Suppr超能文献

纳武单抗作为三线治疗后行胃切除术实现长期生存的微卫星高度不稳定的IV期胃癌:一例报告及文献综述

Stage IV gastric cancer with microsatellite instability-high achieving long-term survival by gastrectomy after nivolumab as third-line therapy: a case report and literature review.

作者信息

Kumagai Hideki, Baba Shigeaki, Nikai Haruka, Fujisawa Ryosuke, Shimooki Misato, Sasaki Akira

机构信息

Department of Surgery, Iwate Medical University, 2-1-1 Idaidori, Yahaba, Iwate, 028-3695, Japan.

出版信息

Surg Case Rep. 2024 Sep 19;10(1):221. doi: 10.1186/s40792-024-02022-5.

Abstract

BACKGROUND

The prognosis for stage IV gastric cancer remains poor; however, the advent of immune checkpoint inhibitors (ICIs) such as nivolumab has increased the number of patients with long-term survival. Patients with microsatellite instability (MSI)-high gastric cancer have been recognized as a highly effective population for ICIs. Herein, we report a patient with MSI-high advanced gastric cancer treated with gastrectomy after the administration of nivolumab as third-line therapy.

CASE PRESENTATION

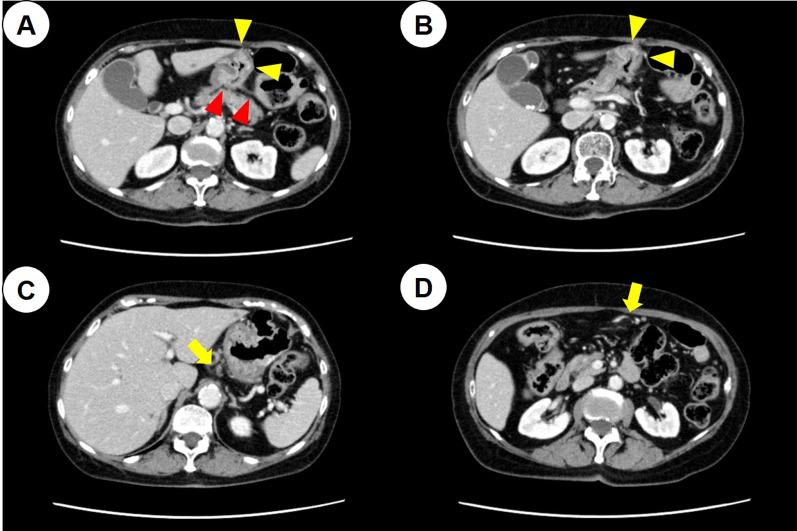
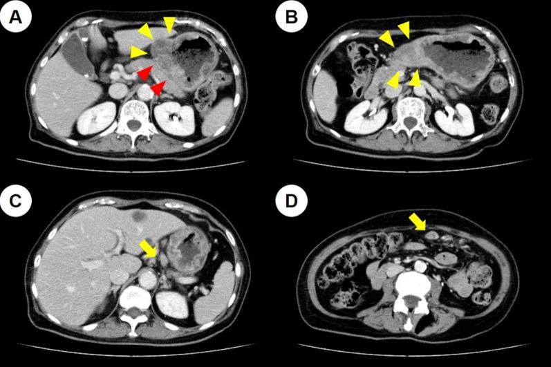
A 73-year-old woman presented with a type 3 tumor in the lower part of the gastric body, which was diagnosed as gastric cancer through biopsy. Staging laparoscopy revealed that the tumor had invaded the pancreas and the posterior lobe of the transverse mesocolon, and disseminated nodules were found near the ligament of Treitz. After 4 courses of S-1 plus cisplatin therapy, laparoscopic gastrojejunal bypass was performed because of difficulty in oral intake. She received S-1 plus oxaliplatin therapy after a gastrojejunal bypass; however, her regional lymph nodes were enlarged. After six courses of paclitaxel plus ramucirumab as second-line chemotherapy, computed tomography (CT) showed exacerbation of peritoneal dissemination; thus, nivolumab was selected as the third-line therapy. The tumor was characterized by MSI-high. At 24 courses, CT and gastroscopy revealed a complete clinical response of the tumor; however, re-growth of the primary tumor was observed at 36 courses. The patient underwent distal gastrectomy with D1 + lymph node dissection, and received S-1 monotherapy as adjuvant therapy for 1 year. No recurrence was noted at 39 months after the surgery.

CONCLUSIONS

We report a patient with highly advanced gastric cancer with peritoneal dissemination, which worsened during second-line therapy and was successfully treated with gastrectomy after nivolumab administration as a third-line therapy. MSI-high gastric cancer is a target that should be actively considered for the administration of ICIs, such as nivolumab, and multidisciplinary treatment combined with chemotherapy and gastrectomy, including conversion surgery, can lead to patients' long-term survival.

摘要

背景

IV期胃癌的预后仍然很差;然而,纳武单抗等免疫检查点抑制剂(ICI)的出现增加了长期生存患者的数量。微卫星高度不稳定(MSI-H)的胃癌患者已被认为是ICI的高效人群。在此,我们报告一例MSI-H晚期胃癌患者,在接受纳武单抗作为三线治疗后行胃切除术。

病例介绍

一名73岁女性,胃体下部有一个3型肿瘤,经活检诊断为胃癌。分期腹腔镜检查显示肿瘤侵犯了胰腺和横结肠系膜后叶,在Treitz韧带附近发现了播散性结节。在接受4个疗程的S-1加顺铂治疗后,由于口服摄入困难,进行了腹腔镜胃空肠吻合术。胃空肠吻合术后,她接受了S-1加奥沙利铂治疗;然而,她的区域淋巴结肿大。在接受六个疗程的紫杉醇加雷莫西尤单抗作为二线化疗后,计算机断层扫描(CT)显示腹膜播散加重;因此,选择纳武单抗作为三线治疗。肿瘤的特征为MSI-H。在第24个疗程时,CT和胃镜检查显示肿瘤有完全的临床反应;然而,在第36个疗程时观察到原发肿瘤复发。患者接受了D1+淋巴结清扫的远端胃切除术,并接受S-1单药辅助治疗1年。术后39个月未发现复发。

结论

我们报告了一例高度晚期胃癌伴腹膜播散的患者,该患者在二线治疗期间病情恶化,在接受纳武单抗作为三线治疗后成功接受了胃切除术。MSI-H胃癌是应积极考虑使用纳武单抗等ICI的靶点,包括转化手术在内的化疗和胃切除术相结合的多学科治疗可使患者长期生存。

https://cdn.ncbi.nlm.nih.gov/pmc/blobs/5367/11411035/100b197a5833/40792_2024_2022_Fig1_HTML.jpg

文献检索

告别复杂PubMed语法,用中文像聊天一样搜索,搜遍4000万医学文献。AI智能推荐,让科研检索更轻松。

立即免费搜索

文件翻译

保留排版,准确专业,支持PDF/Word/PPT等文件格式,支持 12+语言互译。

免费翻译文档

深度研究

AI帮你快速写综述,25分钟生成高质量综述,智能提取关键信息,辅助科研写作。

立即免费体验