Suppr超能文献

由多发性闭塞性脑血管病变引起的孤立性脉络丛梗死。

Isolated choroid plexus infarction caused by multiple occlusive cerebrovascular lesions.

作者信息

Kajita Michihide, Yanaka Kiyoyuki, Takeda Hayato, Saura Minami, Takahashi Toshihide, Aiyama Hitoshi, Saiki Shinji, Ishikawa Eiichi

机构信息

Department of Neurosurgery, Tsukuba Memorial Hospital, 1187-299 Kaname, Tsukuba, Ibaraki 300-2622, Japan.

Department of Neurology, Institute of Medicine, University of Tsukuba, 1-1-1 Tennodai, Tsukuba, Ibaraki 305-8575, Japan.

出版信息

Radiol Case Rep. 2024 Sep 7;19(12):5633-5638. doi: 10.1016/j.radcr.2024.08.075. eCollection 2024 Dec.

Abstract

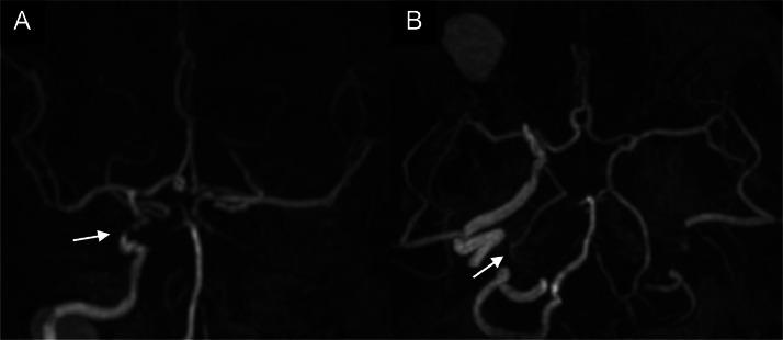
The choroid plexus is the secretory tissue responsible for cerebrospinal fluid production in the brain. Ischemia of the choroid plexus is rare because of its abundant blood supply from multiple arterial systems, including the anterior and posterior choroidal arterial anastomoses. It is not clear under what circumstances isolated choroid plexus infarction occurs. A 56-year-old woman presented to our hospital after experiencing several episodes of paroxysmal dizziness and weakness in her right upper extremity that lasted several hours. She had a 10-year history of hypertension, diabetes mellitus, and hyperlipidemia, which were very poorly controlled. Magnetic resonance imaging confirmed isolated right choroid plexus infarction. Magnetic resonance angiography showed severe stenosis of the cavernous portion of the right internal carotid artery, occlusion of the distal portion of the right posterior cerebral artery, and occlusion of the contralateral left internal carotid artery. Thus, we hypothesized that isolated choroid plexus infarction was caused by ischemia due to both atherosclerotic changes in large vessels spanning multiple vasculatures and microangiopathy around the choroid plexus due to diabetes, hypertension, and hyperlipidemia. In choroid plexus infarction, both occlusive changes in multiple large vessels and microangiopathy may be involved, and the underlying cause of these changes should be thoroughly investigated. Although choroid plexus infarction may not be significant neurologically, it may shed light on further pathogenesis in this complex structure.

摘要

脉络丛是负责在脑内产生脑脊液的分泌组织。由于其从包括脉络膜前动脉和脉络膜后动脉吻合支在内的多个动脉系统获得丰富血液供应,脉络丛缺血很少见。目前尚不清楚在何种情况下会发生孤立性脉络丛梗死。一名56岁女性因右上肢多次发作阵发性头晕和无力数小时后就诊于我院。她有10年高血压、糖尿病和高脂血症病史,病情控制很差。磁共振成像证实为孤立性右侧脉络丛梗死。磁共振血管造影显示右侧颈内动脉海绵窦段严重狭窄、右侧大脑后动脉远端闭塞以及对侧左侧颈内动脉闭塞。因此,我们推测孤立性脉络丛梗死是由于跨越多个脉管系统的大血管动脉粥样硬化改变以及糖尿病、高血压和高脂血症导致的脉络丛周围微血管病变引起的缺血所致。在脉络丛梗死中,多个大血管的闭塞性改变和微血管病变可能均有涉及,应对这些改变的潜在原因进行深入研究。虽然脉络丛梗死在神经学上可能并不显著,但它可能为这一复杂结构的进一步发病机制提供线索。

https://cdn.ncbi.nlm.nih.gov/pmc/blobs/8be6/11406351/1dd083521049/gr1.jpg

文献检索

告别复杂PubMed语法,用中文像聊天一样搜索,搜遍4000万医学文献。AI智能推荐,让科研检索更轻松。

立即免费搜索

文件翻译

保留排版,准确专业,支持PDF/Word/PPT等文件格式,支持 12+语言互译。

免费翻译文档

深度研究

AI帮你快速写综述,25分钟生成高质量综述,智能提取关键信息,辅助科研写作。

立即免费体验