Suppr超能文献

薯蓣皂苷通过TLR4/NF-κB通路预防慢性前列腺炎。

Dioscin protects against chronic prostatitis through the TLR4/NF-κB pathway.

作者信息

Long Yan, Ge Xiaodong, Ma Liangliang, Guo Junhua, Zhu Yong

机构信息

Department of Andrology, Yancheng TCM Hospital Affiliated to Nanjing University of Chinese Medicine, Yancheng, 224001, China.

Department of Andrology, Yancheng TCM Hospital Affiliated to Nanjing University of Chinese Medicine, No. 53 Renmin North Road, Yancheng, 224001, China.

出版信息

Open Med (Wars). 2024 Sep 13;19(1):20241036. doi: 10.1515/med-2024-1036. eCollection 2024.

Abstract

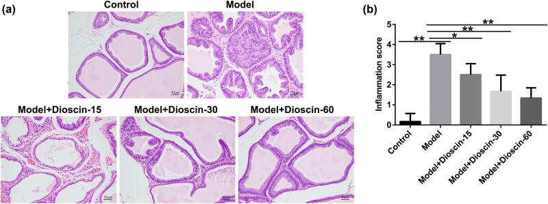
This study aimed to elucidate the effects and potential mechanisms of dioscin on chronic prostatitis (CP) and . CP models were constructed and and treated with different concentrations of dioscin. Hematoxylin and eosin staining was used to investigate the morphology of the prostate tissues. The concentration of inflammatory factors in prostate tissues was determined by enzyme-linked immunosorbent assay. The release of reactive oxygen species, malondialdehyde, superoxide dismutase, and catalase was measured using detection kits. P69 cell proliferation was assessed by 3-(4, 5-dimethylthiazol-2-yl)-2,5-diphenyl tetrazolium bromide. Furthermore, the activity of the TLR4/NF-κB signaling pathway was determined by quantitative reverse transcriptase polymerase chain reaction or Western blot assay. Histopathological data suggested that dioscin exerted protective effects against prostate morphological changes. Dioscin inhibits inflammatory cytokines and oxidative stress (OS) in prostate tissues in a concentration-dependent manner. Moreover, dioscin notably inhibited the activation of the TLR4/NF-κB signaling pathway in CP rats. , dioscin remarkably reduced lipopolysaccharide-induced P69 proliferation, inflammation, OS, and TLR4/NF-κB pathway activation in a dose-dependent manner. In conclusion, dioscin exerts a protective effect in CP by decreasing the inflammatory response and OS through the TLR4/NF-κB pathways. Our findings provide a novel latent therapy for dioscin for the treatment and prevention of CP.

摘要

本研究旨在阐明薯蓣皂苷对慢性前列腺炎(CP)的影响及其潜在机制。构建CP模型并给予不同浓度的薯蓣皂苷进行治疗。采用苏木精-伊红染色观察前列腺组织形态。通过酶联免疫吸附测定法测定前列腺组织中炎症因子的浓度。使用检测试剂盒检测活性氧、丙二醛、超氧化物歧化酶和过氧化氢酶的释放。采用3-(4,5-二甲基噻唑-2-基)-2,5-二苯基四氮唑溴盐法评估P69细胞增殖。此外,通过定量逆转录聚合酶链反应或蛋白质免疫印迹法测定TLR4/NF-κB信号通路的活性。组织病理学数据表明,薯蓣皂苷对前列腺形态变化具有保护作用。薯蓣皂苷以浓度依赖的方式抑制前列腺组织中的炎症细胞因子和氧化应激(OS)。此外,薯蓣皂苷显著抑制CP大鼠中TLR4/NF-κB信号通路的激活。此外,薯蓣皂苷以剂量依赖的方式显著降低脂多糖诱导的P69增殖、炎症、OS以及TLR4/NF-κB通路的激活。总之,薯蓣皂苷通过TLR4/NF-κB通路降低炎症反应和OS,从而在CP中发挥保护作用。我们的研究结果为薯蓣皂苷治疗和预防CP提供了一种新的潜在疗法。

https://cdn.ncbi.nlm.nih.gov/pmc/blobs/45e2/11406438/276367726a4e/j_med-2024-1036-fig001.jpg

文献检索

告别复杂PubMed语法,用中文像聊天一样搜索,搜遍4000万医学文献。AI智能推荐,让科研检索更轻松。

立即免费搜索

文件翻译

保留排版,准确专业,支持PDF/Word/PPT等文件格式,支持 12+语言互译。

免费翻译文档

深度研究

AI帮你快速写综述,25分钟生成高质量综述,智能提取关键信息,辅助科研写作。

立即免费体验