Suppr超能文献

肺移植后的肾活检结果

Kidney Biopsy Findings After Lung Transplantation.

作者信息

de Saint Gilles David, Rabant Marion, Sannier Aurélie, Mussini Charlotte, Hertig Alexandre, Roux Antoine, Karras Alexandre, Daugas Eric, Bunel Vincent, Le Pavec Jerome, Snanoudj Renaud

机构信息

Nephrology and Transplantation Department, Bicêtre Hospital, Assistance Publique-Hôpitaux de Paris, Université de Paris Saclay, Le Kremlin-Bicêtre, France.

Pathology Department, Necker Hospital, Assistance Publique-Hôpitaux de Paris, Université de Paris Cité, Paris, France.

出版信息

Kidney Int Rep. 2024 Jul 6;9(9):2774-2785. doi: 10.1016/j.ekir.2024.07.005. eCollection 2024 Sep.

Abstract

INTRODUCTION

The early diagnosis of histological kidney damage after lung transplantation (LT) is of paramount importance given the negative prognostic implications of kidney disease.

METHODS

Three pathologists analyzed all kidney biopsies (KBs) (N = 100) performed from 2010 to 2021 on lung transplant patients in 4 Paris transplantation centers.

RESULTS

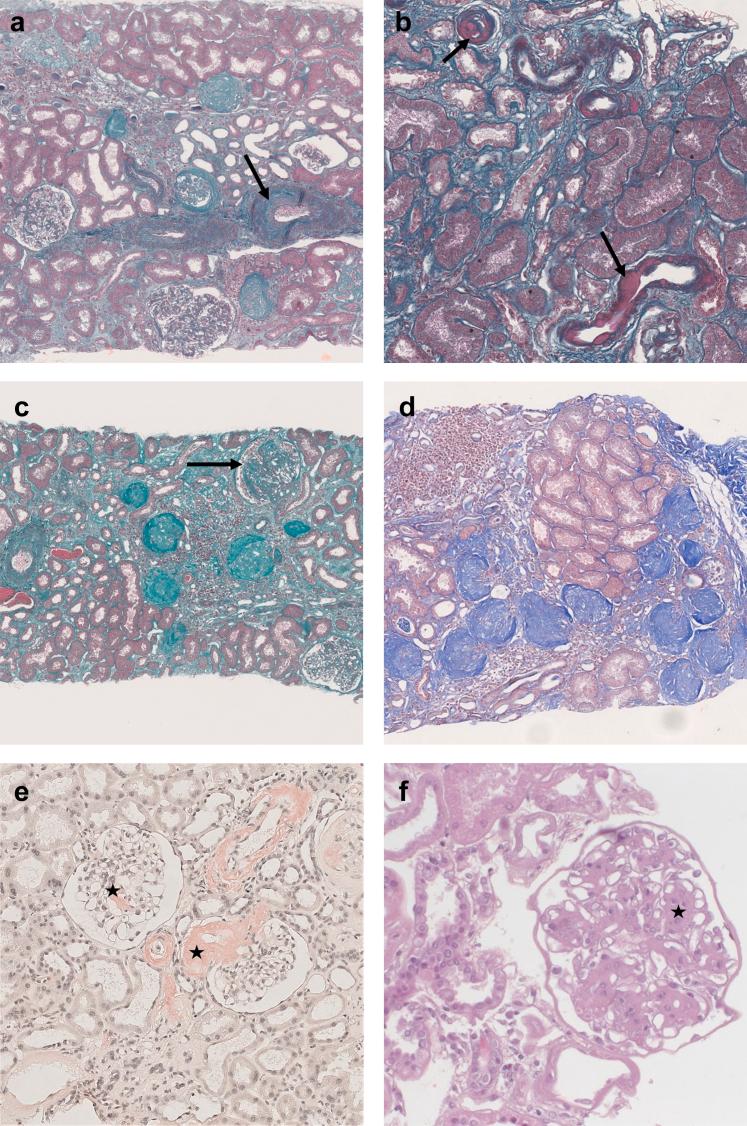
The main indication for biopsy was chronic renal dysfunction (72% of patients). Biopsies were performed at a median of 26.3 months after transplantation and 15 months after a decline in estimated glomerular filtration rate (eGFR) or the onset of proteinuria. Biopsies revealed a wide spectrum of chronic lesions involving the glomerular, vascular, and tubulointerstitial compartments. The 4 most frequent final diagnoses, observed in 18% to 49% of biopsies, were arteriosclerosis, acute calcineurin inhibitor (CNI) toxicity, thrombotic microangiopathy (TMA) and acute tubular necrosis (ATN). TMA was significantly associated with a combination of mTOR inhibitors (mTORi) or CNIs with biological signs present in only 50% of patients. The eGFR was poorly correlated with most lesions, particularly percent glomerulosclerosis, and with the risk of end-stage renal disease (ESRD). Thirty-four patients progressed to ESRD at an average of 20.1 months after biopsy. Three factors were independently associated with the risk of ESRD: postoperative dialysis, proteinuria >3 g/g and percent glomerulosclerosis >4%.

CONCLUSION

Given the great diversity of renal lesions observed in lung transplant recipients, early referral to nephrologists for KB should be considered for these patients when they present with signs of kidney disease.

摘要

引言

鉴于肾脏疾病对预后有负面影响,肺移植(LT)后组织学肾脏损伤的早期诊断至关重要。

方法

三名病理学家分析了2010年至2021年在4个巴黎移植中心对肺移植患者进行的所有肾脏活检(KBs)(N = 100)。

结果

活检的主要指征是慢性肾功能不全(72%的患者)。活检在移植后中位数26.3个月以及估计肾小球滤过率(eGFR)下降或蛋白尿出现后15个月进行。活检显示出广泛的慢性病变,累及肾小球、血管和肾小管间质部分。在18%至49%的活检中观察到的4种最常见的最终诊断是动脉硬化、急性钙调神经磷酸酶抑制剂(CNI)毒性、血栓性微血管病(TMA)和急性肾小管坏死(ATN)。TMA与mTOR抑制剂(mTORi)或CNIs联合使用显著相关,且仅50%的患者有生物学体征。eGFR与大多数病变,特别是肾小球硬化百分比,以及终末期肾病(ESRD)风险的相关性较差。34例患者在活检后平均20.1个月进展为ESRD。三个因素与ESRD风险独立相关:术后透析、蛋白尿>3 g/g和肾小球硬化百分比>4%。

结论

鉴于肺移植受者中观察到的肾脏病变种类繁多,当这些患者出现肾脏疾病迹象时,应考虑尽早将其转诊至肾病科医生处进行肾脏活检。

https://cdn.ncbi.nlm.nih.gov/pmc/blobs/5f6e/11403037/f4d583239b1d/ga1.jpg

文献检索

告别复杂PubMed语法,用中文像聊天一样搜索,搜遍4000万医学文献。AI智能推荐,让科研检索更轻松。

立即免费搜索

文件翻译

保留排版,准确专业,支持PDF/Word/PPT等文件格式,支持 12+语言互译。

免费翻译文档

深度研究

AI帮你快速写综述,25分钟生成高质量综述,智能提取关键信息,辅助科研写作。

立即免费体验