Suppr超能文献

肾上腺嗜酸性细胞型嗜铬细胞瘤:一段具有挑战性诊断历程的见解

Adrenal Oncocytic Pheochromocytoma: Insights From a Challenging Diagnostic Journey.

作者信息

Gore Charusheela, Singh Dipti, Gurwale Sushama, Dharwadkar Arpana

机构信息

Pathology, Dr. D. Y. Patil Medical College, Hospital and Research Centre, Dr. D. Y. Patil Vidyapeeth (Deemed to Be University), Pune, IND.

出版信息

Cureus. 2024 Aug 17;16(8):e67058. doi: 10.7759/cureus.67058. eCollection 2024 Aug.

Abstract

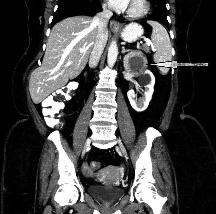
Pheochromocytomas are rare adrenal medulla tumors originating from chromaffin cells, accounting for 10% of primary adrenal neoplasms. Oncocytic variants of pheochromocytomas are rare and have been reported in only 150 cases. This report describes the case of a 60-year-old female who arrived with a non-functional adrenal tumor. This case report emphasizes the importance of a comprehensive histological and immunohistochemical study for diagnosing this rare diagnostic entity and its potential diagnostic pitfalls.

摘要

嗜铬细胞瘤是起源于嗜铬细胞的罕见肾上腺髓质肿瘤,占原发性肾上腺肿瘤的10%。嗜铬细胞瘤的嗜酸细胞变体罕见,仅报道过150例。本报告描述了一名60岁女性因无功能肾上腺肿瘤前来就诊的病例。本病例报告强调了全面的组织学和免疫组化研究对于诊断这种罕见诊断实体及其潜在诊断陷阱的重要性。

https://cdn.ncbi.nlm.nih.gov/pmc/blobs/59d5/11407686/810548493fbf/cureus-0016-00000067058-i01.jpg

文献检索

告别复杂PubMed语法,用中文像聊天一样搜索,搜遍4000万医学文献。AI智能推荐,让科研检索更轻松。

立即免费搜索

文件翻译

保留排版,准确专业,支持PDF/Word/PPT等文件格式,支持 12+语言互译。

免费翻译文档

深度研究

AI帮你快速写综述,25分钟生成高质量综述,智能提取关键信息,辅助科研写作。

立即免费体验