Suppr超能文献

IL-11 顺式和反式信号在视网膜中血管调节作用的特征。

Characterization of the angiomodulatory effects of Interleukin 11 cis- and trans-signaling in the retina.

机构信息

Eye Center, Medical Center, Faculty of Medicine, University of Freiburg, Klinik für Augenheilkunde, Kilianstrasse 5, 79106, Freiburg im Breisgau, Germany.

Institute of Pharmaceutical Sciences, Faculty of Chemistry and Pharmacy, University of Freiburg, Freiburg, Germany.

出版信息

J Neuroinflammation. 2024 Sep 18;21(1):230. doi: 10.1186/s12974-024-03223-3.

Abstract

BACKGROUND

The IL-6 cytokine family, with its crucial and pleiotropic intracellular signaling pathway STAT3, is a promising target for treating vasoproliferative retinal diseases. Previous research has shown that IL-6 cis-signaling (via membrane-bound receptors) and trans-signaling (via soluble receptors) can have distinct effects on target cells, leading to their application in various disease treatments. While IL-6 has been extensively studied, less is known about the angiogenic effects of IL-11, another member of the IL-6 family, in the retina. Therefore, the aim of this study was to characterize the effects of IL-11 on retinal angiogenesis.

MAIN TEXT

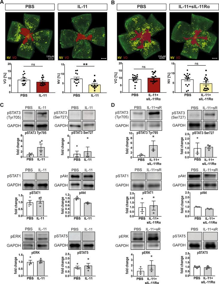
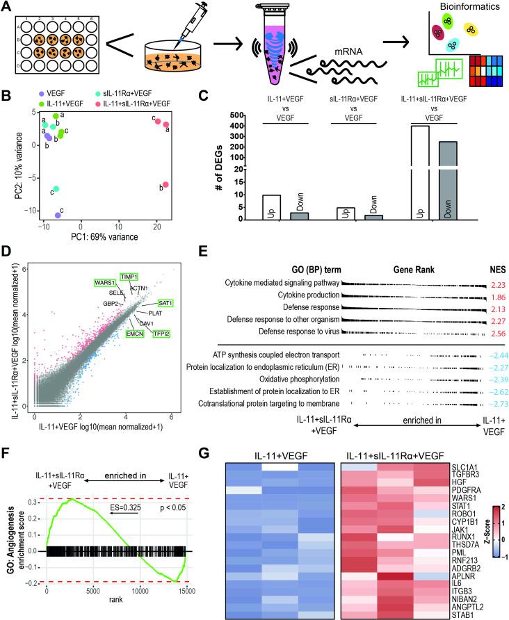
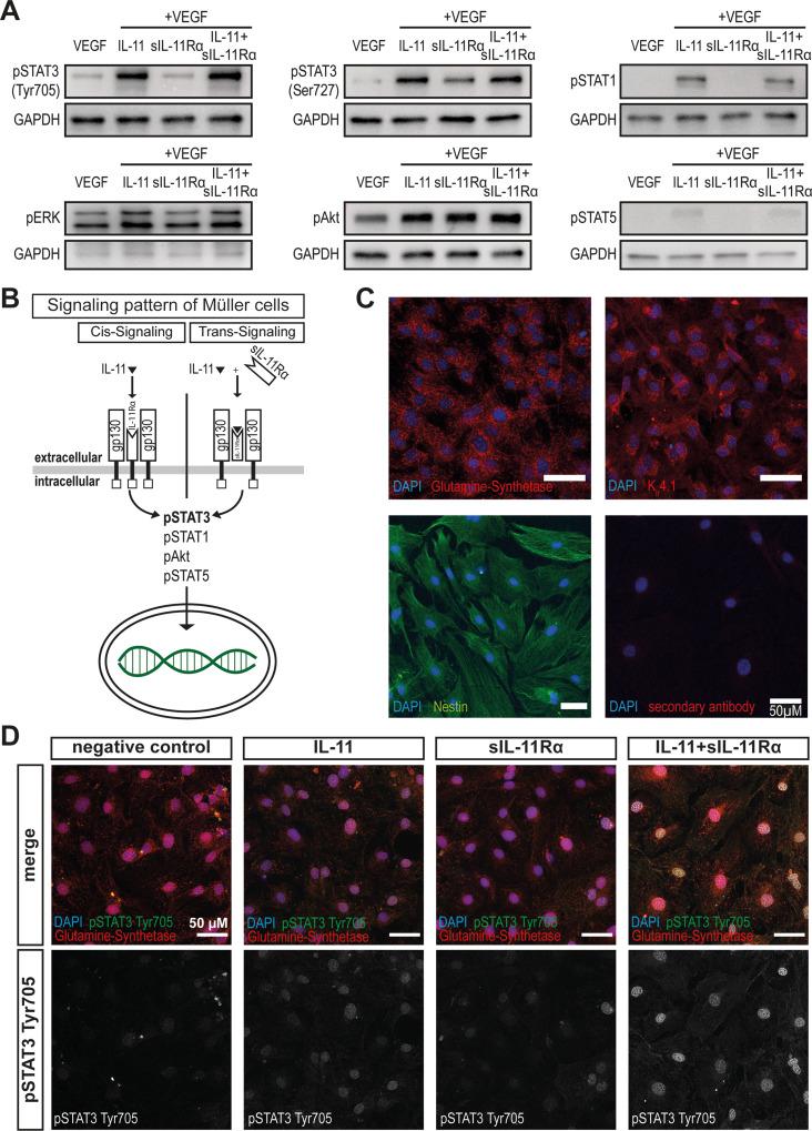
In vitreous samples from proliferative diabetic retinopathy (PDR) patients, elevated levels of IL-11Rα, but not IL-11, were detected. In vitro studies using vascular endothelial cells revealed distinct effects of cis- and trans-signaling: cis-signaling (IL-11 alone) had antiangiogenic effects, while trans-signaling (IL-11 + sIL-11Rα) had proangiogenic and pro-migratory effects. These differences can be attributed to their individual signaling responses and associated transcriptomic changes. Notably, no differences in cis- and trans-signaling were detected in primary mouse Müller cell cultures. STAT3 and STAT1 siRNA knockdown experiments revealed opposing effects on IL-11 signaling, with STAT3 functioning as an antiproliferative and proapoptotic player while STAT1 acts in opposition to STAT3. In vivo, both IL-11 and IL-11 + sIL-11Rα led to a reduction in retinal neovascularization. Immunohistochemical staining revealed Müller cell activation in response to treatment, suggesting that IL-11 affects multiple retinal cell types in vivo beyond vascular endothelial cells.

CONCLUSIONS

Cis- and trans-signaling by IL-11 have contrasting angiomodulatory effects on endothelial cells in vitro. In vivo, cis- and trans-signaling also influence Müller cells, ultimately determining the overall angiomodulatory impact on the retina, highlighting the intricate interplay between vascular and glial cells in the retina.

摘要

背景

IL-6 细胞因子家族及其关键的多效性细胞内信号通路 STAT3 是治疗血管增生性视网膜疾病的有前途的靶点。先前的研究表明,IL-6 的顺式信号(通过膜结合受体)和反式信号(通过可溶性受体)对靶细胞可能具有不同的影响,这导致它们在各种疾病的治疗中得到应用。虽然 IL-6 已经被广泛研究,但关于其家族的另一个成员 IL-11 在视网膜中的血管生成作用知之甚少。因此,本研究旨在描述 IL-11 对视网膜血管生成的影响。

玻璃体样本来自增生性糖尿病视网膜病变(PDR)患者,检测到 IL-11Rα 水平升高,但未检测到 IL-11。血管内皮细胞的体外研究显示顺式和反式信号的作用不同:顺式信号(单独的 IL-11)具有抗血管生成作用,而反式信号(IL-11+ sIL-11Rα)具有促血管生成和促迁移作用。这些差异可以归因于它们各自的信号反应和相关的转录组变化。值得注意的是,在原代小鼠 Müller 细胞培养物中未检测到顺式和反式信号的差异。STAT3 和 STAT1 siRNA 敲低实验揭示了 IL-11 信号的相反作用,STAT3 作为增殖和促凋亡的参与者,而 STAT1 与 STAT3 相反。在体内,IL-11 和 IL-11+ sIL-11Rα 均导致视网膜新生血管减少。免疫组织化学染色显示 Müller 细胞对治疗的激活,表明 IL-11 在体内除了血管内皮细胞之外,还影响多种视网膜细胞类型。

结论

IL-11 的顺式和反式信号在体外对内皮细胞具有相反的血管调节作用。在体内,顺式和反式信号也影响 Müller 细胞,最终确定对视网膜的整体血管调节影响,突出了视网膜中血管和神经胶质细胞之间的复杂相互作用。

https://cdn.ncbi.nlm.nih.gov/pmc/blobs/a997/11412048/738d03faec62/12974_2024_3223_Fig1_HTML.jpg

文献检索

告别复杂PubMed语法,用中文像聊天一样搜索,搜遍4000万医学文献。AI智能推荐,让科研检索更轻松。

立即免费搜索

文件翻译

保留排版,准确专业,支持PDF/Word/PPT等文件格式,支持 12+语言互译。

免费翻译文档

深度研究

AI帮你快速写综述,25分钟生成高质量综述,智能提取关键信息,辅助科研写作。

立即免费体验