Suppr超能文献

一例罕见的阿利西尤单抗(前蛋白转化酶枯草溶菌素9抑制剂)相关性急性间质性肾炎病例。

A rare case of alirocumab (PCSK9 inhibitor)-associated acute interstitial nephritis.

作者信息

Habib Nazia, Yuan Chase, Lightle Andrea, Monrroy Mauricio, Mehta Swati

机构信息

Department of Medicine, Division of Nephrology, Albany Medical Center.

Albany Medical College, and.

出版信息

Clin Nephrol Case Stud. 2024 Sep 16;12:48-51. doi: 10.5414/CNCS111443. eCollection 2024.

Abstract

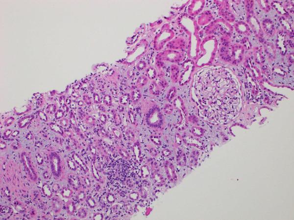
Acute interstitial nephritis (AIN) is a common cause of hospital-acquired acute kidney injury (AKI) [1]. The most common cause of AIN is drug-induced AIN, which accounts for 60 - 70% of cases [2]. Alirocumab, a proprotein convertase subtilisin/kexin type 9 inhibitor (PCSK9 inhibitor) is a monoclonal antibody that lowers low-density lipoprotein-C levels by inhibiting the PCSK9 protein [3]. Common adverse events reported with alirocumab include injection-site reactions, myalgia, neurocognitive disorders, and ophthalmologic disorders [4]. There is paucity of data, with few reported cases of AKI, mostly in the form of acute tubular necrosis (ATN) associated with alirocumab [5]. In this article, we present a novel case of AIN associated with the use of alirocumab.

摘要

急性间质性肾炎(AIN)是医院获得性急性肾损伤(AKI)的常见病因[1]。AIN最常见的病因是药物性AIN,占病例的60% - 70%[2]。阿利西尤单抗是一种前蛋白转化酶枯草溶菌素/克新9型抑制剂(PCSK9抑制剂),是一种单克隆抗体,通过抑制PCSK9蛋白来降低低密度脂蛋白胆固醇水平[3]。阿利西尤单抗报告的常见不良事件包括注射部位反应、肌痛、神经认知障碍和眼科疾病[4]。关于阿利西尤单抗相关AKI的数据很少,仅有少数病例报告,大多表现为与阿利西尤单抗相关的急性肾小管坏死(ATN)[5]。在本文中,我们报告了一例与使用阿利西尤单抗相关的AIN新病例。

https://cdn.ncbi.nlm.nih.gov/pmc/blobs/b9f6/11407299/eaf781409d70/CNCS-12-048-01.jpg

文献检索

告别复杂PubMed语法,用中文像聊天一样搜索,搜遍4000万医学文献。AI智能推荐,让科研检索更轻松。

立即免费搜索

文件翻译

保留排版,准确专业,支持PDF/Word/PPT等文件格式,支持 12+语言互译。

免费翻译文档

深度研究

AI帮你快速写综述,25分钟生成高质量综述,智能提取关键信息,辅助科研写作。

立即免费体验