn.ncbi.nlm.nih.gov/pmc/blobs/75b7/11535055/d84483cd3ef8/44318_2024_232_Fig4_HTML.jpg
https://cdn.ncbi.nlm.nih.gov/pmc/blobs/75b7/11535055/9a1dac2ffcdc/44318_2024_232_Fig5_HTML.jpg
https://cdn.ncbi.nlm.nih.gov/pmc/blobs/75b7/11535055/b653076d3dd9/44318_2024_232_Fig6_HTML.jpg
https://cdn.ncbi.nlm.nih.gov/pmc/blobs/75b7/11535055/c2c990dc01d3/44318_2024_232_Fig7_HTML.jpg
https://cdn.ncbi.nlm.nih.gov/pmc/blobs/75b7/11535055/0f034d84c962/44318_2024_232_Fig8_ESM.jpg
https://cdn.ncbi.nlm.nih.gov/pmc/blobs/75b7/11535055/e1c07fad8140/44318_2024_232_Fig9_ESM.jpg
https://cdn.ncbi.nlm.nih.gov/pmc/blobs/75b7/11535055/192d90d19dc4/44318_2024_232_Fig10_ESM.jpg
https://cdn.ncbi.nlm.nih.gov/pmc/blobs/75b7/11535055/55d34eb54f07/44318_2024_232_Fig11_ESM.jpg
https://cdn.ncbi.nlm.nih.gov/pmc/blobs/75b7/11535055/8f99744356d0/44318_2024_232_Fig12_ESM.jpg

相似文献

1
ER-phagy restrains inflammatory responses through its receptor UBAC2.内质网自噬通过其受体 UBAC2 来抑制炎症反应。
EMBO J. 2024 Nov;43(21):5057-5084. doi: 10.1038/s44318-024-00232-z. Epub 2024 Sep 16.
2
Excessive ER-phagy mediated by the autophagy receptor FAM134B results in ER stress, the unfolded protein response, and cell death in HeLa cells.过度的 ER-phagy 通过自噬受体 FAM134B 介导导致 HeLa 细胞内质网应激、未折叠蛋白反应和细胞死亡。
J Biol Chem. 2019 Dec 27;294(52):20009-20023. doi: 10.1074/jbc.RA119.008709. Epub 2019 Nov 20.
3
UBAC2 serves as a reticulophagy receptor to suppress inflammatory responses.UBAC2作为一种网织红细胞自噬受体来抑制炎症反应。
Autophagy. 2025 Feb;21(2):492-493. doi: 10.1080/15548627.2024.2431341. Epub 2024 Nov 27.
4
Intrinsically Disordered Protein TEX264 Mediates ER-phagy.内在无序蛋白 TEX264 介导线粒体自噬。
Mol Cell. 2019 Jun 6;74(5):909-921.e6. doi: 10.1016/j.molcel.2019.03.033. Epub 2019 Apr 18.
5
ATL3 Is a Tubular ER-Phagy Receptor for GABARAP-Mediated Selective Autophagy.ATL3 是一种管状内质网自噬受体,用于 GABARAP 介导的选择性自噬。
Curr Biol. 2019 Mar 4;29(5):846-855.e6. doi: 10.1016/j.cub.2019.01.041. Epub 2019 Feb 14.
6
The kinase PERK and the transcription factor ATF4 play distinct and essential roles in autophagy resulting from tunicamycin-induced ER stress.PERK 激酶和 ATF4 转录因子在衣霉素诱导的内质网应激导致的自噬中发挥独特且必不可少的作用。
J Biol Chem. 2019 May 17;294(20):8197-8217. doi: 10.1074/jbc.RA118.002829. Epub 2019 Mar 29.
7
Dicot-specific ATG8-interacting ATI3 proteins interact with conserved UBAC2 proteins and play critical roles in plant stress responses.二倍体植物特异性 ATG8 相互作用的 ATI3 蛋白与保守的 UBAC2 蛋白相互作用,并在植物应激反应中发挥关键作用。
Autophagy. 2018;14(3):487-504. doi: 10.1080/15548627.2017.1422856. Epub 2018 Feb 21.
8
A Genome-wide ER-phagy Screen Highlights Key Roles of Mitochondrial Metabolism and ER-Resident UFMylation.全基因组 ER 自噬筛选突出显示了线粒体代谢和 ER 驻留 UFM1 修饰的关键作用。
Cell. 2020 Mar 19;180(6):1160-1177.e20. doi: 10.1016/j.cell.2020.02.017. Epub 2020 Mar 10.
9
TEX264 Is an Endoplasmic Reticulum-Resident ATG8-Interacting Protein Critical for ER Remodeling during Nutrient Stress.TEX264 是内质网驻留的 ATG8 相互作用蛋白,对于营养胁迫期间内质网重塑至关重要。
Mol Cell. 2019 Jun 6;74(5):891-908.e10. doi: 10.1016/j.molcel.2019.03.034. Epub 2019 Apr 18.
10
A cross-kingdom conserved ER-phagy receptor maintains endoplasmic reticulum homeostasis during stress.一种跨物种保守的内质网自噬受体在应激过程中维持内质网的稳态。
Elife. 2020 Aug 27;9:e58396. doi: 10.7554/eLife.58396.

引用本文的文献

1
Paricalcitol alleviates intestinal ischemia-reperfusion injury via inhibition of the ATF4-CHOP pathway.帕立骨化醇通过抑制ATF4-CHOP信号通路减轻肠道缺血再灌注损伤。
Front Pharmacol. 2025 Apr 3;16:1529343. doi: 10.3389/fphar.2025.1529343. eCollection 2025.
2
Autophagy, ER-phagy and ER Dynamics During Cell Differentiation.细胞分化过程中的自噬、内质网自噬与内质网动态变化
J Mol Biol. 2025 Sep 15;437(18):169151. doi: 10.1016/j.jmb.2025.169151. Epub 2025 Apr 11.
3
Two FAM134B isoforms differentially regulate ER dynamics during myogenesis.

本文引用的文献

1
The rapid proximity labeling system PhastID identifies ATP6AP1 as an unconventional GEF for Rheb.快速临近标记系统 PhastID 将 ATP6AP1 鉴定为 Rheb 的一种非传统的 GEF。
Cell Res. 2024 May;34(5):355-369. doi: 10.1038/s41422-024-00938-z. Epub 2024 Mar 6.
2
Ubiquitination regulates ER-phagy and remodelling of endoplasmic reticulum.泛素化调节内质网自噬和内质网重塑。
Nature. 2023 Jun;618(7964):394-401. doi: 10.1038/s41586-023-06089-2. Epub 2023 May 24.
3
Heteromeric clusters of ubiquitinated ER-shaping proteins drive ER-phagy.
两种FAM134B亚型在成肌过程中对内质网动态变化有不同调节作用。
EMBO J. 2025 Feb;44(4):1039-1073. doi: 10.1038/s44318-024-00356-2. Epub 2025 Jan 6.
4
UBAC2 serves as a reticulophagy receptor to suppress inflammatory responses.UBAC2作为一种网织红细胞自噬受体来抑制炎症反应。
Autophagy. 2025 Feb;21(2):492-493. doi: 10.1080/15548627.2024.2431341. Epub 2024 Nov 27.
泛素化内质网成形蛋白的异源三聚体驱动内质网自噬。
Nature. 2023 Jun;618(7964):402-410. doi: 10.1038/s41586-023-06090-9. Epub 2023 May 24.
4
Phase-separated nucleocapsid protein of SARS-CoV-2 suppresses cGAS-DNA recognition by disrupting cGAS-G3BP1 complex.新冠病毒分离的核衣壳蛋白通过破坏 cGAS-G3BP1 复合物抑制 cGAS-DNA 的识别。
Signal Transduct Target Ther. 2023 Apr 26;8(1):170. doi: 10.1038/s41392-023-01420-9.
5
Bi-allelic mutation in SEC16B alters collagen trafficking and increases ER stress.SEC16B 的双等位基因突变改变了胶原的运输,并增加了内质网应激。
EMBO Mol Med. 2023 Apr 11;15(4):e16834. doi: 10.15252/emmm.202216834. Epub 2023 Mar 14.
6
Control of immune cell function by the unfolded protein response.未折叠蛋白反应对免疫细胞功能的调控。
Nat Rev Immunol. 2023 Sep;23(9):546-562. doi: 10.1038/s41577-023-00838-0. Epub 2023 Feb 8.
7
Autophagy genes in biology and disease.生物学与疾病中的自噬基因
Nat Rev Genet. 2023 Jun;24(6):382-400. doi: 10.1038/s41576-022-00562-w. Epub 2023 Jan 12.
8
In vivo self-assembled siRNA as a modality for combination therapy of ulcerative colitis.体内自组装 siRNA 作为溃疡性结肠炎联合治疗的一种方式。
Nat Commun. 2022 Sep 28;13(1):5700. doi: 10.1038/s41467-022-33436-0.
9
Identification of endoplasmic reticulum stress-associated genes and subtypes for prediction of Alzheimer's disease based on interpretable machine learning.基于可解释机器学习识别内质网应激相关基因和亚型以预测阿尔茨海默病
Front Pharmacol. 2022 Aug 19;13:975774. doi: 10.3389/fphar.2022.975774. eCollection 2022.
10
Chronic activation of pDCs in autoimmunity is linked to dysregulated ER stress and metabolic responses.自身免疫中 pDC 的慢性激活与失调的内质网应激和代谢反应有关。
J Exp Med. 2022 Nov 7;219(11). doi: 10.1084/jem.20221085. Epub 2022 Sep 2.